• Tel: 858.663.9055
  • SeparatorEmail: info@nsjbio.com
  • Tel: 858.663.9055
  • Email: info@nsjbio.com
Home >> Antibodies >> p70S6K Antibody

p70S6K Antibody (F48468)

  Catalog No Formulation Size Price (USD)  
Image F48468-0.2ML In 1X PBS, pH 7.4, with 0.09% sodium azide 0.2 ml 439
Image
F48468-0.05ML In 1X PBS, pH 7.4, with 0.09% sodium azide 0.05 ml 205
Bulk quote request
Western blot analysis of p70S6K antibody and TNF alpha activated HeLa lysate; both phospho and non-phos S6K can be detected with this Ab. Predicted molecular weight: 60-70 kDa
Western blot analysis of p70S6K antibody and 293 cell lysate (2 ug/lane) either nontransfected (Lane 1) or transiently transfected with the RPS6KB1 gene (2).
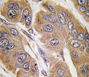
IHC analysis of FFPE human breast carcinoma tissue stained with p70S6K antibody
Availability 1-3 business days
Species Reactivity Human
Predicted Reactivity Bovine, Mouse, Rabbit, Rat
Format Antigen affinity purified
Host Rabbit
Clonality Polyclonal (rabbit origin)
Isotype Rabbit Ig
Purity Antigen affinity
UniProt P23443
Applications Western Blot : 1:1000
IHC (Paraffin) : 1:10-1:50
Limitations This p70S6K antibody is available for research use only.
Review this product on BioCompare and get a $20 Amazon gift card

Related Products

Description

RPS6kB1 is a serine/threonine-protein kinase that acts downstream of mTOR signaling in response to growth factors and nutrients to promote cell proliferation, cell growth and cell cycle progression. Regulates protein synthesis through phosphorylation of EIF4B, RPS6 and EEF2K, and contributes to cell survival by repressing the pro-apoptotic function of BAD. Under conditions of nutrient depletion, the inactive form associates with the EIF3 translation initiation complex. Upon mitogenic stimulation, phosphorylation by the mammalian target of rapamycin complex 1 (mTORC1) leads to dissociation from the EIF3 complex and activation. The active form then phosphorylates and activates several substrates in the pre-initiation complex, including the EIF2B complex and the cap-binding complex component EIF4B. [UniProt]

Application Notes

The stated application concentrations are suggested starting amounts. Titration of the p70S6K antibody may be required due to differences in protocols and secondary/substrate sensitivity.

Immunogen

A portion of amino acids 425-454 from human RPS6KB1 was used as the immunogen for this p70S6K antibody.

Storage

Aliquot the p70S6K antibody and store frozen at -20oC or colder. Avoid repeated freeze-thaw cycles.

Cross
Bulk Quote Request Form
Name*:
Organization*:
Email*:
Phone Number*:
Catalog No.*:
Comments and Specifics(amount, formulation, etc.)*:
Validation code: Captchapackage Image


Can't read the image? click here to refresh.
    *required field

Your bulk quote request has been submitted successfully!

Please contact us if you have any questions.