• Tel: 858.663.9055
  • SeparatorEmail: info@nsjbio.com
  • Tel: 858.663.9055
  • Email: info@nsjbio.com
Home >> Antibodies >> p53 Antibody / Stress Response Transcription Factor Antibody

p53 Antibody / Stress Response Transcription Factor Antibody [clone TP53/3890R] (V4457)

  Catalog No Formulation Size Price (USD)  
Image V4457-100UG 0.2 mg/ml in 1X PBS with 0.1 mg/ml BSA (US sourced), 0.05% sodium azide 100 ug 559
Image
V4457-20UG 0.2 mg/ml in 1X PBS with 0.1 mg/ml BSA (US sourced), 0.05% sodium azide 20 ug 259
Image
V4457SAF-100UG 1 mg/ml in 1X PBS; BSA free, sodium azide free 100 ug 559
Microvalidated Recrabbitmono
Bulk quote request
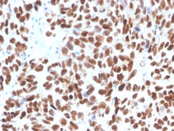
p53 Antibody / Stress Response Transcription Factor Antibody immunohistochemistry of human bladder tissue. Formalin-fixed, paraffin-embedded human bladder tissue was stained using recombinant rabbit monoclonal antibody clone TP53/3890R. Strong HRP-DAB brown nuclear staining is observed in urothelial epithelial cells, consistent with nuclear localization of the p53 stress response transcription factor. Hematoxylin counterstain provides nuclear contrast. Antigen retrieval was performed by boiling tissue sections in pH 9 10mM Tris with 1mM EDTA for 20 min followed by cooling prior to staining.
SDS-PAGE analysis of purified, BSA-free p53 antibody (clone TP53/3890R) as confirmation of integrity and purity.
p53 Antibody / Stress Response Transcription Factor Antibody flow cytometry analysis of human HeLa cells. Cells were stained with recombinant rabbit monoclonal antibody clone TP53/3890R followed by goat anti-rabbit IgG-CF488 secondary antibody (blue). The blue histogram shows a clear rightward fluorescence shift relative to the isotype control (red), demonstrating detection of the p53 stress response transcription factor in HeLa cells.
Availability 1-3 business days
Species Reactivity Human
Format Purified
Host Rabbit
Clonality Recombinant Rabbit Monoclonal
Isotype Rabbit IgG, kappa
Clone Name TP53/3890R
Purity Protein A/G affinity
UniProt P04637
Localization Nuclear
Applications Flow Cytometry : 1-2ug/million cells
Immunohistochemistry (FFPE) : 1-2ug/ml for 30 minutes at RT
Limitations This p53 antibody is available for research use only.
Review this product on BioCompare and get a $20 Amazon gift card

Related Products

Description

Tumor protein p53 (TP53) is a nuclear transcription factor that functions as one of the most important stress response transcription factors in mammalian cells. Acting as a master regulator of cellular stress signaling, p53 integrates diverse stress signals and converts them into transcriptional responses that determine whether a cell adapts, arrests growth, or undergoes apoptosis. The p53 Antibody / Stress Response Transcription Factor Antibody detects this central stress response transcription factor, commonly known as p53, which regulates gene expression programs activated by DNA damage, oncogene activation, oxidative stress, hypoxia, and metabolic imbalance.

p53 antibody, also referred to as TP53 antibody or Tumor protein p53 antibody in the literature, targets a protein that serves as a master stress response transcription factor coordinating cellular defense mechanisms. Under normal physiological conditions the stress response transcription factor p53 is maintained at very low levels through continuous ubiquitin-mediated degradation primarily controlled by the E3 ubiquitin ligase MDM2. When cells encounter stress signals such as DNA damage or oncogenic signaling, multiple upstream kinases including ATM, ATR, CHK1, and CHK2 modify p53 and its regulatory partners, preventing degradation and allowing rapid accumulation of the stress response transcription factor in the nucleus.

Once stabilized, the stress response transcription factor p53 binds sequence-specific DNA response elements within promoters of numerous stress-regulated genes. Through this transcriptional activity the stress response transcription factor p53 activates gene networks that control cell cycle arrest, DNA repair, apoptosis, senescence, and metabolic adaptation. One of the best characterized transcriptional targets is CDKN1A (p21), which halts cell cycle progression following DNA damage. Additional transcriptional targets include genes involved in apoptosis such as BAX, PUMA, and NOXA, which eliminate cells that cannot recover from severe stress.

By regulating these stress-responsive transcriptional programs, the stress response transcription factor p53 acts as a molecular hub linking cellular stress detection to protective biological outcomes. Mild stress conditions often trigger p53-dependent cell cycle arrest and repair pathways that restore cellular homeostasis. In contrast, persistent or severe stress signals activate transcriptional programs that promote apoptosis, preventing survival of genetically compromised cells and suppressing tumor formation.

Disruption of stress response transcription factor activity due to TP53 mutation is one of the most common molecular alterations in human cancer. Loss of TP53 signaling prevents cells from mounting appropriate transcriptional responses to stress, allowing survival and proliferation of genetically unstable cells. In many tumor types mutant forms of the stress response transcription factor accumulate within the nucleus due to impaired degradation mechanisms, producing elevated p53 protein levels frequently detected in cancer tissues.

A recombinant rabbit monoclonal p53 antibody such as clone TP53/3890R is suitable for detecting the p53 stress response transcription factor in studies examining cellular stress signaling pathways, transcriptional regulation of stress responses, and molecular mechanisms underlying tumor development.

Application Notes

Optimal dilution of the p53 Antibody / Stress Response Transcription Factor Antibody should be determined by the researcher.

Immunogen

Recombinant human full-length protein was used as the immunogen for the p53 Antibody / Stress Response Transcription Factor Antibody.

Storage

Aliquot the p53 antibody and store frozen at -20oC or colder. Avoid repeated freeze-thaw cycles.

Alternate Names

TP53 antibody, Tumor protein p53 antibody, Cellular tumor antigen p53 antibody, Phosphoprotein p53 antibody, Transformation related protein 53 antibody

Cross
Bulk Quote Request Form
Name*:
Organization*:
Email*:
Phone Number*:
Catalog No.*:
Comments and Specifics(amount, formulation, etc.)*:
Validation code: Captchapackage Image


Can't read the image? click here to refresh.
    *required field

Your bulk quote request has been submitted successfully!

Please contact us if you have any questions.