• Tel: 858.663.9055
  • SeparatorEmail: info@nsjbio.com
  • Tel: 858.663.9055
  • Email: info@nsjbio.com
Home >> Antibodies >> PAM Antibody / Peptidyl-glycine alpha-amidating monooxygenase

PAM Antibody / Peptidyl-glycine alpha-amidating monooxygenase (FY12128)

  Catalog No Formulation Size Price (USD)  
Image FY12128 Adding 0.2 ml of distilled water will yield a concentration of 500 ug/ml 100 ug 449
Bulk quote request
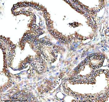
IHC analysis of PAM using anti-PAM antibody. PAM was detected in a paraffin-embedded section of human prostate cancer tissue. Heat mediated antigen retrieval was performed in EDTA buffer (pH 8.0, epitope retrieval solution). The tissue section was blocked with 10% goat serum. The tissue section was then incubated with 2 ug/ml rabbit anti-PAM antibody overnight at 4oC. Peroxidase Conjugated Goat Anti-rabbit IgG was used as secondary antibody and incubated for 30 minutes at 37oC. The tissue section was developed using an HRP secondary and DAB substrate.
Western blot analysis of PAM using anti-PAM antibody. Electrophoresis was performed on a 8% SDS-PAGE gel at 80V (Stacking gel) / 120V (Resolving gel) for 2 hours. Lane 1: human U2OS whole cell lysates, Lane 2: human Hela whole cell lysates, Lane 3: human U251 whole cell lysates, Lane 4: human SIHA whole cell lysates, Lane 5: rat H9C2(2-1) whole cell lysates, Lane 6: mouse heart tissue lysates. After electrophoresis, proteins were transferred to a nitrocellulose membrane at 150 mA for 50-90 minutes. Blocked the membrane with 5% non-fat milk/TBS for 1.5 hour at RT. The membrane was incubated with rabbit anti-PAM antibody at 0.5 ug/ml overnight at 4oC, then washed with TBS-0.1%Tween 3 times with 5 minutes each and probed with a goat anti-rabbit IgG-HRP secondary antibody at a dilution of 1:5000 for 1.5 hour at RT. The signal was developed using an ECL Plus Western Blotting Substrate. The expected band size for PAM is at 108 kDa but is typically observed at 115–130 kDa (sometimes as a broad band or doublet) due to glycosylation.
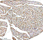
IHC analysis of PAM using anti-PAM antibody. PAM was detected in a paraffin-embedded section of mouse heart tissue. Heat mediated antigen retrieval was performed in EDTA buffer (pH 8.0, epitope retrieval solution). The tissue section was blocked with 10% goat serum. The tissue section was then incubated with 2 ug/ml rabbit anti-PAM antibody overnight at 4oC. Peroxidase Conjugated Goat Anti-rabbit IgG was used as secondary antibody and incubated for 30 minutes at 37oC. The tissue section was developed using an HRP secondary and DAB substrate.
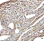
IHC analysis of PAM using anti-PAM antibody. PAM was detected in a paraffin-embedded section of rat heart tissue. Heat mediated antigen retrieval was performed in EDTA buffer (pH 8.0, epitope retrieval solution). The tissue section was blocked with 10% goat serum. The tissue section was then incubated with 2 ug/ml rabbit anti-PAM antibody overnight at 4oC. Peroxidase Conjugated Goat Anti-rabbit IgG was used as secondary antibody and incubated for 30 minutes at 37oC. The tissue section was developed using an HRP secondary and DAB substrate.
Flow Cytometry analysis of SH-SY5Y cells using anti-PAM antibody. Overlay histogram showing SH-SY5Y cells stained with (Blue line). To facilitate intracellular staining, cells were fixed with 4% paraformaldehyde and permeabilized with permeabilization buffer. The cells were blocked with 10% normal goat serum. And then incubated with rabbit anti-PAM antibody (1 ug/million cells) for 30 min at 20oC. DyLight 488 conjugated goat anti-rabbit IgG (5-10 ug/million cells) was used as secondary antibody for 30 minutes at 20oC. Isotype control antibody (Green line) was rabbit IgG (1 ug/million cells) used under the same conditions. Unlabelled sample without incubation with primary antibody and secondary antibody (Red line) was used as a blank control.
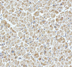
IHC analysis of PAM using anti-PAM antibody. PAM was detected in a paraffin-embedded section of human heart tissue. Heat mediated antigen retrieval was performed in EDTA buffer (pH 8.0, epitope retrieval solution). The tissue section was blocked with 10% goat serum. The tissue section was then incubated with 2 ug/ml rabbit anti-PAM antibody overnight at 4oC. Peroxidase Conjugated Goat Anti-rabbit IgG was used as secondary antibody and incubated for 30 minutes at 37oC. The tissue section was developed using an HRP secondary and DAB substrate.
Availability 1-2 days
Species Reactivity Human, Mouse, Rat
Format Lyophilized
Host Rabbit
Clonality Polyclonal (rabbit origin)
Isotype Rabbit IgG
Purity Immunogen affinity purified
Buffer Each vial contains 4 mg Trehalose, 0.9 mg NaCl, 0.2 mg Na2HPO4.
UniProt P19021
Applications Western Blot : 0.25-0.5ug/ml
Immunohistochemistry : 2-5ug/ml
Flow Cytometry : 1-3ug/million cells
ELISA : 0.1-0.5ug/ml
Limitations This PAM antibody is available for research use only.
Review this product on BioCompare and get a $20 Amazon gift card

