• Tel: 858.663.9055
  • SeparatorEmail: info@nsjbio.com
  • Tel: 858.663.9055
  • Email: info@nsjbio.com
Home >> Antibodies >> PAX6 Antibody Rabbit Polyclonal

PAX6 Antibody Rabbit Polyclonal (R32035)

  Catalog No Formulation Size Price (USD)  
Image R32035 0.5mg/ml if reconstituted with 0.2ml sterile DI water 100 ug 449
Bulk quote request
PAX6 Antibody Rabbit Polyclonal western blot analysis of brain and cell line lysates. Lane 1: rat brain lysate, Lane 2: mouse brain lysate, Lane 3: human U87 lysate, Lane 4: human HeLa lysate. A band is detected at approximately 48 kDa, consistent with the expected molecular weight of Paired Box Protein Pax-6 / PAX6. The rabbit polyclonal antibody recognizes Pax-6 across multiple species samples in SDS-PAGE immunoblot analysis.
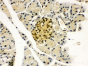
IHC testing of FFPE human pancreatic cancer tissue with PAX6 antibody. HIER: Boil the paraffin sections in pH 6, 10mM citrate buffer for 20 minutes and allow to cool prior to staining.
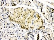
PAX6 Antibody Rabbit Polyclonal immunohistochemistry analysis of mouse pancreas tissue. Formalin-fixed paraffin-embedded mouse pancreas stained with PAX6 Antibody Rabbit Polyclonal. HRP-DAB brown chromogenic staining highlights nuclei of endocrine cells within pancreatic islets, consistent with the expected nuclear localization of Paired Box Protein Pax-6 / PAX6. HIER: boil the paraffin sections in pH 6, 10mM citrate buffer for 20 minutes and allow to cool prior to staining.
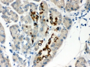
IHC testing of FFPE rat pancreas with PAX6 antibody. HIER: Boil the paraffin sections in pH 6, 10mM citrate buffer for 20 minutes and allow to cool prior to staining.
Availability 1-3 business days
Species Reactivity Human, Mouse, Rat
Format Antigen affinity purified
Host Rabbit
Clonality Polyclonal (rabbit origin)
Isotype Rabbit IgG
Purity Antigen affinity
Buffer Lyophilized from 1X PBS with 2.5% BSA and 0.025% sodium azide
UniProt P26367
Localization Nuclear, cytoplasmic
Applications Western Blot : 0.1-0.5ug/ml
IHC (FFPE) : 0.5-1ug/ml
Limitations This PAX6 antibody is available for research use only.
Review this product on BioCompare and get a $20 Amazon gift card

Related Products

  • Applications : IHC-P
    Reactivity : Human
    Recrabbitmono
  • Applications : WB
    Reactivity : Human
  • Applications : WB, ELISA
    Reactivity : Human
    Pred. Reactivity : Bovine, Mouse
  • Applications : WB, IF, ELISA
    Reactivity : Human
    Pred. Reactivity : Mouse, Bovine
  • Applications : IHC-P
    Reactivity : Human
  • Applications : IHC-P
    Reactivity : Human
  • Applications : WB
    Reactivity : Human
  • Applications : IHC-P
    Reactivity : Human
  • Applications : IHC-P
    Reactivity : Human
  • Applications : WB, IHC, IF, ELISA
    Reactivity : Human
  • Applications : IHC, IF, FACS, WB, ELISA
    Reactivity : Human
    Pred. Reactivity : Mouse, Rat, Bovine, Xenopus
  • Applications : WB, IHC, IF, ELISA
    Reactivity : Human
  • Applications : WB, ELISA
    Reactivity : Human
    Pred. Reactivity : Mouse, Bovine, Zebrafish
  • Applications : WB, ELISA
    Reactivity : Mouse
    Pred. Reactivity : Human, Rat, Bovine, Chicken, Zebrafish, Xenopus
  • Applications : WB, ELISA
    Reactivity : Mouse
    Pred. Reactivity : Human, Rat, Bovine, Chicken, Zebrafish, Xenopus
  • Applications : WB, ELISA (peptide)
    Reactivity : Human, Mouse
    Pred. Reactivity : Rat

Description

Paired box protein Pax-6 (PAX6) is a nuclear transcription factor encoded by the PAX6 gene and is widely recognized as a master regulator of eye formation and central nervous system development. The protein belongs to the paired box family of transcription factors and controls transcriptional programs that govern tissue patterning, neuronal differentiation, and ocular morphogenesis. PAX6 Antibody Rabbit Polyclonal recognizes Pax-6 and supports research examining developmental transcription factor expression in neural tissues, endocrine cells, and differentiating progenitor populations.

PAX6 plays a central role in embryonic development of the eye and brain. During organogenesis, Pax-6 regulates gene networks involved in formation of ocular structures including the retina, lens, cornea, and iris. In the developing central nervous system, PAX6 is expressed in neural progenitor cells and contributes to regional specification of the cerebral cortex and differentiation of neuronal cell types. Because of these fundamental roles, PAX6 expression is frequently studied in developmental biology, stem cell differentiation models, and neurogenesis research.

The PAX6 protein contains multiple functional domains that enable sequence-specific regulation of gene expression. An N-terminal paired DNA-binding domain recognizes regulatory DNA sequences within target genes, while a homeodomain provides additional DNA-binding capability. The C-terminal proline-serine-threonine rich transactivation domain interacts with transcriptional co-regulators and chromatin-modifying complexes to control transcriptional activation. Through these structural domains Pax-6 coordinates complex gene expression programs required for proper tissue development.

A rabbit polyclonal PAX6 antibody offers advantages in experimental detection because polyclonal antibodies recognize multiple epitopes on the target protein. This multi-epitope recognition can enhance signal detection and improve the likelihood of identifying PAX6 even when individual epitopes may be partially masked or modified. PAX6 Antibody Rabbit Polyclonal therefore provides robust detection of Pax-6 protein in diverse experimental systems and sample types, supporting studies examining transcription factor expression across developmental stages and tissue contexts.

PAX6 antibody reagents are widely referenced in the literature using several related names including PAX6 antibody, Pax-6 antibody, paired box protein Pax-6 antibody, and aniridia type II protein antibody. These terms all refer to the transcription factor encoded by the PAX6 gene. PAX6 Antibody Rabbit Polyclonal recognizes Pax-6 protein and supports research focused on developmental gene regulation, neural differentiation pathways, and transcriptional control mechanisms associated with organogenesis.

Application Notes

Optimal dilution of the PAX6 Antibody Rabbit Polyclonal should be determined by the researcher.

Immunogen

Amino acids EDSDEAQMRLQLKRKLQRNRTSFTQEQIEALEKEFERTH of human PAX6 were used as the immunogen for the PAX6 antibody.

Storage

After reconstitution, the PAX6 antibody can be stored for up to one month at 4oC. For long-term, aliquot and store at -20oC. Avoid repeated freezing and thawing.

Alternate Names

Pax-6 antibody, paired box protein Pax-6 antibody, aniridia type II protein antibody, Pax6 transcription factor antibody

Cross
Bulk Quote Request Form
Name*:
Organization*:
Email*:
Phone Number*:
Catalog No.*:
Comments and Specifics(amount, formulation, etc.)*:
Validation code: Captchapackage Image


Can't read the image? click here to refresh.
    *required field

Your bulk quote request has been submitted successfully!

Please contact us if you have any questions.