• Tel: 858.663.9055
  • SeparatorEmail: info@nsjbio.com
  • Tel: 858.663.9055
  • Email: info@nsjbio.com
Home >> Antibodies >> Parathyroid Hormone Antibody Clone 3H9 / PTH Antibody N-Terminal

Parathyroid Hormone Antibody Clone 3H9 / PTH Antibody N-Terminal [clone 3H9] (V2806)

  Catalog No Formulation Size Price (USD)  
Image V2806-100UG 0.2 mg/ml in 1X PBS with 0.1 mg/ml BSA (US sourced) and 0.05% sodium azide 100 ug 559
Image
V2806-20UG 0.2 mg/ml in 1X PBS with 0.1 mg/ml BSA (US sourced) and 0.05% sodium azide 20 ug 259
Image
V2806SAF-100UG 1 mg/ml in 1X PBS; BSA free, sodium azide free 100 ug 559
Image
V2806IHC-7ML Prediluted in 1X PBS with 0.1 mg/ml BSA (US sourced) and 0.05% sodium azide; *For IHC use only* 7 ml 559
Bulk quote request
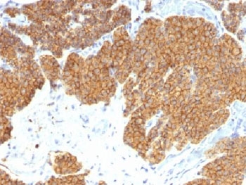
Parathyroid Hormone Antibody Clone 3H9 immunohistochemistry of human parathyroid gland. FFPE human parathyroid tissue stained with Parathyroid Hormone Antibody Clone 3H9, a mouse monoclonal antibody recognizing Parathyroid hormone (PTH). Strong cytoplasmic brown chromogenic staining is observed in parathyroid endocrine chief cells, consistent with the known intracellular localization of Parathyroid hormone in hormone-producing cells of the parathyroid gland.
SDS-PAGE Analysis of Purified, BSA-Free Parathyroid Hormone Antibody Clone 3H9. Confirmation of Integrity and Purity of the Antibody.
Availability 1-3 business days
Species Reactivity Human
Format Purified
Host Mouse
Clonality Monoclonal (mouse origin)
Isotype Mouse IgG2b, kappa
Clone Name 3H9
Purity Protein G affinity chromatography
UniProt P01270
Localization Cytoplasmic and secreted
Applications Immunohistochemistry (FFPE) : 0.5-1ug/ml for 30 min at RT
Limitations This Parathyroid Hormone antibody is available for research use only.
Review this product on BioCompare and get a $20 Amazon gift card

Related Products

Description

Parathyroid hormone (PTH), encoded by the PTH gene, is a peptide hormone produced by endocrine chief cells of the parathyroid glands and serves as a central regulator of calcium and phosphate homeostasis. Through coordinated actions on bone, kidney, and vitamin D metabolism, Parathyroid hormone maintains stable circulating calcium levels required for skeletal health and cellular signaling. Parathyroid Hormone Antibody Clone 3H9 enables detection of PTH expression in endocrine tissues and supports research investigating parathyroid gland biology and hormone-producing cell populations.

PTH is synthesized in parathyroid chief cells as preproparathyroid hormone and undergoes intracellular processing to produce the mature peptide hormone prior to secretion into circulation. Within tissue sections, Parathyroid hormone is typically localized within the cytoplasm of endocrine chief cells where hormone synthesis and storage occur. Immunodetection of this cytoplasmic staining pattern allows visualization of hormone-producing parathyroid cells and supports studies examining endocrine cell distribution within the parathyroid gland.

PTH plays a central role in systemic mineral metabolism by stimulating bone resorption, increasing renal calcium reabsorption, and promoting activation of vitamin D in the kidney. Through these physiological mechanisms, Parathyroid hormone maintains calcium balance and contributes to regulation of skeletal remodeling. Because of this important endocrine role, detection of PTH expression is widely used in research examining hormone regulation and metabolic bone biology.

PTH antibodies are commonly used in endocrine pathology research involving parathyroid tissue and related tumors. Detection of Parathyroid hormone assists in confirming parathyroid origin in endocrine lesions and contributes to characterization of parathyroid adenoma, parathyroid hyperplasia, and parathyroid carcinoma. Immunohistochemical detection using a PTH antibody provides a valuable molecular marker for identifying hormone-producing parathyroid cells in tissue sections.

Clone 3H9 is a widely cited mouse monoclonal antibody recognizing Parathyroid hormone and has been used in numerous peer reviewed studies investigating endocrine tissue biology and parathyroid tumors. A Parathyroid Hormone antibody based on clone 3H9 supports research examining PTH expression patterns, hormone producing cell populations, and endocrine signaling pathways involving Parathyroid hormone.

Application Notes

Optimal dilution of the Parathyroid Hormone Antibody Clone 3H9 should be determined by the researcher.

1. Staining of formalin-fixed tissues requires boiling tissue sections in 10mM Citrate buffer, pH 6.0, for 10-20 min followed by cooling at RT for 20 min.
2. The prediluted format is supplied in a dropper bottle and is optimized for use in IHC. After epitope retrieval step (if required), drip mAb solution onto the tissue section and incubate at RT for 30 min.

Immunogen

Synthetic peptide corresponding to amino acids 1 to 34 of mature PTH was used as the immunogen for the Parathyroid Hormone Antibody Clone 3H9.

Storage

Store the Parathyroid Hormone antibody at 2-8oC (with azide) or aliquot and store at -20oC or colder (without azide).

Alternate Names

PTH antibody, Parathyroid hormone antibody, PTH protein antibody, Parathyroid hormone protein antibody

Cross
Bulk Quote Request Form
Name*:
Organization*:
Email*:
Phone Number*:
Catalog No.*:
Comments and Specifics(amount, formulation, etc.)*:
Validation code: Captchapackage Image


Can't read the image? click here to refresh.
    *required field

Your bulk quote request has been submitted successfully!

Please contact us if you have any questions.