• Tel: 858.663.9055
  • SeparatorEmail: info@nsjbio.com
  • Tel: 858.663.9055
  • Email: info@nsjbio.com
Home >> Antibodies >> PAX6 Antibody / Knockdown-Validated Transcription Factor Antibody

PAX6 Antibody / Knockdown-Validated Transcription Factor Antibody [clone PAX6/8578R] (V4145)

  Catalog No Formulation Size Price (USD)  
Image V4145-100UG 0.2 mg/ml in 1X PBS with 0.1 mg/ml BSA (US sourced), 0.05% sodium azide 100 ug 559
Image
V4145-20UG 0.2 mg/ml in 1X PBS with 0.1 mg/ml BSA (US sourced), 0.05% sodium azide 20 ug 259
Image
V4145SAF-100UG 1 mg/ml in 1X PBS; BSA free, sodium azide free 100 ug 559
Microvalidated Recrabbitmono
Bulk quote request
PAX6 Antibody Knockdown Validation WB. Western blot analysis of PAX6 expression in wild-type (WT) and PAX6 shRNA knockdown HeLa cells using PAX6 antibody clone PAX6/8578R. Lane 1: WT lysate, Lane 2: shRNA knockdown lysate. The band at approximately 45-50 kDa is reduced in knockdown cells, supporting target-specific detection. Hsp90 alpha is shown as a loading control.
PAX6 Antibody HeLa Cell WB. Western blot analysis of PAX6 expression in human HeLa cell lysate using PAX6 antibody clone PAX6/8578R. A band is detected at approximately 45-50 kDa, consistent with the predicted molecular weight of PAX6.
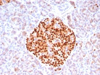
PAX6 Antibody Pancreatic Islet IHC. Immunohistochemistry analysis of Paired box protein Pax-6 (PAX6) in formalin-fixed, paraffin-embedded human pancreas tissue using PAX6 antibody clone PAX6/8578R. Strong nuclear HRP-DAB brown staining highlights endocrine cells within pancreatic islets, while surrounding exocrine tissue shows minimal signal, consistent with known PAX6 expression patterns. HIER: boil tissue sections in pH 9 10 mM Tris with 1 mM EDTA for 20 min followed by cooling before testing.
PAX6 Antibody SDS-PAGE (Reducing vs Non-Reducing). SDS-PAGE analysis of PAX6 antibody clone PAX6/8578R under reducing (R) and non-reducing (NR) conditions. Bands corresponding to antibody heavy and light chains are observed under reducing conditions, consistent with expected antibody structure.
Availability 1-3 business days
Species Reactivity Human
Format Purified
Host Rabbit
Clonality Recombinant Rabbit Monoclonal
Isotype Rabbit IgG, kappa
Clone Name PAX6/8578R
Purity Protein A/G affinity
UniProt P26367
Localization Nucleus
Applications Immunohistochemistry (FFPE) : 1-2ug/ml for 30 minutes at RT
Western Blot : 2-4ug/ml
Limitations This PAX6 Antibody / Knockdown-Validated Transcription Factor Antibody is available for research use only.
Review this product on BioCompare and get a $20 Amazon gift card

Related Products

  • Applications : IHC-P
    Reactivity : Human
    Recrabbitmono
  • Applications : WB
    Reactivity : Human
  • Applications : WB, ELISA
    Reactivity : Human
    Pred. Reactivity : Bovine, Mouse
  • Applications : WB, IF, ELISA
    Reactivity : Human
    Pred. Reactivity : Mouse, Bovine
  • Applications : IHC-P
    Reactivity : Human
  • Applications : IHC-P
    Reactivity : Human
  • Applications : WB
    Reactivity : Human
  • Applications : IHC-P
    Reactivity : Human
  • Applications : IHC-P
    Reactivity : Human
  • Applications : WB, IHC, IF, ELISA
    Reactivity : Human
  • Applications : IHC, IF, FACS, WB, ELISA
    Reactivity : Human
    Pred. Reactivity : Mouse, Rat, Bovine, Xenopus
  • Applications : WB, IHC, IF, ELISA
    Reactivity : Human
  • Applications : WB, ELISA
    Reactivity : Human
    Pred. Reactivity : Mouse, Bovine, Zebrafish
  • Applications : WB, ELISA
    Reactivity : Mouse
    Pred. Reactivity : Human, Rat, Bovine, Chicken, Zebrafish, Xenopus
  • Applications : WB, ELISA
    Reactivity : Mouse
    Pred. Reactivity : Human, Rat, Bovine, Chicken, Zebrafish, Xenopus
  • Applications : WB, ELISA (peptide)
    Reactivity : Human, Mouse
    Pred. Reactivity : Rat
  • Applications : WB, IHC-P
    Reactivity : Human, Mouse, Rat

