• Tel: 858.663.9055
  • SeparatorEmail: info@nsjbio.com
  • Tel: 858.663.9055
  • Email: info@nsjbio.com
Home >> Antibodies >> PAX2 Antibody / Paired box protein Pax-2

PAX2 Antibody / Paired box protein Pax-2 [clone rPAX2/8506] (V5963)

  Catalog No Formulation Size Price (USD)  
Image V5963-100UG 0.2 mg/ml in 1X PBS with 0.05% BSA, 0.05% sodium azide 100 ug 559
Image
V5963-20UG 0.2 mg/ml in 1X PBS with 0.05% BSA, 0.05% sodium azide 20 ug 259
Image
V5963SAF-100UG 1 mg/ml in 1X PBS; BSA free, sodium azide free 100 ug 559
Microvalidated Recmousemono
Bulk quote request
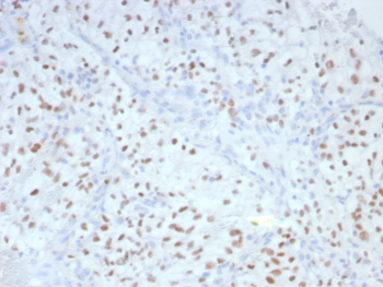
Formalin-fixed, paraffin-embedded human renal cell carcinoma stained with PAX2 Recombinant Mouse Monoclonal Antibody (rPAX2/8506). HIER: Tris/EDTA, pH9.0, 45min. 2¬?: HRP-polymer, 30min. DAB, 5min.
Formalin-fixed, paraffin-embedded human endometrium stained with PAX2 Recombinant Mouse Monoclonal Antibody (rPAX2/8506). Inset: PBS instead of primary antibody; secondary only negative control.
SDS-PAGE Analysis of Purified PAX2 Recombinant Mouse Monoclonal Antibody (rPAX2/8506). Confirmation of Purity and Integrity of Antibody.
Format Purified
Host Mouse
Clonality Recombinant Mouse Monoclonal
Isotype Mouse IgG1, kappa
Clone Name rPAX2/8506
UniProt Q02962
Localization Nucleus
Applications Immunohistochemistry (FFPE) : 1-2ug/ml
Limitations This PAX2/Paired box protein Pax-2 antibody is available for research use only.
Review this product on BioCompare and get a $20 Amazon gift card

Related Products

Application Notes

Optimal dilution of the PAX2/Paired box protein Pax-2 antibody should be determined by the researcher.

Immunogen

A recombinant fragment (around amino acids 223-354) of human PAX2 protein (exact sequence is proprietary) was used as the immuongen for the PAX2/Paired box protein Pax-2 antibody.

Storage

PAX2/Paired box protein Pax-2 antibody with sodium azide - store at 2 to 8oC; antibody without sodium azide - store at -20 to -80oC.

Cross
Bulk Quote Request Form
Name*:
Organization*:
Email*:
Phone Number*:
Catalog No.*:
Comments and Specifics(amount, formulation, etc.)*:
Validation code: Captchapackage Image


Can't read the image? click here to refresh.
    *required field

Your bulk quote request has been submitted successfully!

Please contact us if you have any questions.