• Tel: 858.663.9055
  • SeparatorEmail: info@nsjbio.com
  • Tel: 858.663.9055
  • Email: info@nsjbio.com
Home >> Antibodies >> PATZ1 Antibody / POZ-, AT hook-, and zinc finger-containing protein 1

PATZ1 Antibody / POZ-, AT hook-, and zinc finger-containing protein 1 (RQ8618)

  Catalog No Formulation Size Price (USD)  
Image RQ8618 0.5mg/ml if reconstituted with 0.2ml sterile DI water 100 ug 449
Bulk quote request
Immunofluorescent staining of FFPE human HeLa cells with PATZ1 antibody (red) and Beta Tubulin mAb (green). HIER: steam section in pH6 citrate buffer for 20 min.
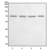
Western blot testing of human 1) Raji, 2) A549, 3) HeLa, and 4) 293T cell lysate with PATZ1 antibody. Predicted molecular weight ~74 kDa.
Flow cytometry testing of fixed and permeabilized human HeLa cells with PATZ1 antibody at 1ug/million cells (blocked with goat sera); Red=cells alone, Green=isotype control, Blue= PATZ1 antibody.
Availability 1-3 days
Species Reactivity Human
Format Antigen affinity purified
Host Rabbit
Clonality Polyclonal (rabbit origin)
Isotype Rabbit IgG
Purity Antigen affinity purified
Buffer Lyophilized from 1X PBS with 2% Trehalose
UniProt Q9HBE1
Localization Nuclear
Applications Western Blot : 0.5-1ug/ml
Immunofluorescence : 5ug/ml
Flow Cytometry : 1-3ug/million cells
ELISA : 0.1-0.5ug/ml
Limitations This PATZ1 antibody is available for research use only.
Review this product on BioCompare and get a $20 Amazon gift card

Description

POZ-, AT hook-, and zinc finger-containing protein 1 is a protein that in humans is encoded by the PATZ1 gene. The protein encoded by this gene contains an A-T hook DNA binding motif which usually binds to other DNA binding structures to play an important role in chromatin modeling and transcription regulation. Its Poz domain is thought to function as a site for protein-protein interaction and is required for transcriptional repression, and the zinc-fingers comprise the DNA binding domain. Since the encoded protein has typical features of a transcription factor, it is postulated to be a repressor of gene expression. In small round cell sarcoma, this gene is fused to EWS by a small inversion of 22q, then the hybrid is thought to be translocated (t(1;22)(p36.1;q12). The rearrangement of chromosome 22 involves intron 8 of EWS and exon 1 of this gene creating a chimeric sequence containing the transactivation domain of EWS fused to zinc finger domain of this protein. This is a distinct example of an intra-chromosomal rearrangement of chromosome 22. Four alternatively spliced transcript variants are described for this gene.

Application Notes

Optimal dilution of the PATZ1 antibody should be determined by the researcher.

Immunogen

An E.coli-derived human recombinant protein (amino acids M145-Q680) was used as the immunogen for the PATZ1 antibody.

Storage

After reconstitution, the PATZ1 antibody can be stored for up to one month at 4oC. For long-term, aliquot and store at -20oC. Avoid repeated freezing and thawing.

Cross
Bulk Quote Request Form
Name*:
Organization*:
Email*:
Phone Number*:
Catalog No.*:
Comments and Specifics(amount, formulation, etc.)*:
Validation code: Captchapackage Image


Can't read the image? click here to refresh.
    *required field

Your bulk quote request has been submitted successfully!

Please contact us if you have any questions.