• Tel: 858.663.9055
  • SeparatorEmail: info@nsjbio.com
  • Tel: 858.663.9055
  • Email: info@nsjbio.com
Home >> Antibodies >> PAX8 Antibody / Differentiated vs Dedifferentiated Tumor Marker Antibody

PAX8 Antibody / Differentiated vs Dedifferentiated Tumor Marker Antibody (F49929)

  Catalog No Formulation Size Price (USD)  
Image F49929-0.4ML In 1X PBS, pH 7.4, with 0.09% sodium azide 0.4 ml 439
Image
F49929-0.08ML In 1X PBS, pH 7.4, with 0.09% sodium azide 0.08 ml 205
Bulk quote request
PAX8 Antibody / Differentiated vs Dedifferentiated Tumor Marker Antibody western blot analysis in human HL-60 cell lysate. A band is detected at approximately 55-60 kDa, above the predicted molecular weight of Paired box protein Pax-8 (PAX8) at ~48 kDa. The upward shift in apparent molecular weight is consistent with post-translational modification or altered electrophoretic mobility of this nuclear transcription factor. This banding pattern supports detection of PAX8 and aligns with known variability in migration associated with transcriptional regulation and isoform expression.
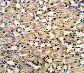
PAX8 Antibody / Differentiated vs Dedifferentiated Tumor Marker Antibody immunohistochemistry in mouse kidney tissue showing predominantly cytoplasmic HRP-DAB brown staining with scattered nuclear positivity in renal tubular epithelial cells. Paired box protein Pax-8 (PAX8) is primarily a nuclear transcription factor, and the presence of cytoplasmic staining may reflect altered localization, isoform-specific distribution, or tissue-specific processing in this sample. Tubular epithelial structures are clearly highlighted, while surrounding stromal elements remain comparatively weak or negative. The mixed cytoplasmic and nuclear pattern provides context for interpreting differentiation status, as changes in subcellular localization can be associated with altered transcriptional activity or cellular state.
Flow cytometric analysis of 293 cells using PAX8 antibody (bottom histogram) compared to a negative control (top histogram). FITC-conjugated goat-anti-rabbit secondary Ab was used for the analysis.
Availability 1-3 business days
Species Reactivity Human
Predicted Reactivity Mouse
Format Antigen affinity purified
Host Rabbit
Clonality Polyclonal (rabbit origin)
Isotype Rabbit Ig
Purity Antigen affinity
UniProt Q06710
Localization Nuclear, cytoplasmic
Applications Western Blot : 1:1000
IHC (Paraffin) : 1:10-1:50
Flow Cytometry : 1:10-1:50
Limitations This PAX8 antibody is available for research use only.
Review this product on BioCompare and get a $20 Amazon gift card

Related Products

Description

Paired box protein Pax-8 (PAX8) is a nuclear transcription factor encoded by the PAX8 gene that plays a central role in maintaining epithelial differentiation in thyroid, renal, and Mullerian-derived tissues. Its expression reflects active lineage-specific transcriptional programs that preserve cellular identity and functional specialization. PAX8 Antibody is uniquely positioned for assessing differentiation status in epithelial tumors, where changes in expression can reflect tumor progression and biological behavior.

PAX8 antibody, also known as Paired box protein Pax-8 antibody or Pax-8 transcription factor antibody, is particularly valuable for evaluating tumor differentiation because its nuclear expression is often retained in well-differentiated carcinomas and altered in more aggressive or dedifferentiated forms. This PAX8 Antibody is uniquely positioned for detecting differences in lineage preservation at the transcriptional level, providing insight into tumor phenotype beyond morphology alone.

Functionally, PAX8 regulates genes involved in epithelial differentiation, structural organization, and tissue-specific activity. Its continued expression supports maintenance of differentiated states, while loss or reduction of expression may indicate disruption of these transcriptional programs. This makes PAX8 a useful indicator of lineage stability within tumor cells.

In tumor progression, variation in PAX8 expression can reflect shifts in differentiation status. Well-differentiated tumors typically display strong and uniform nuclear staining, while poorly differentiated or high-grade tumors may show reduced, heterogeneous, or absent expression. These differences can provide insight into tumor aggressiveness and underlying biology.

At the cellular level, nuclear PAX8 staining highlights populations of tumor cells that retain lineage-specific transcriptional activity. Heterogeneous staining patterns within a tumor may indicate mixed differentiation states, offering additional context for understanding tumor composition and progression.

PAX8 Antibody therefore provides a valuable tool for studying epithelial differentiation and tumor progression, with emphasis on transcriptional lineage maintenance. Its ability to reflect differentiation status through nuclear expression patterns supports research into tumor biology, lineage stability, and mechanisms of dedifferentiation across multiple epithelial cancer types.

Application Notes

Titration of the PAX8 Antibody / Differentiated vs Dedifferentiated Tumor Marker Antibody may be required due to differences in protocols and secondary/substrate sensitivity.

Immunogen

A portion of amino acids 285-313 from the human protein was used as the immunogen for this PAX8 Antibody / Differentiated vs Dedifferentiated Tumor Marker Antibody.

Storage

Aliquot the PAX8 antibody and store frozen at -20oC or colder. Avoid repeated freeze-thaw cycles.

Alternate Names

PAX8 differentiation marker antibody, Paired box protein Pax-8 tumor differentiation antibody, PAX8 epithelial differentiation status antibody, Pax-8 tumor progression marker antibody, PAX8 differentiation loss marker antibody

Cross
Bulk Quote Request Form
Name*:
Organization*:
Email*:
Phone Number*:
Catalog No.*:
Comments and Specifics(amount, formulation, etc.)*:
Validation code: Captchapackage Image


Can't read the image? click here to refresh.
    *required field

Your bulk quote request has been submitted successfully!

Please contact us if you have any questions.