• Tel: 858.663.9055
  • SeparatorEmail: info@nsjbio.com
  • Tel: 858.663.9055
  • Email: info@nsjbio.com
Home >> Antibodies >> PAN3 Antibody / PAN deadenylation complex subunit 3

PAN3 Antibody / PAN deadenylation complex subunit 3 (FY12497)

  Catalog No Formulation Size Price (USD)  
Image FY12497 Adding 0.2 ml of distilled water will yield a concentration of 500 ug/ml 100 ug 449
Bulk quote request
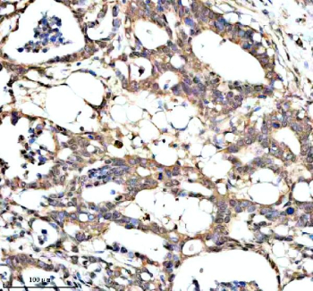
Immunohistochemical staining of PAN3 using anti-PAN3 antibody. PAN3 was detected in a paraffin-embedded section of human pancreas cancer tissue. Heat mediated antigen retrieval was performed in EDTA buffer (pH 8.0, epitope retrieval solution). The tissue section was blocked with 10% goat serum. The tissue section was then incubated with 2 ug/ml rabbit anti-PAN3 antibody overnight at 4oC. Peroxidase Conjugated Goat Anti-rabbit IgG was used as secondary antibody and incubated for 30 minutes at 37oC. The tissue section was developed using an HRP secondary and DAB substrate.
Western blot analysis of PAN3 using anti-PAN3 antibody. Electrophoresis was performed on a 10% SDS-PAGE gel at 80V (Stacking gel) / 120V (Resolving gel) for 2 hours. Lane 1: human HEL whole cell lysates, Lane 2: human THP-1 whole cell lysates, Lane 3: human MCF-7 whole cell lysates, Lane 4: human Jurkat whole cell lysates, Lane 5: mouse thymus tissue lysates, Lane 6: mouse RAW264.7 whole cell lysates. After electrophoresis, proteins were transferred to a nitrocellulose membrane at 150 mA for 50-90 minutes. Blocked the membrane with 5% non-fat milk/TBS for 1.5 hour at RT. The membrane was incubated with rabbit anti-PAN3 antibody at 0.5 ug/ml overnight at 4oC, then washed with TBS-0.1%Tween 3 times with 5 minutes each and probed with a goat anti-rabbit IgG-HRP secondary antibody at a dilution of 1:5000 for 1.5 hour at RT. The signal was developed using an ECL Plus Western Blotting Substrate. The expected molecular weight of PAN3 is ~96 kDa.
Immunofluorescent staining of PAN3 using anti-PAN3 antibody (green) and anti-Beta Tubulin antibody (red). PAN3 was detected in an immunocytochemical section of U2OS cells. Enzyme antigen retrieval was performed using IHC enzyme antigen retrieval reagent for 15 mins. The cells were blocked with 10% goat serum. And then incubated with 5 ug/ml rabbit anti-PAN3 antibody and mouse anti-Beta Tubulin antibody overnight at 4oC. DyLight 488 Conjugated Goat Anti-Rabbit IgG and Cy3 Conjugated Goat Anti-Mouse IgG were used as secondary antibody at 1:500 dilution and incubated for 30 minutes at 37oC. Visualize using a fluorescence microscope and filter sets appropriate for the label used.
Immunofluorescent staining of PAN3 using anti-PAN3 antibody (green). PAN3 was detected in an immunocytochemical section of U2OS cells. Enzyme antigen retrieval was performed using IHC enzyme antigen retrieval reagent for 15 mins. The cells were blocked with 10% goat serum. And then incubated with 5 ug/ml rabbit anti-PAN3 antibody overnight at 4oC. DyLight 488 Conjugated Goat Anti-Rabbit IgG was used as secondary antibody at 1:500 dilution and incubated for 30 minutes at 37oC. The section was counterstained with DAPI nuclear stain (blue). Visualize using a fluorescence microscope and filter sets appropriate for the label used.
Flow Cytometry analysis of THP-1 cells using anti-PAN3 antibody. Overlay histogram showing THP-1 cells stained with (Blue line). To facilitate intracellular staining, cells were fixed with 4% paraformaldehyde and permeabilized with permeabilization buffer. The cells were blocked with 10% normal goat serum. And then incubated with rabbit anti-PAN3 antibody (1 ug/million cells) for 30 min at 20oC. DyLight 488 conjugated goat anti-rabbit IgG (5-10 ug/million cells) was used as secondary antibody for 30 minutes at 20oC. Isotype control antibody (Green line) was rabbit IgG (1 ug/million cells) used under the same conditions. Unlabelled sample without incubation with primary antibody and secondary antibody (Red line) was used as a blank control.
Availability 1-2 days
Species Reactivity Human, Mouse
Format Lyophilized
Host Rabbit
Clonality Polyclonal (rabbit origin)
Isotype Rabbit IgG
Purity Immunogen affinity purified
Buffer Each vial contains 4 mg Trehalose, 0.9 mg NaCl, 0.2 mg Na2HPO4.
UniProt Q58A45
Localization Cytoplasmic, Nuclear
Applications Western Blot : 0.25-0.5ug/ml
Immunohistochemistry : 2-5ug/ml
Immunocytochemistry/Immunofluorescence : 5ug/ml
Flow Cytometry : 1-3ug/million cells
ELISA : 0.1-0.5ug/ml
Limitations This PAN3 antibody is available for research use only.
Review this product on BioCompare and get a $20 Amazon gift card

