• Tel: 858.663.9055
  • SeparatorEmail: info@nsjbio.com
  • Tel: 858.663.9055
  • Email: info@nsjbio.com
Home >> Antibodies >> PATJ Antibody

PATJ Antibody (R34996)

  Catalog No Formulation Size Price (USD)  
Image R34996-100UG 0.5 mg/ml in 1X TBS, pH7.3, with 0.5% BSA (US sourced) and 0.02% sodium azide 100 ug 475
Bulk quote request
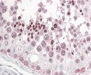
IHC testing of FFPE human testis with PATJ antibody at 4ug/ml. HIER: steamed with pH6 citrate buffer, AP-staining. Spermatid staining is seen.
Availability 1-3 business days
Species Reactivity Human
Predicted Reactivity Cow, Dog, Pig
Format Antigen affinity purified
Host Goat
Clonality Polyclonal (goat origin)
Isotype Goat Ig
Purity Antigen affinity
Gene ID 10207
Applications Immunohistochemistry (FFPE) : 3-6ug/ml
ELISA (peptide) LOD : 1:32000
Limitations This PATJ antibody is available for research use only.
Review this product on BioCompare and get a $20 Amazon gift card

Description

Additional name(s) for this target protein: PALS1-associated tight junction protein; INADL

Application Notes

Optimal dilution of the PATJ antibody should be determined by the researcher.

Immunogen

Amino acids PENPATDKLQVLQ were used as the immunogen for this PATJ antibody.

Storage

Aliquot and store the PATJ antibody at -20oC.

Cross
Bulk Quote Request Form
Name*:
Organization*:
Email*:
Phone Number*:
Catalog No.*:
Comments and Specifics(amount, formulation, etc.)*:
Validation code: Captchapackage Image


Can't read the image? click here to refresh.
    *required field

Your bulk quote request has been submitted successfully!

Please contact us if you have any questions.