Related Products

Description

PAM antibody detects Peptidyl-glycine alpha-amidating monooxygenase, encoded by the PAM gene on chromosome 5q23.2. PAM antibody is used to study this bifunctional enzyme that catalyzes peptide amidation, a modification essential for the activity of many neuropeptides and hormones. Amidation increases peptide stability, receptor affinity, and biological potency. PAM contains two catalytic domains: peptidylglycine alpha-hydroxylating monooxygenase (PHM) and peptidyl-alpha-hydroxyglycine alpha-amidating lyase (PAL). PHM hydroxylates the terminal glycine of a peptide substrate, and PAL then cleaves the hydroxylated intermediate to generate the amidated, active peptide.

PAM expression is highest in neuroendocrine tissues including brain, pituitary, adrenal glands, and pancreas, where it activates signaling molecules like vasopressin, oxytocin, gastrin, and calcitonin. By processing these hormones and neuropeptides, PAM regulates stress response, water homeostasis, appetite, metabolism, and cardiovascular activity. Because the enzyme requires copper, ascorbate, and molecular oxygen, its activity is tied to nutritional status and redox balance. PAM localization to secretory granules ensures amidation occurs during peptide packaging and secretion.

Disruption of PAM activity impairs peptide amidation and alters neuroendocrine signaling. Knockout mice exhibit growth retardation, defective stress hormone responses, and metabolic dysregulation. In humans, variants in PAM have been associated with endocrine disorders, altered glucose regulation, and susceptibility to neuroendocrine tumors. Overexpression of PAM in tumors may enhance production of amidated peptides that drive proliferation. PAM antibody is essential for studying how peptide hormones are matured and how dysregulated amidation contributes to disease.

Experimentally, PAM antibody is used in western blotting to detect isoforms, in immunohistochemistry to visualize tissue distribution, and in immunofluorescence to highlight localization in secretory granules. Co-immunoprecipitation with PAM antibody identifies interactions with granin proteins and vesicle transport machinery. Functional assays pair PAM antibody with peptide amidation measurements to connect enzyme expression with biological activity. NSJ Bioreagents offers PAM antibody to support research in neuroendocrinology, peptide biology, and tumor biology.

Application Notes

Optimal dilution of the PAM antibody should be determined by the researcher.

Immunogen

E.coli-derived human PAM recombinant protein (Position: K69-R914) was used as the immunogen for the PAM antibody.

Storage

After reconstitution, the PAM antibody can be stored for up to one month at 4oC. For long-term, aliquot and store at -20oC. Avoid repeated freezing and thawing.

Cross
Bulk Quote Request Form
Name*:
Organization*:
Email*:
Phone Number*:
Catalog No.*:
Comments and Specifics(amount, formulation, etc.)*:
Validation code: Captchapackage Image


Can't read the image? click here to refresh.
    *required field

Your bulk quote request has been submitted successfully!

Please contact us if you have any questions.