• Tel: 858.663.9055
  • SeparatorEmail: info@nsjbio.com
  • Tel: 858.663.9055
  • Email: info@nsjbio.com
Home >> Antibodies >> p53 Antibody / TP53

p53 Antibody / TP53 [clone AGC-20] (RQ5061)

  Catalog No Formulation Size Price (USD)  
Image RQ5061 Antibody in PBS with 0.02% sodium azide, 50% glycerol and 0.4-0.5mg/ml BSA 100 ul 449
Microvalidated Rab Mono Image
Bulk quote request
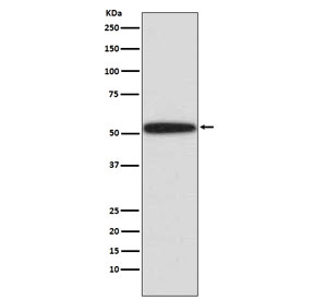
Western blot testing of human T-47D cell lysate with p53 antibody. Predicted molecular weight ~53 kDa.
Availability 1-2 weeks
Species Reactivity Human
Format Purified
Host Rabbit
Clonality Rabbit Monoclonal
Isotype Rabbit IgG
Clone Name AGC-20
Purity Affinity purified
UniProt P04637
Applications Western Blot : 1:500-1:2000
Limitations This p53 antibody is available for research use only.
Review this product on BioCompare and get a $20 Amazon gift card

Related Products

Description

The TP53 gene encodes a tumor suppressor protein containing transcriptional activation, DNA binding, and oligomerization domains. [RefSeq]

Application Notes

Optimal dilution of the p53 antibody should be determined by the researcher.

Immunogen

A synthetic peptide specific to human p53 / TP53 was used as the immunogen for the p53 antibody.

Storage

Store the p53 antibody at -20oC.

Cross
Bulk Quote Request Form
Name*:
Organization*:
Email*:
Phone Number*:
Catalog No.*:
Comments and Specifics(amount, formulation, etc.)*:
Validation code: Captchapackage Image


Can't read the image? click here to refresh.
    *required field

Your bulk quote request has been submitted successfully!

Please contact us if you have any questions.