• Tel: 858.663.9055
  • SeparatorEmail: info@nsjbio.com
  • Tel: 858.663.9055
  • Email: info@nsjbio.com
Home >> Antibodies >> p53 Antibody / TP53

p53 Antibody / TP53 [clone TP53/2719] (V8129)

  Catalog No Formulation Size Price (USD)  
Image V8129-100UG 0.2 mg/ml in 1X PBS with 0.1 mg/ml BSA (US sourced) and 0.05% sodium azide 100 ug 559
Image
V8129-20UG 0.2 mg/ml in 1X PBS with 0.1 mg/ml BSA (US sourced) and 0.05% sodium azide 20 ug 259
Image
V8129SAF-100UG 1 mg/ml in 1X PBS; BSA free, sodium azide free 100 ug 559
Bulk quote request
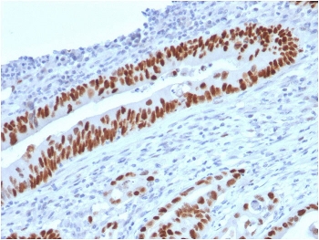
IHC analysis of p53 / TP53 antibody in human colon carcinoma tissue. Formalin-fixed, paraffin-embedded human colon carcinoma shows strong nuclear HRP-DAB brown chromogenic staining in tumor epithelial cells, consistent with accumulation of p53 protein, while adjacent stromal cells show minimal staining. Heat-induced epitope retrieval was performed by boiling tissue sections in pH 9 10mM Tris with 1mM EDTA for 10-20 min followed by cooling prior to staining.
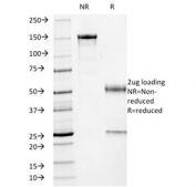
SDS-PAGE analysis of purified, BSA-free p53 antibody (clone TP53/2719) as confirmation of integrity and purity.
Availability 1-3 business days
Species Reactivity Human
Format Purified
Host Mouse
Clonality Monoclonal (mouse origin)
Isotype Mouse IgG2b, kappa
Clone Name TP53/2719
Purity Protein G affinity chromatography
Localization Nuclear
Applications Immunohistochemistry (FFPE) : 1-2ug/ml
Limitations This p53 antibody is available for research use only.
Review this product on BioCompare and get a $20 Amazon gift card

Related Products

Description

p53 antibody recognizes Tumor protein p53, a nuclear transcription factor encoded by the human TP53 gene and widely known as the guardian of the genome. p53 antibody detects a central regulator of cell cycle arrest, apoptosis, senescence, and DNA repair that is activated in response to cellular stress such as DNA damage, oncogene activation, and hypoxia. p53 is predominantly localized to the nucleus, where it functions as a sequence-specific transcription factor controlling expression of genes involved in growth suppression and genomic stability.

p53 antibody, also referred to as TP53 antibody and cellular tumor antigen p53 antibody in the literature, targets a member of the p53 family of transcription factors. The p53 protein contains a transactivation domain, a DNA-binding domain, and an oligomerization domain that enables tetramer formation required for transcriptional activity. Tight regulation of p53 occurs through interactions with MDM2 and other regulatory proteins that control its stability and degradation under normal conditions.

The TP53 gene is located on chromosome 17p13.1 and is one of the most frequently mutated genes in human cancer. Mutations in TP53 commonly result in stabilization and nuclear accumulation of dysfunctional p53 protein, which can be detected by immunohistochemistry. Because mutant p53 often exhibits prolonged half-life compared to wild-type protein, p53 antibody is widely used in research to assess aberrant p53 expression in tumor tissues.

p53 plays a pivotal role in maintaining genomic integrity by inducing cell cycle arrest at the G1-S checkpoint through transcriptional activation of CDKN1A, promoting DNA repair pathways, or initiating apoptosis when damage is irreparable. In addition to its tumor suppressor function, p53 is involved in metabolic regulation, oxidative stress responses, and senescence signaling pathways.

Expression of p53 is typically low in normal tissues due to rapid degradation, but increased nuclear accumulation is frequently observed in a broad range of malignancies including colorectal carcinoma, breast cancer, lung cancer, ovarian carcinoma, and many other solid tumors. The characteristic nuclear localization pattern makes p53 antibody a valuable research tool for studying tumor biology and cell cycle regulation.

Clone TP53/2719 is a monoclonal antibody designed to target p53 protein in research applications. An antibody to p53 is suitable for detecting nuclear p53 expression and for investigating tumor suppressor pathways, stress responses, and mechanisms of oncogenic transformation.

Application Notes

Optimal dilution of the p53 antibody should be determined by the researcher.

Immunogen

Human recombinant protein was used as the immunogen for this p53 antibody.

Storage

Store the p53 antibody at 2-8oC (with azide) or aliquot and store at -20oC or colder (without azide).

Cross
Bulk Quote Request Form
Name*:
Organization*:
Email*:
Phone Number*:
Catalog No.*:
Comments and Specifics(amount, formulation, etc.)*:
Validation code: Captchapackage Image


Can't read the image? click here to refresh.
    *required field

Your bulk quote request has been submitted successfully!

Please contact us if you have any questions.