• Tel: 858.663.9055
  • SeparatorEmail: info@nsjbio.com
  • Tel: 858.663.9055
  • Email: info@nsjbio.com
Home >> Antibodies >> PAI-1 Antibody / Plasminogen activator inhibitor 1 / SERPINE1

PAI-1 Antibody / Plasminogen activator inhibitor 1 / SERPINE1 [clone ABHG-19] (RQ5107)

  Catalog No Formulation Size Price (USD)  
Image RQ5107 Antibody in PBS with 0.02% sodium azide, 50% glycerol and 0.4-0.5mg/ml BSA 100 ul 449
Microvalidated Recrabbitmono
Bulk quote request
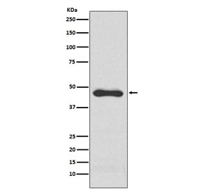
Western blot testing of human HepG2 cell lysate with PAI-1/Plasminogen activator inhibitor 1 antibody. Predicted molecular weight ~45 kDa.
Application of PAI-1 / SERPINE1 antibody in western blot. Western blot analysis of PAI-1 / SERPINE1 antibody (clone ABHG-19) was performed using human U251, A549, U2OS, HepG2, A431, and U-87MG whole cell lysates. A prominent immunoreactive band is observed at approximately 45 kDa across multiple lanes, consistent with the predicted molecular weight of Plasminogen activator inhibitor 1. Stronger expression is evident in U251 and U-87MG lysates, with moderate signal in A549, U2OS, HepG2, and A431 cells, reflecting expected cell-type-dependent SERPINE1 expression. The detected band aligns with the predicted molecular weight of approximately 45 kDa under reducing conditions. PAI-1 is a secreted serpin that can exist in active and latent conformations, and minor intensity variation between lanes may reflect differences in expression levels and secretion dynamics rather than size heterogeneity. The blot demonstrates specific detection of endogenous PAI-1 at its predicted molecular weight in human cell lysates.
Availability 1-2 weeks
Species Reactivity Human
Format Purified
Host Rabbit
Clonality Recombinant Rabbit Monoclonal
Isotype Rabbit IgG
Clone Name ABHG-19
Purity Affinity purified
UniProt P05121
Applications Western Blot : 1:500-1:1000
Limitations This PAI-1/Plasminogen activator inhibitor 1 antibody is available for research use only.
Review this product on BioCompare and get a $20 Amazon gift card

Related Products

Description

PAI-1 antibody, also known as Plasminogen activator inhibitor 1 antibody, recognizes a secreted serine protease inhibitor encoded by the SERPINE1 gene and commonly referred to as Serpin E1 and endothelial plasminogen activator inhibitor. Plasminogen activator inhibitor 1 is a member of the serpin superfamily and is localized predominantly to the extracellular space and circulating plasma, where it tightly regulates fibrinolysis. It is highly expressed in endothelial cells, adipocytes, hepatocytes, platelets, smooth muscle cells, and various tumor cell types, with expression levels increasing in response to inflammatory cytokines, hypoxia, metabolic stress, and tissue injury.

Plasminogen activator inhibitor 1 functions as the primary physiological inhibitor of tissue-type plasminogen activator and urokinase-type plasminogen activator, thereby limiting plasmin generation and stabilizing fibrin clots. Through this antifibrinolytic activity, it plays a critical role in thrombosis, wound healing, and extracellular matrix remodeling. Beyond hemostasis, PAI-1 is actively involved in angiogenesis, cell adhesion, migration, and tumor invasion through interactions with vitronectin and the urokinase receptor complex. PAI-1 antibody is frequently used in studies investigating coagulation biology, vascular pathology, and tumor microenvironment signaling.

Structurally, Plasminogen activator inhibitor 1 contains the conserved reactive center loop characteristic of serpin family members, allowing it to form stable inhibitory complexes with target proteases. The protein exists in active, latent, and cleaved conformations, each with distinct functional implications. Binding to vitronectin stabilizes the active conformation and prolongs its half-life in circulation. Within tissues, PAI-1 is detected in the pericellular matrix and extracellular compartment, often co-localizing with integrins and components of the plasminogen activation system during dynamic remodeling processes.

Dysregulation of SERPINE1 expression is strongly associated with human disease. Elevated PAI-1 levels are linked to deep vein thrombosis, myocardial infarction, atherosclerosis, and other cardiovascular disorders characterized by impaired fibrinolysis. Increased expression is also observed in obesity and type 2 diabetes, contributing to metabolic and vascular complications. In oncology, high SERPINE1 expression correlates with poor prognosis in several malignancies, including breast, lung, and colorectal cancers, where it supports tumor cell survival, invasion, and resistance to apoptosis.

PAI-1 antibody supports research into TGF-beta signaling, hypoxia-inducible factor pathways, and inflammatory cytokine networks that regulate SERPINE1 transcription. Developmentally, PAI-1 expression increases during tissue repair and inflammatory responses, reflecting its role in controlled matrix turnover and immune regulation. Clone ABHG-19 recognizes Plasminogen activator inhibitor 1 and is suitable for detecting PAI-1 expression in relevant research applications.

Application Notes

Optimal dilution of the PAI-1/Plasminogen activator inhibitor 1 antibody should be determined by the researcher.

Immunogen

A synthetic peptide specific to human PAI1 / SERPINE1 was used as the immunogen for the PAI-1/Plasminogen activator inhibitor 1 antibody.

Storage

Store the PAI-1/Plasminogen activator inhibitor 1 antibody at -20oC.

Cross
Bulk Quote Request Form
Name*:
Organization*:
Email*:
Phone Number*:
Catalog No.*:
Comments and Specifics(amount, formulation, etc.)*:
Validation code: Captchapackage Image


Can't read the image? click here to refresh.
    *required field

Your bulk quote request has been submitted successfully!

Please contact us if you have any questions.