- Tel: 858.663.9055
- 
									 Email: info@nsjbio.com Email: info@nsjbio.com
- Tel: 858.663.9055
- Email: info@nsjbio.com
 Email: info@nsjbio.com
Email: info@nsjbio.com
								Related Products
| 
 | 
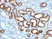
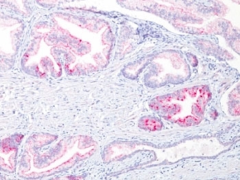
p504S antibody clone 13H4 is a monoclonal antibody specific for alpha-methylacyl-CoA racemase (AMACR), commonly referred to in pathology as p504S. This mitochondrial and peroxisomal enzyme plays a role in the metabolism of branched-chain fatty acids and bile acid intermediates. p504S is highly expressed in prostatic adenocarcinoma and has become an essential marker for prostate cancer diagnostics. NSJ Bioreagents supplies p504S antibody clone 13H4 for use in oncology, pathology, and prostate disease research.
The antibody produces strong cytoplasmic staining in prostatic carcinoma cells while showing limited or absent expression in benign prostatic tissue. This specificity makes it a critical tool in distinguishing malignant lesions from benign mimics such as prostatic hyperplasia or inflammation. Pathologists often use it in combination with basal cell markers such as p63 or high molecular weight cytokeratins to improve diagnostic accuracy.
In oncology, the antibody has been used to assess prostate cancer progression and prognosis. Its detection supports studies of tumor metabolism, where AMACR overexpression is associated with altered lipid handling in cancer cells. Researchers have also applied it to evaluate the role of fatty acid metabolism in other malignancies, including colorectal carcinoma and renal cell carcinoma, where p504S is upregulated.
Beyond oncology, p504S antibody clone 13H4 provides insight into peroxisomal and mitochondrial metabolism. By labeling AMACR, it helps researchers understand how this enzyme contributes to normal lipid processing and how metabolic dysregulation may promote disease.
This antibody is validated for tissue-based studies, consistently producing clear cytoplasmic staining in prostate cancer and other AMACR-expressing tissues. Its reproducibility has led to widespread use in pathology and cancer biology. Alternate names include AMACR antibody, alpha-methylacyl-CoA racemase antibody, and prostate cancer marker p504S antibody.
Optimal dilution of the p504S antibody should be determined by the researcher.
1. Staining of formalin-fixed tissues requires boiling tissue sections in 10mM Tris with 1mM EDTA, pH 9.0, for 10-20 min followed by cooling at RT for 20 min
2. The prediluted format is supplied in a dropper bottle and is optimized for use in IHC. After epitope retrieval step (if required), drip mAb solution onto the tissue section and incubate at RT for 30 min.
Full length human recombinant protein was used as the immunogen for the p504S antibody.
Store the p504S antibody at 2-8oC (with azide) or aliquot and store at -20oC or colder (without azide).
 
Your bulk quote request has been submitted successfully!
Please contact us if you have any questions.