• Tel: 858.663.9055
  • SeparatorEmail: info@nsjbio.com
  • Tel: 858.663.9055
  • Email: info@nsjbio.com
Home >> Antibodies >> PAX5 Antibody

PAX5 Antibody [clone PAX5/3735] (V7997BTN)

  Catalog No Formulation Size Price (USD)  
Image V7997BTN 0.1 mg/ml with 0.1 mg/ml BSA (US sourced), 0.05% sodium azide 500 ul 559
Bulk quote request
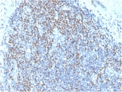
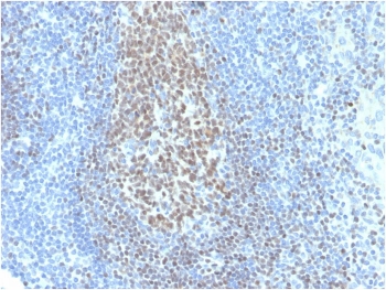
IHC testing of human tonsil with biotinylated PAX5 antibody. HIER: boil tissue sections in pH 9 10mM Tris with 1mM EDTA for 10-20 min followed by cooling at RT for 20 min.
IHC testing of human tonsil with biotinylated PAX5 antibody. HIER: boil tissue sections in pH 9 10mM Tris with 1mM EDTA for 10-20 min followed by cooling at RT for 20 min.
Analysis of HuProt(TM) microarray containing more than 19,000 full-length human proteins using PAX5 antibody. These results demonstrate the foremost specificity of the PAX5/3735 mAb. Z- and S- score: The Z-score represents the strength of a signal that an antibody (in combination with a fluorescently-tagged anti-IgG secondary Ab) produces when binding to a particular protein on the HuProt(TM) array. Z-scores are described in units of standard deviations (SD's) above the mean value of all signals generated on that array. If the targets on the HuProt(TM) are arranged in descending order of the Z-score, the S-score is the difference (also in units of SD's) between the Z-scores. The S-score therefore represents the relative target specificity of an Ab to its intended target.
SDS-PAGE analysis of purified, BSA-free PAX5 antibody as confirmation of integrity and purity.
Availability 1-3 business days
Species Reactivity Human
Format Biotin Conjugate
Host Mouse
Clonality Monoclonal (mouse origin)
Isotype Mouse IgG1, lambda
Clone Name PAX5/3735
Purity Protein G affinity chromatography
UniProt Q02548
Localization Nuclear
Applications Western Blot : 2-4ug/ml
Immunohistochemistry (FFPE) : 2-4ug/ml for 30 minutes at RT
Limitations This PAX5 antibody is available for research use only.
Review this product on BioCompare and get a $20 Amazon gift card

Related Products

  • Applications : ELISA, WB
    Reactivity : Human
    Recmousemono
  • Applications : IHC-P
    Reactivity : Human
    Recmousemono
  • Applications : IHC-P
    Reactivity : Human
    Recrabbitmono
  • Applications : WB, IHC-P
    Reactivity : Human
    Recrabbitmono
  • Applications : IHC-P, WB
    Reactivity : Human; other species not tested.
    Microvalidated
  • Applications : IHC-P, WB
    Reactivity : Human
    Microvalidated
  • Applications : WB, IHC-P
    Reactivity : Human
    Microvalidated
  • Applications : ELISA, WB
    Reactivity : Human
  • Applications : WB, IF, IHC-P
    Reactivity : Human, Mouse, Rat
  • Applications : ELISA
    Reactivity : Human
  • Applications : WB, FACS, IHC, ELISA
    Reactivity : Human
    Pred. Reactivity : Mouse
  • Applications : WB, ELISA (peptide)
    Reactivity : Human, Mouse, Rat
  • Applications : WB, IHC-P, IF/ICC, ELISA
    Reactivity : Human, Mouse, Rat
  • Applications : WB, IHC-P, FACS, Direct ELISA
    Reactivity : Human, Mouse, Rat

Description

The PAX5 gene is a member of the paired box (PAX) family of transcription factors. The central feature of this gene family is a novel, highly conserved DNA-binding domain, known as the paired box. The PAX proteins are important regulators in early development, and alterations in the expression of their genes are thought to contribute to neoplastic transformation. The PAX5 gene encodes the B-cell lineage specific activator protein (BSAP) that is expressed at early, but not late stages of B-cell differentiation. Its expression has also been detected in developing CNS and testis; therefore, PAX5 gene product may not only play an important role in B-cell differentiation, but also in neural development and spermatogenesis.

Application Notes

Optimal dilution of the PAX5 antibody should be determined by the researcher.

Immunogen

A portion of amino acids 235-382 from the human protein was used as the immunogen for the PAX5 antibody.

Storage

Store the PAX5 antibody at 2-8oC (up to one month) or aliquot and store at -20oC (longer term).

Cross
Bulk Quote Request Form
Name*:
Organization*:
Email*:
Phone Number*:
Catalog No.*:
Comments and Specifics(amount, formulation, etc.)*:
Validation code: Captchapackage Image


Can't read the image? click here to refresh.
    *required field

Your bulk quote request has been submitted successfully!

Please contact us if you have any questions.