• Tel: 858.663.9055
  • SeparatorEmail: info@nsjbio.com
  • Tel: 858.663.9055
  • Email: info@nsjbio.com
Home >> Antibodies >> PADI3 Antibody / Protein-arginine deiminase type-3 / PAD3

PADI3 Antibody / Protein-arginine deiminase type-3 / PAD3 (RQ8633)

  Catalog No Formulation Size Price (USD)  
Image RQ8633 0.5mg/ml if reconstituted with 0.2ml sterile DI water 100 ug 449
Bulk quote request
Immunofluorescent staining of FFPE human HeLa cells with PADI3 antibody (green) and DAPI nuclear stain (blue). HIER: steam section in pH6 citrate buffer for 20 min.
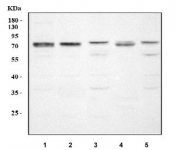
Western blot testing of 1) human RT4, 2) human A549, 3) rat C6, 4) mouse kidney and 5) mouse NIH 3T3 cell lysate with PADI3 antibody. Predicted molecular weight ~75 kDa.
Flow cytometry testing of fixed and permeabilized human SH-SY5Y cells with PADI3 antibody at 1ug/million cells (blocked with goat sera); Red=cells alone, Green=isotype control, Blue= PADI3 antibody.
Availability 1-3 days
Species Reactivity Human, Mouse, Rat
Format Antigen affinity purified
Host Rabbit
Clonality Polyclonal (rabbit origin)
Isotype Rabbit IgG
Purity Antigen affinity purified
Buffer Lyophilized from 1X PBS with 2% Trehalose
UniProt Q9ULW8
Localization Cytoplasm
Applications Western Blot : 0.5-1ug/ml
Immunofluorescence : 5ug/ml
Flow Cytometry : 1-3ug/million cells
ELISA : 0.1-0.5ug/ml
Limitations This PADI3 antibody is available for research use only.
Review this product on BioCompare and get a $20 Amazon gift card

Description

Peptidyl arginine deiminase, type III, also known as PADI3, is a protein which in humans is encoded by the PADI3 gene. This gene encodes a member of the peptidyl arginine deiminase family of enzymes, which catalyze the post-translational deimination of proteins by converting arginine residues into citrullines in the presence of calcium ions. The family members have distinct substrate specificities and tissue-specific expression patterns. The type III enzyme modulates hair structural proteins, such as filaggrin in the hair follicle and trichohyalin in the inner root sheath, during hair follicle formation. Together with the type I enzyme, this enzyme may also play a role in terminal differentiation of the epidermis. This gene exists in a cluster with four other paralogous genes.

Application Notes

Optimal dilution of the PADI3 antibody should be determined by the researcher.

Immunogen

An E.coli-derived human recombinant protein (amino acids E24-R557) was used as the immunogen for the PADI3 antibody.

Storage

After reconstitution, the PADI3 antibody can be stored for up to one month at 4oC. For long-term, aliquot and store at -20oC. Avoid repeated freezing and thawing.

Cross
Bulk Quote Request Form
Name*:
Organization*:
Email*:
Phone Number*:
Catalog No.*:
Comments and Specifics(amount, formulation, etc.)*:
Validation code: Captchapackage Image


Can't read the image? click here to refresh.
    *required field

Your bulk quote request has been submitted successfully!

Please contact us if you have any questions.