Description

PAN3 antibody detects PAB-dependent poly(A)-specific ribonuclease subunit 3, a component of the PAN deadenylation complex responsible for the removal of poly(A) tails from mRNA molecules. PAN3 forms a heterodimer with PAN2 to mediate mRNA turnover, regulating transcript stability and translation. The PAN3 antibody is widely used in studies of RNA metabolism, post-transcriptional control, and gene expression regulation.

PAN3 is encoded by the PAN3 gene located on human chromosome 13q12.13. The protein is approximately 89 kilodaltons and characterized by coiled-coil, zinc finger, and RNA-binding motifs that support its role in mRNA degradation. Within the PAN2-PAN3 complex, PAN3 acts as a scaffold protein that recruits PAN2 to poly(A)-bound PABP (poly(A)-binding protein) and stimulates deadenylase activity. This process represents the first step in mRNA decay, preceding decapping and exonucleolytic degradation.

The PAN3 antibody detects an ~96 kilodalton protein by western blot and shows cytoplasmic punctate localization consistent with processing bodies (P-bodies) and stress granules. Functional assays reveal that PAN3, together with PAN2, regulates transcript half-life during stress, differentiation, and cell cycle transitions. Depletion of PAN3 stabilizes mRNAs and alters global translation, underscoring its central role in RNA homeostasis.

Beyond mRNA decay, PAN3 contributes to early embryonic development and stress responses by coordinating the balance between translation and degradation. It interacts with the CCR4-NOT complex and RNA helicases, integrating deadenylation with other post-transcriptional mechanisms. NSJ Bioreagents provides a validated PAN3 antibody optimized for western blot, immunofluorescence, and RNA-binding protein studies, supporting analysis of mRNA turnover and translational regulation in eukaryotic cells.

Application Notes

Optimal dilution of the PAN3 antibody should be determined by the researcher.

Immunogen

E.coli-derived human PAN3 recombinant protein (Position: Q227-L887) was used as the immunogen for the PAN3 antibody.

Storage

After reconstitution, the PAN3 antibody can be stored for up to one month at 4oC. For long-term, aliquot and store at -20oC. Avoid repeated freezing and thawing.

Cross
Bulk Quote Request Form
Name*:
Organization*:
Email*:
Phone Number*:
Catalog No.*:
Comments and Specifics(amount, formulation, etc.)*:
Validation code: Captchapackage Image


Can't read the image? click here to refresh.
    *required field

Your bulk quote request has been submitted successfully!

Please contact us if you have any questions.