• Tel: 858.663.9055
  • SeparatorEmail: info@nsjbio.com
  • Tel: 858.663.9055
  • Email: info@nsjbio.com
Home >> Antibodies >> PARP15 Antibody / Poly ADP-ribose polymerase 15

PARP15 Antibody / Poly ADP-ribose polymerase 15 (FY12447)

  Catalog No Formulation Size Price (USD)  
Image FY12447 Adding 0.2 ml of distilled water will yield a concentration of 500 ug/ml 100 ug 449
Bulk quote request
Immunofluorescent staining of PARP15 using anti-PARP15 antibody (green) and anti-Beta Tubulin antibody (red). PARP15 was detected in an immunocytochemical section of cells. Enzyme antigen retrieval was performed using IHC enzyme antigen retrieval reagent for 15 mins. The cells were blocked with 10% goat serum. And then incubated with 5 ug/ml rabbit anti-PARP15 antibody and mouse anti-Beta Tubulin antibody overnight at 4oC. DyLight 488 Conjugated Goat Anti-Rabbit IgG and Cy3 Conjugated Goat Anti-Mouse IgG were used as secondary antibody at 1:500 dilution and incubated for 30 minutes at 37oC. Visualize using a fluorescence microscope and filter sets appropriate for the label used.
Western blot analysis of PARP15 using anti-PARP15 antibody. Electrophoresis was performed on a 10% SDS-PAGE gel at 80V (Stacking gel) / 120V (Resolving gel) for 2 hours. Lane 1: human Raji whole cell lysates, Lane 2: human whole cell lysates, Lane 3: human HepG2 whole cell lysates, Lane 4: human Jurkat whole cell lysates, Lane 5: rat stomach tissue lysates, Lane 6: mouse stomach tissue lysates. After electrophoresis, proteins were transferred to a nitrocellulose membrane at 150 mA for 50-90 minutes. Blocked the membrane with 5% non-fat milk/TBS for 1.5 hour at RT. The membrane was incubated with rabbit anti-PARP15 antibody at 0.5 ug/ml overnight at 4oC, then washed with TBS-0.1%Tween 3 times with 5 minutes each and probed with a goat anti-rabbit IgG-HRP secondary antibody at a dilution of 1:5000 for 1.5 hour at RT. The signal was developed using an ECL Plus Western Blotting Substrate. PARP15 (~71 kDa predicted) was detected at ~55-60 kDa, consistent with previously described electrophoretic mobility shifts and alternative splicing. A secondary band at ~40 kDa corresponds to a truncated or proteolytically cleaved form encompassing the RNA-binding region.
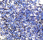
Immunohistochemical staining of PARP15 using anti-PARP15 antibody. PARP15 was detected in a paraffin-embedded section of human spleen tissue. Heat mediated antigen retrieval was performed in EDTA buffer (pH 8.0, epitope retrieval solution). The tissue section was blocked with 10% goat serum. The tissue section was then incubated with 2 ug/ml rabbit anti-PARP15 antibody overnight at 4oC. Peroxidase Conjugated Goat Anti-rabbit IgG was used as secondary antibody and incubated for 30 minutes at 37oC. The tissue section was developed using an HRP secondary and DAB substrate.
Immunohistochemical staining of PARP15 using anti-PARP15 antibody. PARP15 was detected in a paraffin-embedded section of human spleen tissue. Heat mediated antigen retrieval was performed in EDTA buffer (pH 8.0, epitope retrieval solution). The tissue section was blocked with 10% goat serum. The tissue section was then incubated with 2 ug/ml rabbit anti-PARP15 antibody overnight at 4oC. Peroxidase Conjugated Goat Anti-rabbit IgG was used as secondary antibody and incubated for 30 minutes at 37oC. The tissue section was developed using an HRP secondary and DAB substrate.
Flow Cytometry analysis of Jurkat cells using anti-PARP15 antibody. Overlay histogram showing Jurkat cells stained with (Blue line). To facilitate intracellular staining, cells were fixed with 4% paraformaldehyde and permeabilized with permeabilization buffer. The cells were blocked with 10% normal goat serum. And then incubated with rabbit anti-PARP15 antibody (1 ug/million cells) for 30 min at 20oC. DyLight 488 conjugated goat anti-rabbit IgG (5-10 ug/million cells) was used as secondary antibody for 30 minutes at 20oC. Isotype control antibody (Green line) was rabbit IgG (1 ug/million cells) used under the same conditions. Unlabelled sample without incubation with primary antibody and secondary antibody (Red line) was used as a blank control.
Availability 1-2 days
Species Reactivity Human, Mouse, Rat
Format Lyophilized
Host Rabbit
Clonality Polyclonal (rabbit origin)
Isotype Rabbit IgG
Purity Immunogen affinity purified
Buffer Each vial contains 4 mg Trehalose, 0.9 mg NaCl, 0.2 mg Na2HPO4.
UniProt Q460N3
Localization Nuclear
Applications Western Blot : 0.25-0.5ug/ml
Immunohistochemistry : 2-5ug/ml
Immunocytochemistry/Immunofluorescence : 5ug/ml
Flow Cytometry : 1-3ug/million cells
ELISA : 0.1-0.5ug/ml
Limitations This PARP15 antibody is available for research use only.
Review this product on BioCompare and get a $20 Amazon gift card

