• Tel: 858.663.9055
  • SeparatorEmail: info@nsjbio.com
  • Tel: 858.663.9055
  • Email: info@nsjbio.com
Home >> Antibodies >> PABPN1 Antibody / Polyadenylate-binding protein 2

PABPN1 Antibody / Polyadenylate-binding protein 2 (FY12099)

  Catalog No Formulation Size Price (USD)  
Image FY12099 Adding 0.2 ml of distilled water will yield a concentration of 500 ug/ml 100 ug 449
Bulk quote request
Immunofluorescent staining of PABPN1 using anti-PABPN1 antibody (red). PABPN1 was detected in a paraffin-embedded section of human colon cancer tissue. Heat mediated antigen retrieval was performed in EDTA buffer (pH 8.0, epitope retrieval solution). The tissue section was blocked with 10% goat serum. The tissue section was then incubated with 5 ug/ml rabbit anti-PABPN1 antibody overnight at 4oC. Cy3 Conjugated Goat Anti-Rabbit IgG was used as secondary antibody at 1:500 dilution and incubated for 30 minutes at 37oC. The section was counterstained with DAPI (blue). Visualize using a fluorescence microscope and filter sets appropriate for the label used.
Immunofluorescent staining of PABPN1 using anti-PABPN1 antibody (red). PABPN1 was detected in a paraffin-embedded section of human testis tissue. Heat mediated antigen retrieval was performed in EDTA buffer (pH 8.0, epitope retrieval solution). The tissue section was blocked with 10% goat serum. The tissue section was then incubated with 5 ug/ml rabbit anti-PABPN1 antibody overnight at 4oC. Cy3 Conjugated Goat Anti-Rabbit IgG was used as secondary antibody at 1:500 dilution and incubated for 30 minutes at 37oC. The section was counterstained with DAPI (blue). Visualize using a fluorescence microscope and filter sets appropriate for the label used.
Immunofluorescent staining of PABPN1 using anti-PABPN1 antibody (red). PABPN1 was detected in a paraffin-embedded section of mouse brain tissue. Heat mediated antigen retrieval was performed in EDTA buffer (pH 8.0, epitope retrieval solution). The tissue section was blocked with 10% goat serum. The tissue section was then incubated with 5 ug/ml rabbit anti-PABPN1 antibody overnight at 4oC. Cy3 Conjugated Goat Anti-Rabbit IgG was used as secondary antibody at 1:500 dilution and incubated for 30 minutes at 37oC. The section was counterstained with DAPI (blue). Visualize using a fluorescence microscope and filter sets appropriate for the label used.
Immunofluorescent staining of PABPN1 using anti-PABPN1 antibody (red). PABPN1 was detected in a paraffin-embedded section of mouse brain tissue. Heat mediated antigen retrieval was performed in EDTA buffer (pH 8.0, epitope retrieval solution). The tissue section was blocked with 10% goat serum. The tissue section was then incubated with 5 ug/ml rabbit anti-PABPN1 antibody overnight at 4oC. Cy3 Conjugated Goat Anti-Rabbit IgG was used as secondary antibody at 1:500 dilution and incubated for 30 minutes at 37oC. The section was counterstained with DAPI (blue). Visualize using a fluorescence microscope and filter sets appropriate for the label used.
Immunofluorescent staining of PABPN1 using anti-PABPN1 antibody (red). PABPN1 was detected in a paraffin-embedded section of rat brain tissue. Heat mediated antigen retrieval was performed in EDTA buffer (pH 8.0, epitope retrieval solution). The tissue section was blocked with 10% goat serum. The tissue section was then incubated with 5 ug/ml rabbit anti-PABPN1 antibody overnight at 4oC. Cy3 Conjugated Goat Anti-Rabbit IgG was used as secondary antibody at 1:500 dilution and incubated for 30 minutes at 37oC. The section was counterstained with DAPI. Visualize using a fluorescence microscope and filter sets appropriate for the label used.
