• Tel: 858.663.9055
  • SeparatorEmail: info@nsjbio.com
  • Tel: 858.663.9055
  • Email: info@nsjbio.com
Home >> Antibodies >> p62 Antibody

p62 Antibody (F48010)

  Catalog No Formulation Size Price (USD)  
Image F48010-0.4ML In 1X PBS, pH 7.4, with 0.09% sodium azide 0.4 ml 439
Image
F48010-0.08ML In 1X PBS, pH 7.4, with 0.09% sodium azide 0.08 ml 205
Bulk quote request
Western blot testing of p62 antibody at 1:500 dilution + HeLa lysate; Predicted band size : 47~62 kDa.
Fluorescent image of U251 cells stained with p62 antibody at 1:200. Immunoreactivity is localized to autophagic vacuoles in the cytoplasm.
Western blot analysis of p62 antibody pre-incubated without (Lane 1) and with (2) blocking peptide in MCF-7 lysate
Western blot analysis of p6 antibody and 293 cell lysate (2 ug/lane) either nontransfected (Lane 1) or transiently transfected with the SQSTM1/p62 gene (2).
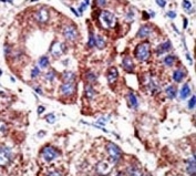
IHC analysis of FFPE human hepatocarcinoma tissue stained with the p62 antibody
Immunofluorescence staining of p62 antibody on Methanol-fixed and PFA fixed HeLa cells. Data courtesy of Dr. Eeva-Liisa Eskelinen, University of Helsinki, Finland.
Availability 1-3 business days
Species Reactivity Human, African Green Monkey
Predicted Reactivity Mouse, Rat
Format Antigen affinity purified
Host Rabbit
Clonality Polyclonal (rabbit origin)
Isotype Rabbit Ig
Purity Antigen affinity
UniProt Q13501
Applications Western Blot : 1:1000
IHC (Paraffin) : 1:50-1:100
Immunofluorescence : 1:50-1:100
Limitations This p62 antibody is available for research use only.
Review this product on BioCompare and get a $20 Amazon gift card

Related Products

Description

SQSTM1/p62 is an adapter protein which binds ubiquitin and may regulate the activation of NFKB1 by TNF-alpha, nerve growth factor (NGF) and interleukin-1. This protein may play a role in titin/TTN downstream signaling in muscle cells, and may also regulate signaling cascades through ubiquitination. This protein is involved in cell differentiation, apoptosis, immune response and regulation of K(+) channels. SQSTM1/p62 also appears to play a role in macroautophagic removal of intracellular protein aggregates. Cellular depletion studies of SQSTM1/p62 have indicated a role for association with LC3 and aggregate proteins in order to facilitate normal formation of the autophagosome.

Application Notes

Titration of the p62 antibody may be required due to differences in protocols and secondary/substrate sensitivity.

Immunogen

A portion of amino acids 317-346 from the human protein was used as the immunogen for this p62 antibody.

Storage

Aliquot the p62 antibody and store frozen at -20oC or colder. Avoid repeated freeze-thaw cycles.

Cross
Bulk Quote Request Form
Name*:
Organization*:
Email*:
Phone Number*:
Catalog No.*:
Comments and Specifics(amount, formulation, etc.)*:
Validation code: Captchapackage Image


Can't read the image? click here to refresh.
    *required field

Your bulk quote request has been submitted successfully!

Please contact us if you have any questions.