• Tel: 858.663.9055
  • SeparatorEmail: info@nsjbio.com
  • Tel: 858.663.9055
  • Email: info@nsjbio.com
Home >> Antibodies >> PAPP-A Antibody / Pappalysin-1

PAPP-A Antibody / Pappalysin-1 (R31719)

  Catalog No Formulation Size Price (USD)  
Image R31719 0.5mg/ml if reconstituted with 0.2ml sterile DI water 100 ug 449
Bulk quote request
Western blot testing of PAPP-A antibody and human samples 1: placenta; 2: HT1080; 3: SKOV; 4: 22RV1; 5: SW620; 6: MM231 lysate. Predicted/observed size ~180KD
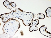
IHC-P: PAPP A antibody testing of human placenta tissue
Availability 1-3 business days
Species Reactivity Human
Format Antigen affinity purified
Host Rabbit
Clonality Polyclonal (rabbit origin)
Isotype Rabbit IgG
Purity Antigen affinity
Buffer Lyophilized from 1X PBS with 2.5% BSA and 0.025% sodium azide
UniProt Q13219
Gene ID 5069
Applications Western Blot : 0.5-1ug/ml
IHC (FFPE) : 0.5-1ug/ml
Limitations This PAPP-A antibody is available for research use only.
Review this product on BioCompare and get a $20 Amazon gift card

Related Products

Description

Pappalysin-1, also known as DIPLA1, is a protein that in humans is encoded by the PAPPA gene. PAPP-A is found in the ovarian follicles, follicular fluid, luteal cells, and fallopian tubes of nonpregnant women and in the seminal vesicles and seminal fluid of males. This gene encodes a secreted metalloproteinase which cleaves insulin-like growth factor binding proteins (IGFBPs). It is thought to be involved in local proliferative processes such as wound healing and bone remodeling. Low plasma level of this protein has been suggested as a biochemical marker for pregnancies with aneuploid fetuses. It has been found that circulating PAPP-A is a disulfide-bridged complex with proMBP in which the subunits of the constituents are present in a 1:1 molar ratio.

Application Notes

The stated application concentrations are suggested starting amounts. Titration of the PAPP-A antibody may be required due to differences in protocols and secondary/substrate sensitivity.

Immunogen

Human partial recombinant protein (AA 95-388) was used as the immunogen for this PAPP-A antibody.

Storage

After reconstitution, the PAPP-A antibody can be stored for up to one month at 4oC. For long-term, aliquot and store at -20oC. Avoid repeated freezing and thawing.

Cross
Bulk Quote Request Form
Name*:
Organization*:
Email*:
Phone Number*:
Catalog No.*:
Comments and Specifics(amount, formulation, etc.)*:
Validation code: Captchapackage Image


Can't read the image? click here to refresh.
    *required field

Your bulk quote request has been submitted successfully!

Please contact us if you have any questions.