• Tel: 858.663.9055
  • SeparatorEmail: info@nsjbio.com
  • Tel: 858.663.9055
  • Email: info@nsjbio.com
Home >> Antibodies >> PAK1 Antibody

PAK1 Antibody (F50890)

  Catalog No Formulation Size Price (USD)  
Image F50890-0.4ML In 1X PBS, pH 7.4, with 0.09% sodium azide 0.4 ml 439
Image
F50890-0.08ML In 1X PBS, pH 7.4, with 0.09% sodium azide 0.08 ml 205
Bulk quote request
Confocal immunofluorescent analysis of PAK1 antibody with HeLa cells followed by Alexa Fluor 488-conjugated goat anti-rabbit lgG (green). Actin filaments have been labeled with Alexa Fluor 555 Phalloidin (red).
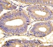
IHC analysis of FFPE human colon carcinoma tissue stained with PAK1 antibody
Western blot analysis of PAK1 antibody and 293 cell lysate either nontransfected (Lane 1) or transiently transfected with the PAK1 gene (2). Expected molecular weight 60~70kDa.
Availability 1-3 business days
Species Reactivity Human
Predicted Reactivity Mouse, Rat, Bovine, Rabbit, Xenopus
Format Antigen affinity purified
Host Rabbit
Clonality Polyclonal (rabbit origin)
Isotype Rabbit Ig
Purity Antigen affinity
UniProt Q13153
Applications Western Blot : 1:1000
Immunofluorescence : 1:10-1:50
IHC (Paraffin) : 1:10-1:50
Limitations This PAK1 antibody is available for research use only.
Review this product on BioCompare and get a $20 Amazon gift card

Related Products

  • Applications : WB
    Reactivity : Human, Mouse, Rat
  • Applications : WB, ELISA (peptide)
    Reactivity : Human, Mouse, Rat
    Pred. Reactivity : Dog
  • Applications : WB, Direct ELISA
    Reactivity : Human, Mouse, Rat
  • Applications : WB, IHC-P, IF, FACS, Direct ELISA
    Reactivity : Human, Mouse, Rat

Description

PAK1, a member of the STE20 subfamily of Ser/Thr protein kinases, acts on a variety of targets. It is likely to be the GTPase effector that links the Rho-related GTPases to the JNK MAP kinase pathway. Activity is inhibited in cells undergoing apoptosis, potentially due to binding of CDC2L1 and CDC2L2. The protein interacts tightly with GTP-bound but not GDP-bound CDC42/P21 and RAC1. PAK1 binds to the caspase-cleaved p110 isoform of CDC2L1 and CDC2L2, p110C, but not the full-length proteins. It is a component of cytoplasmic complexes, which also contain PXN, ARHGEF6 and GIT1. The protein is autophosphorylated when activated by CDC42/p21. Structurally, the PAK1 contains 1 CRIB domain.

Application Notes

Titration of the PAK1 antibody may be required due to differences in protocols and secondary/substrate sensitivity.

Immunogen

A portion of amino acids 401-430 from the human protein was used as the immunogen for this PAK1 antibody.

Storage

Aliquot the PAK1 antibody and store frozen at -20oC or colder. Avoid repeated freeze-thaw cycles.

Cross
Bulk Quote Request Form
Name*:
Organization*:
Email*:
Phone Number*:
Catalog No.*:
Comments and Specifics(amount, formulation, etc.)*:
Validation code: Captchapackage Image


Can't read the image? click here to refresh.
    *required field

Your bulk quote request has been submitted successfully!

Please contact us if you have any questions.