• Tel: 858.663.9055
  • SeparatorEmail: info@nsjbio.com
  • Tel: 858.663.9055
  • Email: info@nsjbio.com
Home >> Antibodies >> PACSIN1 Antibody / Protein kinase C and casein kinase substrate in neurons protein 1

PACSIN1 Antibody / Protein kinase C and casein kinase substrate in neurons protein 1 (FY12363)

  Catalog No Formulation Size Price (USD)  
Image FY12363 Adding 0.2 ml of distilled water will yield a concentration of 500 ug/ml 100 ug 449
Bulk quote request
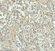
Immunohistochemical staining of PACSIN1 using anti-PACSIN1 antibody. PACSIN1 was detected in a paraffin-embedded section of human glioblastoma tissue. Heat mediated antigen retrieval was performed in EDTA buffer (pH 8.0, epitope retrieval solution). The tissue section was blocked with 10% goat serum. The tissue section was then incubated with 2 ug/ml rabbit anti-PACSIN1 antibody overnight at 4oC. Peroxidase Conjugated Goat Anti-rabbit IgG was used as secondary antibody and incubated for 30 minutes at 37oC. The tissue section was developed using an HRP secondary and DAB substrate.
Immunohistochemical staining of PACSIN1 using anti-PACSIN1 antibody. PACSIN1 was detected in a paraffin-embedded section of human glioblastoma tissue. Heat mediated antigen retrieval was performed in EDTA buffer (pH 8.0, epitope retrieval solution). The tissue section was blocked with 10% goat serum. The tissue section was then incubated with 2 ug/ml rabbit anti-PACSIN1 antibody overnight at 4oC. Peroxidase Conjugated Goat Anti-rabbit IgG was used as secondary antibody and incubated for 30 minutes at 37oC. The tissue section was developed using an HRP secondary and DAB substrate.
Western blot analysis of PACSIN1 using anti-PACSIN1 antibody. Lane 1: rat brain tissue lysates, Lane 2: mouse brain tissue lysates. After electrophoresis, proteins were transferred to a nitrocellulose membrane at 150 mA for 50-90 minutes. Blocked the membrane with 5% non-fat milk/TBS for 1.5 hour at RT. The membrane was incubated with rabbit anti-PACSIN1 antibody at 0.5 ug/ml overnight at 4oC, then washed with TBS-0.1%Tween 3 times with 5 minutes each and probed with a goat anti-rabbit IgG-HRP secondary antibody at a dilution of 1:5000 for 1.5 hour at RT. The signal was developed using enhanced chemiluminescent. The expected molecular weight of PACSIN1 is ~50 kDa.
Immunohistochemical staining of PACSIN1 using anti-PACSIN1 antibody. PACSIN1 was detected in a paraffin-embedded section of mouse brain tissue. Heat mediated antigen retrieval was performed in EDTA buffer (pH 8.0, epitope retrieval solution). The tissue section was blocked with 10% goat serum. The tissue section was then incubated with 2 ug/ml rabbit anti-PACSIN1 antibody overnight at 4oC. Peroxidase Conjugated Goat Anti-rabbit IgG was used as secondary antibody and incubated for 30 minutes at 37oC. The tissue section was developed using an HRP secondary and DAB substrate.
Immunohistochemical staining of PACSIN1 using anti-PACSIN1 antibody. PACSIN1 was detected in a paraffin-embedded section of mouse brain tissue. Heat mediated antigen retrieval was performed in EDTA buffer (pH 8.0, epitope retrieval solution). The tissue section was blocked with 10% goat serum. The tissue section was then incubated with 2 ug/ml rabbit anti-PACSIN1 antibody overnight at 4oC. Peroxidase Conjugated Goat Anti-rabbit IgG was used as secondary antibody and incubated for 30 minutes at 37oC. The tissue section was developed using an HRP secondary and DAB substrate.
Immunohistochemical staining of PACSIN1 using anti-PACSIN1 antibody. PACSIN1 was detected in a paraffin-embedded section of rat brain tissue. Heat mediated antigen retrieval was performed in EDTA buffer (pH 8.0, epitope retrieval solution). The tissue section was blocked with 10% goat serum. The tissue section was then incubated with 2 ug/ml rabbit anti-PACSIN1 antibody overnight at 4oC. Peroxidase Conjugated Goat Anti-rabbit IgG was used as secondary antibody and incubated for 30 minutes at 37oC. The tissue section was developed using an HRP secondary and DAB substrate.
Immunohistochemical staining of PACSIN1 using anti-PACSIN1 antibody. PACSIN1 was detected in a paraffin-embedded section of rat brain tissue. Heat mediated antigen retrieval was performed in EDTA buffer (pH 8.0, epitope retrieval solution). The tissue section was blocked with 10% goat serum. The tissue section was then incubated with 2 ug/ml rabbit anti-PACSIN1 antibody overnight at 4oC. Peroxidase Conjugated Goat Anti-rabbit IgG was used as secondary antibody and incubated for 30 minutes at 37oC. The tissue section was developed using an HRP secondary and DAB substrate.
Immunofluorescent staining of PACSIN1 using anti-PACSIN1 antibody (red) and anti-Beta Tubulin antibody (green). PACSIN1 was detected in immunocytochemical section of U2OS cell. Enzyme antigen retrieval was performed using IHC enzyme antigen retrieval reagent for 15 mins. The cells were blocked with 10% goat serum. And then incubated with 5 ug/ml rabbit anti-PACSIN1 antibody and mouse anti-Beta Tubulin antibody overnight at 4oC. Cy3 Conjugated Goat Anti-Rabbit IgG and FITC Conjugated Goat Anti-Mouse IgG were used as secondary antibody at 1:500 dilution and incubated for 30 minutes at 37oC. Visualize using a fluorescence microscope and filter sets appropriate for the label used.
Flow Cytometry analysis of JK cells using anti-PACSIN1 antibody. Overlay histogram showing JK cells stained with (Blue line). To facilitate intracellular staining, cells were fixed with 4% paraformaldehyde and permeabilized with permeabilization buffer. The cells were blocked with 10% normal goat serum. And then incubated with rabbit anti-PACSIN1 antibody (1 ug/million cells) for 30 min at 20oC. DyLight 488 conjugated goat anti-rabbit IgG (5-10 ug/million cells) was used as secondary antibody for 30 minutes at 20oC. Isotype control antibody (Green line) was rabbit IgG (1 ug/million cells) used under the same conditions. Unlabelled sample (Red line) was also used as a control.
Flow Cytometry analysis of K562 cells using anti-PACSIN1 antibody. Overlay histogram showing K562 cells stained with (Blue line). To facilitate intracellular staining, cells were fixed with 4% paraformaldehyde and permeabilized with permeabilization buffer. The cells were blocked with 10% normal goat serum. And then incubated with rabbit anti-PACSIN1 antibody (1 ug/million cells) for 30 min at 20oC. DyLight 488 conjugated goat anti-rabbit IgG (5-10 ug/million cells) was used as secondary antibody for 30 minutes at 20oC. Isotype control antibody (Green line) was rabbit IgG (1 ug/million cells) used under the same conditions. Unlabelled sample (Red line) was also used as a control.
Availability 1-2 days
Species Reactivity Human, Mouse, Rat
Format Lyophilized
Host Rabbit
Clonality Polyclonal (rabbit origin)
Isotype Rabbit IgG
Purity Immunogen affinity purified
Buffer Each vial contains 4 mg Trehalose, 0.9 mg NaCl, 0.2 mg Na2HPO4.
UniProt Q9BY11
Localization Cytoplasm
Applications Western Blot : 0.25-0.5ug/ml
Immunohistochemistry : 2-5ug/ml
Immunocytochemistry : 5ug/ml
Immunofluorescence : 5ug/ml
Flow Cytometry : 1-3ug/million cells
ELISA : 0.1-0.5ug/ml
Limitations This PACSIN1 antibody is available for research use only.
Review this product on BioCompare and get a $20 Amazon gift card

