• Tel: 858.663.9055
  • SeparatorEmail: info@nsjbio.com
  • Tel: 858.663.9055
  • Email: info@nsjbio.com
Home >> Antibodies >> p63 Antibody / Prostate Basal Cell Marker Antibody

p63 Antibody / Prostate Basal Cell Marker Antibody [clone rP40/8765] (V5026)

  Catalog No Formulation Size Price (USD)  
Image V5026-100UG 0.2 mg/ml in 1X PBS with 0.1 mg/ml BSA (US sourced), 0.05% sodium azide 100 ug 559
Image
V5026-20UG 0.2 mg/ml in 1X PBS with 0.1 mg/ml BSA (US sourced), 0.05% sodium azide 20 ug 259
Image
V5026SAF-100UG 1 mg/ml in 1X PBS; BSA free, sodium azide free 100 ug 559
Microvalidated Recmousemono
Bulk quote request
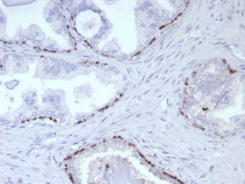
p63 Antibody. Immunohistochemistry analysis of Tumor protein 63 (TP63) in FFPE human prostate cancer tissue using a p63 antibody as a prostate basal cell marker (clone rP40/8765) demonstrates sparse HRP-DAB brown nuclear staining in scattered basal-like cells, while the majority of malignant glandular epithelial cells are negative. The staining is discontinuous and limited, reflecting loss of the basal cell layer that is characteristic of prostate adenocarcinoma. Residual TP63-positive nuclei highlight rare basal or progenitor-associated cells at the periphery of glandular structures. The nuclear-restricted signal and clear absence of staining in tumor cells support the role of TP63 as a marker of basal cell integrity in prostate tissue. Heat-induced epitope retrieval was performed by boiling tissue sections in pH 9 10mM Tris with 1mM EDTA for 20 minutes followed by cooling prior to antibody incubation.
SDS-PAGE analysis of purified, BSA-free p63 Antibody / Prostate Basal Cell Marker Antibody (clone rP40/8765) as confirmation of integrity and purity.
Availability 1-3 business days
Species Reactivity Human
Format Purified
Host Mouse
Clonality Recombinant Mouse Monoclonal
Isotype Mouse IgG2a, kappa
Clone Name rP40/8765
Purity Protein A affinity
UniProt Q9H3D4
Localization Nucleus
Applications Immunohistochemistry (FFPE) : 1-2ug/ml for 30 min at RT
Limitations This p63 antibody is available for research use only.
Review this product on BioCompare and get a $20 Amazon gift card

Related Products

Description

Tumor protein 63 (TP63) is a nuclear transcription factor of the p53 family that is essential for maintenance of basal epithelial cells in glandular tissues, including the prostate. p63 Antibody is widely used as a prostate basal cell marker antibody for identifying basal cell layers in prostate glands, where nuclear TP63 expression provides a critical indicator of glandular integrity and epithelial organization.

p63 antibody, also known as TP63 antibody or Tumor protein 63 antibody in the literature, is strongly expressed in basal cells of benign prostate glands. As a prostate basal cell marker antibody, p63 produces distinct nuclear staining confined to the basal cell layer, while luminal secretory cells remain negative. This creates a well-defined staining pattern that outlines glandular structures and supports clear interpretation of tissue architecture.

The prostate-specific differentiator is particularly powerful in IHC-based studies, where the presence or absence of basal cells is a defining feature of glandular pathology. p63 Antibody highlights intact basal cell layers in benign glands, while prostate adenocarcinoma typically lacks this basal layer and shows little to no TP63 staining. This contrast provides a direct visual indicator of malignant transformation and is highly informative for tissue-based analysis.

TP63 isoforms, particularly deltaNp63, are associated with basal epithelial cell maintenance and contribute to the regulation of proliferation and differentiation in prostate tissue. Nuclear localization of p63 reflects its role in preserving basal cell identity and epithelial structure.

In research applications, p63 Antibody (clone rP40/8765) enables detailed evaluation of prostate gland organization, identification of basal versus luminal compartments, and assessment of epithelial integrity in both normal and disease states. The clear nuclear staining pattern allows confident interpretation even in heterogeneous tissue samples.

Tumor protein 63 antibody serves as a key marker for prostate basal cells, supporting studies of glandular biology, epithelial differentiation, and prostate cancer progression through precise and interpretable nuclear staining.

Application Notes

Optimal dilution of the p63 Antibody / Prostate Basal Cell Marker Antibody should be determined by the researcher.

Immunogen

A recombinant partial protein sequence (within amino acids 1-200) from the human protein was used as the immunogen for the p63 Antibody / Prostate Basal Cell Marker Antibody.

Storage

Aliquot the p63 antibody and store frozen at -20oC or colder. Avoid repeated freeze-thaw cycles.

Alternate Names

p63 prostate basal cell antibody, TP63 prostate marker antibody, Tumor protein 63 prostate gland antibody, p63 prostate epithelial marker antibody

Cross
Bulk Quote Request Form
Name*:
Organization*:
Email*:
Phone Number*:
Catalog No.*:
Comments and Specifics(amount, formulation, etc.)*:
Validation code: Captchapackage Image


Can't read the image? click here to refresh.
    *required field

Your bulk quote request has been submitted successfully!

Please contact us if you have any questions.