• Tel: 858.663.9055
  • SeparatorEmail: info@nsjbio.com
  • Tel: 858.663.9055
  • Email: info@nsjbio.com
Home >> Antibodies >> p53 Antibody Cocktail

p53 Antibody Cocktail [clone BP53-12 + DO-7] (V2285)

  Catalog No Formulation Size Price (USD)  
Image V2285-100UG 0.2 mg/ml in 1X PBS with 0.1 mg/ml BSA (US sourced) and 0.05% sodium azide 100 ug 559
Image
V2285-20UG 0.2 mg/ml in 1X PBS with 0.1 mg/ml BSA (US sourced) and 0.05% sodium azide 20 ug 259
Image
V2285SAF-100UG 1 mg/ml in 1X PBS; BSA free, sodium azide free 100 ug 559
Image
V2285IHC-7ML Prediluted in 1X PBS with 0.1 mg/ml BSA (US sourced) and 0.05% sodium azide; *For IHC use only* 7 ml 559
Bulk quote request
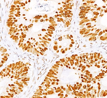
IHC staining of normal colon with p53 antibody cocktail (BP53-12 + DO-7).
Western blot testing of 293 cell lysate with p53 antibody cocktail (BP53-12 + DO-7).
Species Reactivity Human
Format Purified
Host Mouse
Clonality Monoclonal (mouse origin)
Isotype Mouse IgG2a (BP53-12) + Mouse IgG2b (DO-7)
Clone Name BP53-12 + DO-7
Purity Protein G affinity chromatography
Buffer 1X PBS, pH 7.4
Gene ID 7157
Localization Nuclear
Applications Flow Cytometry : 0.5-1ug/10^6 cells
Immunofluorescence : 0.5-1ug/ml
Western Blot : 0.5-1ug/ml
Immunohistochemistry (FFPE) : 0.25-0.5ug/ml for 30 min at RT
Limitations This p53 antibody is available for research use only.
Review this product on BioCompare and get a $20 Amazon gift card

Related Products

Description

This antibody cocktail is specific for a 53kDa protein, which is identified as p53 suppressor gene product. The antibody cocktail reacts with the mutant as well as the wild form of p53 under denaturing and non-denaturing conditions. p53 is a tumor suppressor gene expressed in a wide variety of tissue types and is involved in regulating cell growth, replication, and apoptosis. It binds to MDM2, SV40 T antigen and human papilloma virus E6 protein. Positive nuclear staining with p53 antibody has been reported to be a negative prognostic factor in breast carcinoma, lung carcinoma, colorectal, and urothelial carcinoma. antibody to p53 positivity has also been used to differentiate uterine serous carcinoma from endometrioid carcinoma as well as to detect intratubular germ cell neoplasia. Mutations involving p53 are found in a wide variety of malignant tumors, including breast, ovarian, bladder, colon, lung, and melanoma.

Application Notes

The concentration stated for each application is a general starting point. Variations in protocols, secondaries and substrates may require the antibody to be titered up or down for optimal performance.

Staining of formalin-fixed tissues requires boiling tissue sections in 10mM citrate buffer, pH 6.0, for 10-20 min followed by cooling at RT for 20 minutes.
2. The prediluted format is supplied in a dropper bottle and is optimized for use in IHC. After epitope retrieval step (if required), drip mAb solution onto the tissue section and incubate at RT for 30 min.

Immunogen

Recombinant human wild-type p53 protein (BP53-12) & Recombinant human wild type p53 protein expressed in E. coli (DO-7) were used as the immunogen for this antibody cocktail.

Storage

Store the p53 antibody at 2-8oC (with azide) or aliquot and store at -20oC or colder (without azide).

Alternate Names

Antigen NY-CO-13, BCC7, Cellular Tumor Antigen p53, LFS1, TP53, Transformation Related Protein 53 (TRP53), Tumor Protein p53, Tumor Suppressor p53, p53 antibody

Cross
Bulk Quote Request Form
Name*:
Organization*:
Email*:
Phone Number*:
Catalog No.*:
Comments and Specifics(amount, formulation, etc.)*:
Validation code: Captchapackage Image


Can't read the image? click here to refresh.
    *required field

Your bulk quote request has been submitted successfully!

Please contact us if you have any questions.