Immunofluorescent staining of PABPN1 using anti-PABPN1 antibody (red). PABPN1 was detected in a paraffin-embedded section of rat brain tissue. Heat mediated antigen retrieval was performed in EDTA buffer (pH 8.0, epitope retrieval solution). The tissue section was blocked with 10% goat serum. The tissue section was then incubated with 5 ug/ml rabbit anti-PABPN1 antibody overnight at 4oC. Cy3 Conjugated Goat Anti-Rabbit IgG was used as secondary antibody at 1:500 dilution and incubated for 30 minutes at 37oC. The section was counterstained with DAPI (blue). Visualize using a fluorescence microscope and filter sets appropriate for the label used.
Immunofluorescent staining of PABPN1 using anti-PABPN1 antibody (green) and anti-Beta Tubulin antibody (red). PABPN1 was detected in an immunocytochemical section of HELA cells. Enzyme antigen retrieval was performed using IHC enzyme antigen retrieval reagent for 15 mins. The cells were blocked with 10% goat serum. And then incubated with 5 ug/ml rabbit anti-PABPN1 antibody and mouse anti-Beta Tubulin antibody overnight at 4oC. DyLight 488 Conjugated Goat Anti-Rabbit IgG and Cy3 Conjugated Goat Anti-Mouse IgG were used as secondary antibody at 1:500 dilution and incubated for 30 minutes at 37oC. Visualize using a fluorescence microscope and filter sets appropriate for the label used.
Western blot analysis of PABPN1 using anti-PABPN1 antibody. Electrophoresis was performed on a 10% SDS-PAGE gel at 80V (Stacking gel) / 120V (Resolving gel) for 2 hours. Lane 1: human HepG2 whole cell lysates, Lane 2: human RT4 whole cell lysates, Lane 3: human THP-1 whole cell lysates, Lane 4: human MCF-7 whole cell lysates, Lane 5: rat C6 whole cell lysates, Lane 6: rat brain tissue lysates, Lane 7: mouse brain tissue lysates, Lane 8: mouse Neuro-2a whole cell lysates. After electrophoresis, proteins were transferred to a nitrocellulose membrane at 150 mA for 50-90 minutes. Blocked the membrane with 5% non-fat milk/TBS for 1.5 hour at RT. The membrane was incubated with rabbit anti-PABPN1 antibody at 0.5 ug/ml overnight at 4oC, then washed with TBS-0.1%Tween 3 times with 5 minutes each and probed with a goat anti-rabbit IgG-HRP secondary antibody at a dilution of 1:5000 for 1.5 hour at RT. The signal was developed using an ECL Plus Western Blotting Substrate. The expected band size for PABPN1 is at 33 kDa but the protein is commonly observed at ~50 kDa due to its acidic, low-SDS-binding N-terminus and arginine-rich C-terminus.
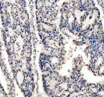
IHC analysis of PABPN1 using anti-PABPN1 antibody. PABPN1 was detected in a paraffin-embedded section of human colon cancer tissue. Heat mediated antigen retrieval was performed in EDTA buffer (pH 8.0, epitope retrieval solution). The tissue section was blocked with 10% goat serum. The tissue section was then incubated with 2 ug/ml rabbit anti-PABPN1 antibody overnight at 4oC. Peroxidase Conjugated Goat Anti-rabbit IgG was used as secondary antibody and incubated for 30 minutes at 37oC. The tissue section was developed using an HRP secondary and DAB substrate.
IHC analysis of PABPN1 using anti-PABPN1 antibody. PABPN1 was detected in a paraffin-embedded section of human testis tissue. Heat mediated antigen retrieval was performed in EDTA buffer (pH 8.0, epitope retrieval solution). The tissue section was blocked with 10% goat serum. The tissue section was then incubated with 2 ug/ml rabbit anti-PABPN1 antibody overnight at 4oC. Peroxidase Conjugated Goat Anti-rabbit IgG was used as secondary antibody and incubated for 30 minutes at 37oC. The tissue section was developed using an HRP secondary and DAB substrate.
Availability 1-2 days
Species Reactivity Human, Mouse, Rat
Format Lyophilized
Host Rabbit
Clonality Polyclonal (rabbit origin)
Isotype Rabbit IgG
Purity Immunogen affinity purified
Buffer Each vial contains 4 mg Trehalose, 0.9 mg NaCl, 0.2 mg Na2HPO4.
UniProt Q86U42
Applications Western Blot : 0.25-0.5ug/ml
Immunohistochemistry : 2-5ug/ml
Immunofluorescence : 5ug/ml
Immunocytochemistry/Immunofluorescence : 5ug/ml
Immunoprecipitation : 2-4ug/500ug of lysate
Flow Cytometry : 1-3ug/million cells
Limitations This PABPN1 antibody is available for research use only.
Review this product on BioCompare and get a $20 Amazon gift card

