• Tel: 858.663.9055
  • SeparatorEmail: info@nsjbio.com
  • Tel: 858.663.9055
  • Email: info@nsjbio.com
Home >> Antibodies >> Pan-Cadherin Antibody

Pan-Cadherin Antibody [clone Pan-CAD/8020] (V5315)

  Catalog No Formulation Size Price (USD)  
Image V5315-100UG 0.2 mg/ml in 1X PBS with 0.1 mg/ml BSA (US sourced), 0.05% sodium azide 100 ug 559
Image
V5315-20UG 0.2 mg/ml in 1X PBS with 0.1 mg/ml BSA (US sourced), 0.05% sodium azide 20 ug 259
Image
V5315SAF-100UG 1 mg/ml in 1X PBS; BSA free, sodium azide free 100 ug 559
Bulk quote request
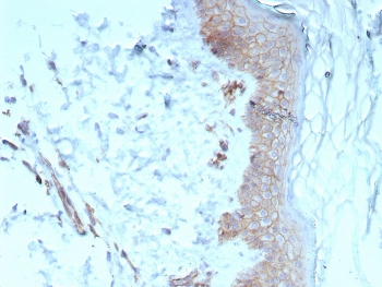
IHC staining of FFPE human skin tissue with Pan-Cadherin antibody (clone Pan-CAD/8020). HIER: boil tissue sections in pH 9 10mM Tris with 1mM EDTA for 20 min and allow to cool before testing.
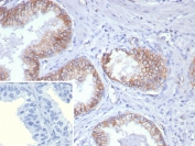
IHC staining of FFPE human prostate carcinoma tissue with Pan-Cadherin antibody (clone Pan-CAD/8020). Inset: PBS used in place of primary Ab (secondary Ab negative control). HIER: boil tissue sections in pH 9 10mM Tris with 1mM EDTA for 20 min and allow to cool before testing.
SDS-PAGE analysis of purified, BSA-free Pan-Cadherin antibody (clone Pan-CAD/8020) as confirmation of integrity and purity.
Availability 1-3 business days
Species Reactivity Human
Format Purified
Host Mouse
Clonality Monoclonal (mouse origin)
Isotype Mouse IgG1, kappa
Clone Name Pan-CAD/8020
Purity Protein A/G affinity
UniProt P12830 , P19022 , P22223 , P33151 , P55283
Localization Cell junction
Applications Immunohistochemistry (FFPE) : 1-2ug/ml for 30 min at RT
Limitations This Pan-Cadherin antibody is available for research use only.
Review this product on BioCompare and get a $20 Amazon gift card

Related Products

Description

Cadherins comprise a family of Ca2+-dependent adhesion molecules that function to mediate cell-cell binding critical to the maintenance of tissue structure and morphogenesis. The classical cadherins, E-, N- and P-cadherin, consist of large extracellular domains characterized by a series of five homologous NH2 terminal repeats. The most distal of these cadherins is thought to be responsible for binding specificity, transmembrane domains and carboxy terminal intracellular domains. The relatively short intracellular domains interact with a variety of cytoplasmic proteins, such as beta-catenin, to regulate cadherin function. Members of this family of adhesion proteins include rat cadherin K (and its human homolog, cadherin 6), R-cadherin, B-cadherin, E/P cadherin and cadherin-5.

Application Notes

Optimal dilution of the Pan-Cadherin antibody should be determined by the researcher.

Immunogen

A recombinant fragment of human C-terminal of Pan-Cadherin was used as the immunogen for the Pan-Cadherin antibody.

Storage

Aliquot the Pan-Cadherin antibody and store frozen at -20oC or colder. Avoid repeated freeze-thaw cycles.

Cross
Bulk Quote Request Form
Name*:
Organization*:
Email*:
Phone Number*:
Catalog No.*:
Comments and Specifics(amount, formulation, etc.)*:
Validation code: Captchapackage Image


Can't read the image? click here to refresh.
    *required field

Your bulk quote request has been submitted successfully!

Please contact us if you have any questions.