- Tel: 858.663.9055
- 
									 Email: info@nsjbio.com Email: info@nsjbio.com
- Tel: 858.663.9055
- Email: info@nsjbio.com
 Email: info@nsjbio.com
Email: info@nsjbio.com
								Related Products
| 
 | 
MonoPoly antibodies are designed by pooling several monospecific, recombinant monoclonal antibodies against a target. MonoPoly antibodies are a kind of synthetic polyclonal antibodies that can be produced in unlimited quantity with a strict lot-to-lot consistency. These antibodies are highly specific with exquisite sensitivity and a single MonoPoly antibody can be used for a variety of applications.
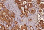
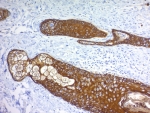
This antibody cocktail recognizes acidic (Type I or LMW) and basic (Type II or HMW) cytokeratins, with 67kDa (CK1); 64kDa (CK3); 59kDa (CK4); 58kDa (CK5); 56kDa (CK6); 55kDa (CK7); 52kDa (CK8); 56.5kDa (CK10); 53kDa (CK13); 50kDa (CK14); 50kDa (CK15); 48kDa (CK16); 46kDa (CK17); 45kDa (CK18), 40kDa (CK19) and 46kDa (CK20). Many studies have shown the usefulness of keratins as markers in cancer research and tumor diagnosis. This antibody is a broad-spectrum anti pan-cytokeratin antibody cocktail, which differentiates epithelial tumors from non-epithelial tumors e.g. squamous vs. adenocarcinoma of the lung, liver carcinoma, breast cancer, and esophageal cancer. It is useful in characterizing the source of various neoplasms and to study the distribution of cytokeratin containing cells in epithelia during normal development and during the development of epithelial neoplasms.
Optimal dilution of the Pan Cytokeratin antibody should be determined by the researcher.
Recombinant fragments and/or synthetic peptides of human Cytokeratin proteins were used as the immunogen for the Pan Cytokeratin antibody.
Aliquot the Pan Cytokeratin antibody and store frozen at -20oC or colder. Avoid repeated freeze-thaw cycles.
 
Your bulk quote request has been submitted successfully!
Please contact us if you have any questions.