• Tel: 858.663.9055
  • SeparatorEmail: info@nsjbio.com
  • Tel: 858.663.9055
  • Email: info@nsjbio.com
Home >> Antibodies >> p62 Antibody / SQSTM1

p62 Antibody / SQSTM1 (RQ4675)

  Catalog No Formulation Size Price (USD)  
Image RQ4675 0.5mg/ml if reconstituted with 0.2ml sterile DI water 100 ug 449
Bulk quote request
Immunofluorescent staining of human lung cancer tissue with p62 antibody (red) at 1ug/ml and DAPI counterstain. HIER: boil tissue sections in pH6, 10mM citrate buffer, for 10-20 min and allow to cool before testing.
Immunofluorescent staining of human A431 cells with p62 antibody (green) at 2ug/ml and DAPI counterstain. HIER: boil tissue sections in pH6, 10mM citrate buffer, for 10-20 min and allow to cool before testing.
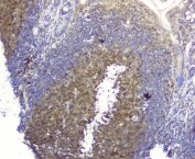
IHC testing of FFPE human intestinal cancer wtih p62 antibody. HIER: Boil the paraffin sections in pH 6, 10mM citrate buffer for 20 minutes and allow to cool prior to staining.
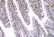
IHC testing of FFPE mouse small intestine with p62 antibody. HIER: Boil the paraffin sections in pH 6, 10mM citrate buffer for 20 minutes and allow to cool prior to staining.
Immunocytochemical staining of human A549 cells with p62 antibody at 1ug/ml.
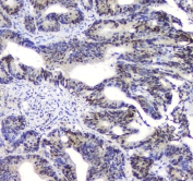
IHC testing of FFPE rat small intestine with p62 antibody. HIER: Boil the paraffin sections in pH 6, 10mM citrate buffer for 20 minutes and allow to cool prior to staining.
IHC testing of frozen human placental tissue with p62 antibody.
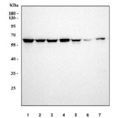
Western blot testing of 1) human HeLa, 2) human 293T, 3) human MCF7, 4) human Jurkat, 5) rat liver, 6) rat brain and 7) mouse liver tissue lysate with p62 antibody. Expected molecular weight: 47-62 kDa.
Availability 1-3 business days
Species Reactivity Human, Mouse, Rat
Format Antigen affinity purified
Host Rabbit
Clonality Polyclonal (rabbit origin)
Isotype Rabbit IgG
Purity Antigen affinity
Buffer Lyophilized from 1X PBS with 2% Trehalose and 0.025% sodium azide
UniProt Q13501
Localization Cytoplasmic, membranous, nuclear
Applications Immunohistochemistry (FFPE And Frozen) : 1-2ug/ml
Immunofluorescence : 2-4ug/ml
Immunocytochemistry : 1-2ug/ml
Western Blot : 0.5-1ug/ml
Limitations This p62 antibody is available for research use only.
Review this product on BioCompare and get a $20 Amazon gift card

Related Products

  • Applications : WB, ELISA
    Reactivity : Human
  • Applications : WB, IHC-P, IF, FACS
    Reactivity : Human, Mouse, Rat
  • Applications : WB, IHC-P, ICC, IF, FACS
    Reactivity : Human, Mouse, Rat
  • Applications : DB, ELISA
    Reactivity : Human
  • Applications : DB, ELISA
    Reactivity : Human
    Pred. Reactivity : Mouse, Rat
  • Applications : WB, IF, IHC, ELISA
    Reactivity : Human, African Green Monkey
    Pred. Reactivity : Mouse, Rat
  • Applications : WB, ELISA
    Reactivity : Human
    Pred. Reactivity : Mouse, Rat

Description

SQSTM1 (Sequestosome-1), also known as Ubiquitin-Binding Protein P62 or P62, is a protein that in humans is encoded by the SQSTM1 gene. The Src homology type 2 (SH2) domain is a highly conserved motif of about 100 amino acids which mediates protein-protein interactions by binding to phosphotyrosine.p56-lck, a T-cell-specific src family tyrosine kinase with an SH2 domain, is involved in T-cell signal transduction. The International Radiation Hybrid Mapping Consortium mapped the p62 gene to chromosome 5q35. Park et al. (1995) found that the p56-lck SH2 domain binds to p62 at the ser59 of p62 only when that serine is phosphorylated. Joung et al. (1996) expressed epitope-tagged p62 in Hela cells and showed that the expressed protein bound to the lck SH2 domain and that this binding was dependent on the N-terminal 50 amino acids of p62 but not on the tyrosine residue in this region.

Application Notes

Optimal dilution of the p62 antibody should be determined by the researcher.

Immunogen

Amino acids DEDGDLVAFSSDEELTMAMSYVKDDIFR of human p62 were used as the immunogen for the p62 antibody.

Storage

After reconstitution, the p62 antibody can be stored for up to one month at 4oC. For long-term, aliquot and store at -20oC. Avoid repeated freezing and thawing.

Cross
Bulk Quote Request Form
Name*:
Organization*:
Email*:
Phone Number*:
Catalog No.*:
Comments and Specifics(amount, formulation, etc.)*:
Validation code: Captchapackage Image


Can't read the image? click here to refresh.
    *required field

Your bulk quote request has been submitted successfully!

Please contact us if you have any questions.