Related Products

  • Applications : WB, IHC-P, ELISA (peptide)
    Reactivity : Human
    Pred. Reactivity : Dog, Pig, Cow
  • Applications : WB, IHC-P
    Reactivity : Human, Mouse, Rat

Description

The PACSIN1 antibody targets Protein kinase C and casein kinase substrate in neurons protein 1, a cytoplasmic protein encoded by the PACSIN1 gene. PACSIN1 belongs to the PACSIN family of F-BAR domain-containing proteins that regulate membrane curvature, endocytosis, and actin cytoskeleton remodeling. Expressed predominantly in neurons, this protein participates in synaptic vesicle recycling and the formation of dendritic spines. The PACSIN1 antibody is a key reagent for exploring how membrane trafficking and cytoskeletal dynamics shape synaptic function and neural connectivity.

Protein kinase C and casein kinase substrate in neurons protein 1 contains an F-BAR domain that binds curved membranes and an SH3 domain that interacts with dynamin and synaptojanin. Through these interactions, PACSIN1 supports the fission of clathrin-coated vesicles during endocytosis. The PACSIN1 antibody allows detection of this neuronal scaffold protein in both cultured neurons and brain tissues, providing valuable insights into the molecular mechanisms of synaptic vesicle retrieval and recycling.

PACSIN1 is essential for maintaining proper synaptic transmission and plasticity. Its loss disrupts vesicle endocytosis and actin dynamics, leading to impaired neuronal signaling. The PACSIN1 antibody enables researchers to examine protein expression and distribution across different brain regions, supporting studies of neurotransmission and dendritic spine architecture. It also helps identify post-translational modifications, such as phosphorylation by casein kinase and protein kinase C, that regulate its membrane association and function.

In addition to synaptic processes, Protein kinase C and casein kinase substrate in neurons protein 1 has roles in endocytic trafficking in non-neuronal cells and participates in receptor internalization and signaling. Altered expression or mutation of PACSIN1 has been associated with neurological disorders including schizophrenia and neurodevelopmental delay, possibly through disrupted endocytic signaling and synaptic connectivity. The PACSIN1 antibody provides a means to analyze such pathophysiological changes at the protein level.

Experimental applications for the PACSIN1 antibody include western blotting, immunofluorescence, and immunohistochemistry, where it reveals strong neuronal and synaptic staining. NSJ Bioreagents provides this antibody with validated specificity and consistency, ensuring reliable detection of Protein kinase C and casein kinase substrate in neurons protein 1. By supporting studies of synaptic organization, endocytosis, and neuronal plasticity, the PACSIN1 antibody is a critical reagent for advancing understanding of brain signaling and structural regulation.

Application Notes

Optimal dilution of the PACSIN1 antibody should be determined by the researcher.

Immunogen

E.coli-derived human PACSIN1 recombinant protein (Position: Q76-E359) was used as the immunogen for the PACSIN1 antibody.

Storage

After reconstitution, the PACSIN1 antibody can be stored for up to one month at 4oC. For long-term, aliquot and store at -20oC. Avoid repeated freezing and thawing.

Cross
Bulk Quote Request Form
Name*:
Organization*:
Email*:
Phone Number*:
Catalog No.*:
Comments and Specifics(amount, formulation, etc.)*:
Validation code: Captchapackage Image


Can't read the image? click here to refresh.
    *required field

Your bulk quote request has been submitted successfully!

Please contact us if you have any questions.