- Tel: 858.663.9055
- 
									 Email: info@nsjbio.com Email: info@nsjbio.com
- Tel: 858.663.9055
- Email: info@nsjbio.com
 Email: info@nsjbio.com
Email: info@nsjbio.com
								Related Products
| 
 | 
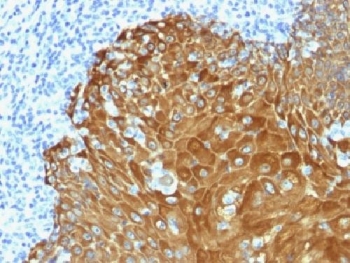
Twenty human keratins are resolved with two-dimensional gel electrophoresis into acidic (pI 6.0) subfamilies. This antibody detects acidic (Type I or LMW) and basic (Type II or HMW) cytokeratins: 67kDa (CK1); 64kDa (CK3); 59kDa (CK4); 58kDa (CK5); 56kDa (CK6); 52kDa (CK8); 56.5kDa (CK10); 50kDa (CK14); 50kDa (CK15); 48kDa (CK16); 40kDa (CK19). Many studies have shown the usefulness of keratins as markers in cancer research and tumor diagnosis. It is a broad spectrum anti pan-cytokeratin antibody, which differentiates epithelial tumors from non-epithelial tumors e.g. squamous vs. adenocarcinoma of the lung, liver carcinoma, breast cancer, and esophageal cancer. It may be useful to characterize the source of various neoplasms and to study the distribution of cytokeratin containing cells in epithelia during normal development and during the development of epithelial neoplasms. This antibody stains cytokeratins present in normal and abnormal human tissues and has high sensitivity in the recognition of epithelial cells and carcinomas.
The concentration stated for each application is a general starting point. Variations in protocols, secondaries and substrates may require the pan Cytokeratin antibody to be titered up or down for optimal performance.
1. The prediluted format is supplied in a dropper bottle and is optimized for use in IHC. After epitope retrieval step (if required), drip mAb solution onto the tissue section and incubate at RT for 30 min.
Recombinant full-length human KRT76 and KRT77 proteins were used as the immunogen for this pan Cytokeratin antibody.
Store the pan Cytokeratin antibody at 2-8oC (with azide) or aliquot and store at -20oC or colder (without azide).
 
Your bulk quote request has been submitted successfully!
Please contact us if you have any questions.