- Tel: 858.663.9055
- 
									 Email: info@nsjbio.com Email: info@nsjbio.com
- Tel: 858.663.9055
- Email: info@nsjbio.com
 Email: info@nsjbio.com
Email: info@nsjbio.com
								Related Products
| 
 | 
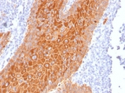
Pan Cytokeratin antibody clone Cocktail PAN-CK is a monoclonal antibody blend that detects multiple cytokeratin proteins expressed in epithelial cells. Cytokeratins are intermediate filament proteins that provide structural integrity, regulate cell polarity, and contribute to tissue resilience. Because epithelial tumors express cytokeratins in diverse combinations, pan cytokeratin detection offers broad coverage for confirming epithelial origin. NSJ Bioreagents provides this antibody for oncology, pathology, and epithelial biology research.
The antibody produces strong cytoplasmic staining in a wide range of simple and stratified epithelia, as well as in most carcinomas. In diagnostic pathology, pan cytokeratin antibodies are among the most widely used reagents to identify epithelial tumors. Clone Cocktail PAN-CK provides reliable coverage across multiple cytokeratin isoforms, making it suitable for distinguishing carcinomas from mesenchymal, lymphoid, or neuroendocrine neoplasms.
In oncology, this antibody supports tumor classification and helps clarify lineage in poorly differentiated neoplasms. Carcinomas of the lung, breast, prostate, gastrointestinal tract, and liver are consistently detected with pan cytokeratin reagents. The antibody therefore supports panels used in surgical pathology to classify unknown tumors and metastatic lesions.
In research, pan cytokeratin antibody clone Cocktail PAN-CK has been applied to studies of epithelial-to-mesenchymal transition (EMT). Loss or downregulation of cytokeratin expression is a hallmark of EMT, a process that enables tumor invasion and metastasis. By detecting cytokeratins broadly, this antibody helps track epithelial identity in models of tumor progression and developmental transitions.
In developmental biology, cytokeratin detection provides insight into epithelial differentiation and lineage tracing. Pan cytokeratin antibodies are frequently used to map epithelial maturation in embryonic tissues and organogenesis.
In cell biology, cytokeratin detection supports studies of cytoskeletal organization and stress responses. Cytokeratins help anchor cells to desmosomes and hemidesmosomes, stabilizing tissues under mechanical stress. This antibody provides researchers with a tool to evaluate cytoskeletal dynamics in health and disease.
Validated in tissue-based and cell-based assays, the antibody consistently produces strong cytoplasmic staining with minimal background. Alternate names include epithelial marker antibody, broad-spectrum cytokeratin antibody, and epithelial intermediate filament antibody.
Twenty human keratins are resolved with two-dimensional gel electrophoresis into acidic (pI 6.0) subfamilies. This antibody cocktail recognizes acidic (Type I or LMW) and basic (Type II or HMW) cytokeratins, with 67kDa (CK1); 64kDa (CK3); 59kDa (CK4); 58kDa (CK5); 56kDa (CK6); 55kDa (CK7); 52kDa (CK8); 56.5kDa (CK10); 53kDa (CK13); 50kDa (CK14); 50kDa (CK15); 48kDa (CK16); 46kDa (CK17); 45kDa (CK18) and 40kDa (CK19).
Optimal dilution of the pan Cytokeratin antibody cocktail should be determined by the researcher.
1. Staining of formalin-fixed tissues requires boiling tissue sections in 10mM Citrate buffer, pH 6.0, for 10-20 min followed by cooling at RT for 20 min.
2. The prediluted format is supplied in a dropper bottle and is optimized for use in IHC. After epitope retrieval step (if required), drip mAb solution onto the tissue section and incubate at RT for 30 min.
Human epidermal keratin was used as the immunogen for the pan Cytokeratin antibody cocktail.
Store the pan Cytokeratin antibody cocktail at 2-8oC (with azide) or aliquot and store at -20oC or colder (without azide).
 
Your bulk quote request has been submitted successfully!
Please contact us if you have any questions.