• Tel: 858.663.9055
  • SeparatorEmail: info@nsjbio.com
  • Tel: 858.663.9055
  • Email: info@nsjbio.com
Home >> Antibodies >> PAX6 Antibody

PAX6 Antibody [clone PAX6/7705] (V4140)

  Catalog No Formulation Size Price (USD)  
Image V4140-100UG 0.2 mg/ml in 1X PBS with 0.1 mg/ml BSA (US sourced), 0.05% sodium azide 100 ug 559
Image
V4140-20UG 0.2 mg/ml in 1X PBS with 0.1 mg/ml BSA (US sourced), 0.05% sodium azide 20 ug 259
Image
V4140SAF-100UG 1 mg/ml in 1X PBS; BSA free, sodium azide free 100 ug 559
Bulk quote request
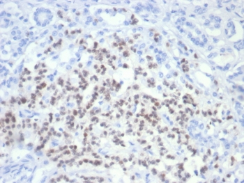
IHC staining of FFPE human pancreatic cancer with PAX6 antibody (clone PAX6/7705). HIER: boil tissue sections in pH 9 10mM Tris with 1mM EDTA for 20 min and allow to cool before testing.
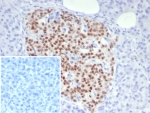
IHC staining of FFPE human pancreas tissue with PAX6 antibody (clone PAX6/7705). Inset: PBS used in place of primary Ab (secondary Ab negative control). HIER: boil tissue sections in pH 9 10mM Tris with 1mM EDTA for 20 min and allow to cool before testing.
SDS-PAGE analysis of purified, BSA-free PAX6 antibody (clone PAX6/7705) as confirmation of integrity and purity.
Availability 1-3 business days
Species Reactivity Human
Format Purified
Host Mouse
Clonality Monoclonal (mouse origin)
Isotype Mouse IgG
Clone Name PAX6/7705
Purity Protein A/G affinity
UniProt P26367
Localization Nucleus
Applications Immunohistochemistry (FFPE) : 1-2ug/ml for 30 minutes at RT
Limitations This PAX6 antibody is available for research use only.
Review this product on BioCompare and get a $20 Amazon gift card

Related Products

  • Applications : IHC-P
    Reactivity : Human
    Recrabbitmono
  • Applications : WB
    Reactivity : Human
  • Applications : WB, ELISA
    Reactivity : Human
    Pred. Reactivity : Bovine, Mouse
  • Applications : WB, IF, ELISA
    Reactivity : Human
    Pred. Reactivity : Mouse, Bovine
  • Applications : IHC-P
    Reactivity : Human
  • Applications : IHC-P
    Reactivity : Human
  • Applications : WB
    Reactivity : Human
  • Applications : IHC-P
    Reactivity : Human
  • Applications : IHC-P
    Reactivity : Human
  • Applications : WB, IHC, IF, ELISA
    Reactivity : Human
  • Applications : IHC, IF, FACS, WB, ELISA
    Reactivity : Human
    Pred. Reactivity : Mouse, Rat, Bovine, Xenopus
  • Applications : WB, IHC, IF, ELISA
    Reactivity : Human
  • Applications : WB, ELISA
    Reactivity : Human
    Pred. Reactivity : Mouse, Bovine, Zebrafish
  • Applications : WB, ELISA
    Reactivity : Mouse
    Pred. Reactivity : Human, Rat, Bovine, Chicken, Zebrafish, Xenopus
  • Applications : WB, ELISA
    Reactivity : Mouse
    Pred. Reactivity : Human, Rat, Bovine, Chicken, Zebrafish, Xenopus
  • Applications : WB, ELISA (peptide)
    Reactivity : Human, Mouse
    Pred. Reactivity : Rat
  • Applications : WB, IHC-P
    Reactivity : Human, Mouse, Rat

Description

Pax genes contain paired domains with strong homology to genes in Drosophila, which are involved in programming early development. Lesions in the Pax-6 gene account for most cases of aniridia, a congenital malformation of the eye, chiefly characterized by iris hypoplasia, which can cause blindness. Pax-6 is involved in other anterior segment malformations besides aniridia, such as Peters anomaly, a major error in the embryonic development of the eye with corneal clouding with variable iridolenticulocorneal adhesions. The Pax-6 gene encodes a transcriptional regulator that recognizes target genes through its paired-type DNA-binding domain. The paired domain is composed of two distinct DNA-binding subdomains, the amino-terminal subdomain and the carboxy-terminal subdomain, which bind respective consensus DNA sequences. The human Pax-6 gene produces two alternatively spliced isoforms that have the distinct structure of the paired domain.

Application Notes

Optimal dilution of the PAX6 antibody should be determined by the researcher.

Immunogen

A recombinant partial protein (within amino acids 1-300) from the human protein was used as the immunogen for the PAX6 antibody.

Storage

Aliquot the PAX6 antibody and store frozen at -20oC or colder. Avoid repeated freeze-thaw cycles.

Cross
Bulk Quote Request Form
Name*:
Organization*:
Email*:
Phone Number*:
Catalog No.*:
Comments and Specifics(amount, formulation, etc.)*:
Validation code: Captchapackage Image


Can't read the image? click here to refresh.
    *required field

Your bulk quote request has been submitted successfully!

Please contact us if you have any questions.