• Tel: 858.663.9055
  • SeparatorEmail: info@nsjbio.com
  • Tel: 858.663.9055
  • Email: info@nsjbio.com
Home >> Antibodies >> p75NTR Antibody / NGF Receptor / CD271

p75NTR Antibody / NGF Receptor / CD271 [clone DBO-14] (RQ5203)

  Catalog No Formulation Size Price (USD)  
Image RQ5203 Antibody in PBS with 0.02% sodium azide, 50% glycerol and 0.4-0.5mg/ml BSA 100 ul 449
Microvalidated Rab Mono Image
Bulk quote request
Western blot testing of rat 1) C6 and 2) PC-12 cell lysate with p75NTR antibody. Expected molecular weight: 45-75 kDa depending on glycosylation level.
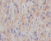
IHC staining of FFPE human glioma with p75NTR antibody. HIER: boil tissue sections in pH6, 10mM citrate buffer, for 10-20 min and allow to cool before testing.
Availability 1-2 weeks
Species Reactivity Human, Rat
Format Purified
Host Rabbit
Clonality Rabbit Monoclonal
Isotype Rabbit IgG
Clone Name DBO-14
Purity Affinity purified
UniProt P08138
Applications Western Blot : 1:10000-1:20000
Immunohistochemistry (FFPE) : 1:50-1:200
Limitations This p75NTR antibody is available for research use only.
Review this product on BioCompare and get a $20 Amazon gift card

Related Products

Application Notes

Optimal dilution of the p75NTR antibody should be determined by the researcher.

Immunogen

A synthetic peptide specific to human NGF Receptor / p75NTR / CD271 was used as the immunogen for the p75NTR antibody.

Storage

Store the p75NTR antibody at -20oC.

Cross
Bulk Quote Request Form
Name*:
Organization*:
Email*:
Phone Number*:
Catalog No.*:
Comments and Specifics(amount, formulation, etc.)*:
Validation code: Captchapackage Image


Can't read the image? click here to refresh.
    *required field

Your bulk quote request has been submitted successfully!

Please contact us if you have any questions.