Description

PARP15 antibody recognizes Poly (ADP-ribose) polymerase 15, an enzyme belonging to the PARP family involved in ADP-ribosylation, a post-translational modification regulating transcription, DNA repair, and stress responses. Unlike the classical DNA repair PARPs, PARP15 functions primarily in transcriptional repression and RNA processing. It possesses both mono-ADP-ribosyltransferase and macro domains, allowing it to modify specific target proteins. The PARP15 antibody is an essential reagent for studies of ADP-ribosylation signaling, chromatin dynamics, and cellular stress adaptation.

PARP15 is encoded by the PARP15 gene located on human chromosome 3q21.1. The protein comprises two N-terminal macro domains, a WWE domain involved in protein�protein interactions, and a C-terminal catalytic PARP domain. PARP15 localizes mainly to the nucleus and cytoplasmic granules, where it may regulate mRNA metabolism and response to stress. It has been implicated in cell survival pathways, as well as in the regulation of transcription factors under conditions of nutrient deprivation or oxidative stress.

Research using the PARP15 antibody has demonstrated its involvement in cancer cell proliferation and inflammation. Aberrant expression of PARP15 has been observed in lymphomas and certain solid tumors, where it may contribute to altered transcriptional control and resistance to apoptosis. Western blot analysis typically detects a band at approximately 74�78 kDa. Immunocytochemical staining shows both nuclear and cytoplasmic localization, depending on cell type and stress conditions. Functional studies suggest that PARP15 can auto-modify and regulate its own enzymatic activity, similar to other PARP family members.

In recent years, PARP15 has attracted attention as part of the broader ADP-ribosylation signaling network, which includes enzymes, hydrolases, and binding proteins that control protein modification during stress responses. The antibody supports exploration of this enzyme's role in RNA granule formation, viral defense, and oncogenic signaling pathways. NSJ Bioreagents provides a validated PARP15 antibody for applications such as western blot, immunohistochemistry, and immunofluorescence, ensuring reliable results across molecular biology and cancer research contexts.

Application Notes

Optimal dilution of the PARP15 antibody should be determined by the researcher.

Immunogen

E.coli-derived human PARP15 recombinant protein (Position: N47-R555) was used as the immunogen for the PARP15 antibody.

Storage

After reconstitution, the PARP15 antibody can be stored for up to one month at 4oC. For long-term, aliquot and store at -20oC. Avoid repeated freezing and thawing.

Cross
Bulk Quote Request Form
Name*:
Organization*:
Email*:
Phone Number*:
Catalog No.*:
Comments and Specifics(amount, formulation, etc.)*:
Validation code: Captchapackage Image


Can't read the image? click here to refresh.
    *required field

Your bulk quote request has been submitted successfully!

Please contact us if you have any questions.