• Tel: 858.663.9055
  • SeparatorEmail: info@nsjbio.com
  • Tel: 858.663.9055
  • Email: info@nsjbio.com
Home >> Antibodies >> Paired-like homeobox 2B Antibody / PHOX2B

Paired-like homeobox 2B Antibody / PHOX2B [clone PHOX2B/7792R] (V5032)

  Catalog No Formulation Size Price (USD)  
Image V5032-100UG 0.2 mg/ml in 1X PBS with 0.1 mg/ml BSA (US sourced), 0.05% sodium azide 100 ug 559
Image
V5032-20UG 0.2 mg/ml in 1X PBS with 0.1 mg/ml BSA (US sourced), 0.05% sodium azide 20 ug 259
Image
V5032SAF-100UG 1 mg/ml in 1X PBS; BSA free, sodium azide free 100 ug 559
Microvalidated Recrabbitmono
Bulk quote request
IHC staining of FFPE human renal cell carcinoma tissue with Paired-like homeobox 2B antibody (clone PHOX2B/7792R). HIER: boil tissue sections in pH 9 10mM Tris with 1mM EDTA for 20 min and allow to cool before testing.
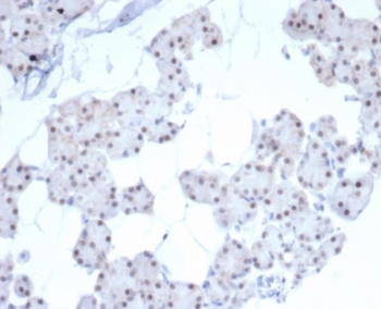
IHC staining of FFPE human pancreas tissue with Paired-like homeobox 2B antibody (clone PHOX2B/7792R). Inset: PBS used in place of primary Ab (secondary Ab negative control). HIER: boil tissue sections in pH 9 10mM Tris with 1mM EDTA for 20 min and allow to cool before testing.
Availability 1-3 business days
Species Reactivity Human
Format Purified
Host Rabbit
Clonality Recombinant Rabbit Monoclonal
Isotype Rabbit IgG, kappa
Clone Name PHOX2B/7792R
Purity Protein A/G affinity
UniProt Q99453
Localization Nucleus
Applications Immunohistochemistry (FFPE) : 1-2ug/ml for 30 min at RT
Limitations This Paired-like homeobox 2B antibody is available for research use only.
Review this product on BioCompare and get a $20 Amazon gift card

Related Products

  • Applications : IHC-P
    Reactivity : Human
    Recrabbitmono
  • Applications : IF, WB, ELISA
    Reactivity : Mouse
    Pred. Reactivity : Human, Rat

Description

Paired homeobox protein 2B (PHOX2B) is a transcription factor located on chromosome 4p13, which is essential for the formation of autonomic ganglia in the autonomic nervous system. PHOX2B is expressed in neuroblastoma, brain and adrenal glands. PHOX2B deficiency can lead to susceptibility to congenital central hypoventilation syndrome (CCHS) and neuroblastoma type 2 (NBLST2).

Application Notes

Optimal dilution of the Paired-like homeobox 2B antibody should be determined by the researcher.

Immunogen

A recombinant fragment of human protein was used as the immunogen for the Paired-like homeobox 2B antibody.

Storage

Aliquot the Paired-like homeobox 2B antibody and store frozen at -20oC or colder. Avoid repeated freeze-thaw cycles.

Cross
Bulk Quote Request Form
Name*:
Organization*:
Email*:
Phone Number*:
Catalog No.*:
Comments and Specifics(amount, formulation, etc.)*:
Validation code: Captchapackage Image


Can't read the image? click here to refresh.
    *required field

Your bulk quote request has been submitted successfully!

Please contact us if you have any questions.