Description

Paired box protein Pax-6 (PAX6) is a nuclear transcription factor belonging to the paired box (PAX) family, characterized by the presence of both a paired DNA-binding domain and a homeobox domain that enable precise regulation of gene expression. PAX6 (PAX6) is a master regulator of developmental programs, with well-established roles in ocular formation, central nervous system patterning, and pancreatic endocrine differentiation. In adult tissues, its expression becomes more restricted but remains biologically significant in specialized cell populations, particularly within endocrine and neuroectoderm-derived lineages. The PAX6 Antibody / Knockdown-Validated Transcription Factor Antibody is designed to detect this critical regulatory protein with high specificity, supported by both functional validation and consistent expression profiling. This antibody is part of a collection of knockdown validated antibodies that have been functionally assessed using gene silencing approaches to support target-specific detection.

PAX6 antibody, also referred to as Paired box protein Pax-6 antibody and PAX6 transcription factor antibody, recognizes a protein that localizes predominantly to the nucleus, consistent with its function as a transcriptional regulator. Immunohistochemistry analysis of formalin-fixed, paraffin-embedded human pancreas tissue demonstrates strong and selective nuclear HRP-DAB brown staining in endocrine cells within pancreatic islets. Surrounding exocrine tissue shows minimal to no staining, providing a clear contrast that reflects the lineage-restricted expression of PAX6. This highly specific nuclear pattern allows for confident identification of islet cell populations and supports use in studies of endocrine differentiation and tissue organization.

Western blot analysis identifies a distinct band at approximately 45-50 kDa in human cell lysates, consistent with the expected molecular weight of PAX6. Importantly, knockdown validation using PAX6-targeted shRNA in HeLa cells results in a clear and reproducible reduction of signal compared to wild-type controls. This gene silencing-based approach provides direct functional confirmation that the detected band corresponds to PAX6 protein, establishing a strong link between antibody signal and target expression. The inclusion of knockdown validation places this clone among a smaller subset of antibodies with experimentally demonstrated specificity at the protein level.

Functionally, PAX6 regulates transcriptional networks that control cell identity, proliferation, and differentiation. In the pancreas, PAX6 is essential for the development and maintenance of hormone-producing islet cells, including insulin-secreting beta cells and other endocrine subtypes. Its nuclear expression in these cells reflects active transcriptional control of endocrine-specific genes and is a defining feature observed in IHC. In neural tissues, PAX6 contributes to progenitor cell regulation and regional patterning, further underscoring its role as a lineage-determining factor.

The combination of highly specific nuclear IHC staining, strong western blot performance, and functional knockdown validation makes clone PAX6/8578R a well-characterized reagent for studying transcription factor biology. The clear reduction of signal in knockdown conditions, together with distinct nuclear localization in tissue sections, supports its use in applications requiring high confidence in target specificity, including studies of developmental pathways, endocrine biology, and gene regulation.

This antibody is part of a broader antibody panel offered by NSJ Bioreagents.

Application Notes

Optimal dilution of the PAX6 Antibody / Knockdown-Validated Transcription Factor Antibody should be determined by the researcher.

Immunogen

A recombinant partial protein (within amino acids 1-300) from the human protein was used as the immunogen for the PAX6 antibody.

Storage

Aliquot the PAX6 antibody and store frozen at -20oC or colder. Avoid repeated freeze-thaw cycles.

Alternate Names

PAX6 antibody, Pax-6 antibody, paired box protein Pax-6 antibody, aniridia type II protein antibody

Cross
Bulk Quote Request Form
Name*:
Organization*:
Email*:
Phone Number*:
Catalog No.*:
Comments and Specifics(amount, formulation, etc.)*:
Validation code: Captchapackage Image


Can't read the image? click here to refresh.
    *required field

Your bulk quote request has been submitted successfully!

Please contact us if you have any questions.