• Tel: 858.663.9055
  • SeparatorEmail: info@nsjbio.com
  • Tel: 858.663.9055
  • Email: info@nsjbio.com
Home >> Antibodies >> Parathyroid Hormone Antibody N Terminus

Parathyroid Hormone Antibody N Terminus [clone SPM604] (V2808)

  Catalog No Formulation Size Price (USD)  
Image V2808-100UG 0.2 mg/ml in 1X PBS with 0.1 mg/ml BSA (US sourced) and 0.05% sodium azide 100 ug 559
Image
V2808-20UG 0.2 mg/ml in 1X PBS with 0.1 mg/ml BSA (US sourced) and 0.05% sodium azide 20 ug 259
Image
V2808SAF-100UG 1 mg/ml in 1X PBS; BSA free, sodium azide free 100 ug 559
Image
V2808IHC-7ML Prediluted in 1X PBS with 0.1 mg/ml BSA (US sourced) and 0.05% sodium azide; *For IHC use only* 7 ml 559
Bulk quote request
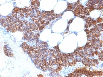
Parathyroid Hormone Antibody N Terminus immunohistochemistry of human parathyroid gland. FFPE human parathyroid tissue stained with Parathyroid Hormone Antibody N Terminus clone SPM604, a mouse monoclonal antibody recognizing the N-terminal region of Parathyroid hormone (PTH). Strong cytoplasmic brown chromogenic staining is observed in parathyroid endocrine chief cells, consistent with the known intracellular localization of Parathyroid hormone in hormone-producing cells of the parathyroid gland.
Availability 1-3 business days
Species Reactivity Human
Format Purified
Host Mouse
Clonality Monoclonal (mouse origin)
Isotype Mouse IgG2b, kappa
Clone Name SPM604
Purity Protein G affinity chromatography
UniProt P01270
Localization Cytoplasmic and secreted
Applications Immunohistochemistry (FFPE) : 1-2ug/ml for 30 min at RT
Limitations This Parathyroid Hormone antibody is available for research use only.
Review this product on BioCompare and get a $20 Amazon gift card

Related Products

Description

Parathyroid hormone (PTH), encoded by the PTH gene, is a peptide hormone produced by endocrine chief cells of the parathyroid glands and functions as a central regulator of calcium and phosphate homeostasis. By acting on bone, kidney, and vitamin D metabolism, PTH maintains circulating calcium levels necessary for skeletal health and cellular signaling. Parathyroid Hormone Antibody N Terminus enables detection of Parathyroid hormone while specifically recognizing the amino-terminal portion of the hormone in endocrine tissues and related research samples.

The amino-terminal region of Parathyroid hormone contains the biologically active portion of the peptide responsible for receptor activation and downstream signaling. Antibodies directed against this region are frequently described in the literature as PTH N-terminal antibody, PTH N-terminus antibody, or Parathyroid hormone N-terminal antibody, reflecting recognition of the hormone’s amino-terminal domain. Because the N-terminal portion of PTH contains the sequence responsible for receptor binding and biological activity, antibodies targeting this region are useful tools for studying hormone synthesis, processing, and endocrine signaling mechanisms.

PTH is synthesized in parathyroid chief cells as preproparathyroid hormone and undergoes intracellular processing to generate the mature peptide hormone before secretion. Within tissue sections, Parathyroid hormone is typically localized in the cytoplasm of endocrine chief cells where hormone synthesis and storage occur. Detection of this cytoplasmic staining pattern allows identification of hormone-producing parathyroid cells and supports studies investigating endocrine cell populations and hormone production within parathyroid gland tissue.

PTH antibodies are widely used in endocrine biology and pathology research involving parathyroid tissue and related tumors. Detection of Parathyroid hormone expression assists in confirming parathyroid origin in endocrine lesions and contributes to characterization of parathyroid adenoma, parathyroid hyperplasia, and parathyroid carcinoma. Because parathyroid tissue can sometimes resemble adjacent thyroid structures morphologically, immunodetection using a PTH antibody provides a useful molecular marker for identifying parathyroid-derived endocrine cells.

This mouse monoclonal antibody clone SPM604 recognizes the N-terminal region of Parathyroid hormone. A PTH antibody directed against the N-terminus supports research investigating hormone biosynthesis, endocrine signaling pathways, and tissue expression patterns of Parathyroid hormone in endocrine tissues.

Application Notes

Optimal dilution of the Parathyroid Hormone Antibody N Terminus should be determined by the researcher.

1. Staining of formalin-fixed tissues requires boiling tissue sections in pH 9 10mM Tris with 1mM EDTA for 10-20 min followed by cooling at RT for 20 min.
2. The prediluted format is supplied in a dropper bottle and is optimized for use in IHC. After epitope retrieval step (if required), drip mAb solution onto the tissue section and incubate at RT for 30 min.

Immunogen

A synthetic peptide corresponding to amino acids 1-34 of human PTH was used as the immunogen for the Parathyroid Hormone antibody.

Storage

Store the Parathyroid Hormone antibody at 2-8oC (with azide) or aliquot and store at -20oC or colder (without azide).

Alternate Names

PTH antibody, Parathyroid hormone antibody, PTH N-terminal antibody, Parathyroid hormone N-terminal antibody

Cross
Bulk Quote Request Form
Name*:
Organization*:
Email*:
Phone Number*:
Catalog No.*:
Comments and Specifics(amount, formulation, etc.)*:
Validation code: Captchapackage Image


Can't read the image? click here to refresh.
    *required field

Your bulk quote request has been submitted successfully!

Please contact us if you have any questions.