Related Products

Description

PABPN1 antibody detects Polyadenylate-binding protein 2, encoded by the PABPN1 gene. Polyadenylate-binding protein 2 is a nuclear protein that binds to the poly(A) tail of RNA and regulates mRNA processing, stability, and translation. PABPN1 antibody provides researchers with a critical reagent for studying RNA metabolism, gene expression, and human disease associated with RNA dysregulation.

Polyadenylate-binding protein 2 is essential for the regulation of poly(A) tail length and stability of nuclear transcripts. Research using PABPN1 antibody has shown that it stimulates poly(A) polymerase activity and ensures that poly(A) tails reach optimal length for nuclear export and translation. By binding RNA, PABPN1 prevents premature deadenylation and degradation, thereby safeguarding mRNA function.

Studies with PABPN1 antibody have revealed that mutations in PABPN1 cause oculopharyngeal muscular dystrophy, a late-onset muscle disorder characterized by progressive weakness of eyelid, pharyngeal, and proximal limb muscles. The disease results from short expansions of a GCN trinucleotide repeat in the gene, which cause protein aggregation and dysfunction. This clinical connection underscores the importance of PABPN1 in human health.

Beyond muscular dystrophy, research using PABPN1 antibody has shown that the protein regulates alternative polyadenylation, influencing transcript diversity and gene expression patterns. Dysregulation of polyadenylation contributes to cancer, neurodegeneration, and developmental disorders, making PABPN1 a key factor in RNA biology.

PABPN1 antibody is widely applied in western blotting, immunohistochemistry, and RNA immunoprecipitation. Western blotting quantifies protein levels in muscle and brain tissue, immunohistochemistry demonstrates nuclear localization, and RNA immunoprecipitation identifies target transcripts. These applications make PABPN1 antibody indispensable for RNA processing research.

By providing validated PABPN1 antibody reagents, NSJ Bioreagents supports studies into polyadenylation, muscular dystrophy, and RNA regulation. Detection of Polyadenylate-binding protein 2 provides researchers with insight into how nuclear RNA-binding proteins regulate transcript stability and disease.

Application Notes

Optimal dilution of the PABPN1 antibody should be determined by the researcher.

Immunogen

A synthetic peptide corresponding to a sequence in the middle region of human PABPN1 was used as the immunogen for the PABPN1 antibody.

Storage

After reconstitution, the PABPN1 antibody can be stored for up to one month at 4oC. For long-term, aliquot and store at -20oC. Avoid repeated freezing and thawing.

Cross
Bulk Quote Request Form
Name*:
Organization*:
Email*:
Phone Number*:
Catalog No.*:
Comments and Specifics(amount, formulation, etc.)*:
Validation code: Captchapackage Image


Can't read the image? click here to refresh.
    *required field

Your bulk quote request has been submitted successfully!

Please contact us if you have any questions.