• Tel: 858.663.9055
  • SeparatorEmail: info@nsjbio.com
  • Tel: 858.663.9055
  • Email: info@nsjbio.com
Home >> Antibodies >> P4HA1 Antibody / Prolyl 4-hydroxylase subunit alpha 1

P4HA1 Antibody / Prolyl 4-hydroxylase subunit alpha 1 (FY13116)

  Catalog No Formulation Size Price (USD)  
Image FY13116 Adding 0.2 ml of distilled water will yield a concentration of 500 ug/ml 100 ug 449
Bulk quote request
Immunofluorescent staining of P4HA1 using anti-P4HA1 antibody (red). P4HA1 was detected in a paraffin-embedded section of human liver cancer tissue. Heat mediated antigen retrieval was performed in EDTA buffer (pH 8.0, epitope retrieval solution). The tissue section was blocked with 10% goat serum. The tissue section was then incubated with 5 ug/ml rabbit anti-P4HA1 antibody overnight at 4oC. Cy3 Conjugated Goat Anti-Rabbit IgG was used as secondary antibody at 1:500 dilution and incubated for 30 minutes at 37oC. The section was counterstained with DAPI nuclear stain (blue). Visualize using a fluorescence microscope and filter sets appropriate for the label used.
Western blot analysis of P4HA1 using anti-P4HA1 antibody. Electrophoresis was performed on a 10% SDS-PAGE gel at 80V (Stacking gel) / 120V (Resolving gel) for 2 hours. Lane 1: human 293T whole cell lysates, Lane 2: human HepG2 whole cell lysates, Lane 3: human Hela whole cell lysates, Lane 4: human MCF-7 whole cell lysates. After electrophoresis, proteins were transferred to a nitrocellulose membrane at 150 mA for 50-90 minutes. Blocked the membrane with 5% non-fat milk/TBS for 1.5 hour at RT. The membrane was incubated with rabbit anti-P4HA1 antibody at 1:1000 overnight at 4oC, then washed with TBS-0.1%Tween 3 times with 5 minutes each and probed with a goat anti-rabbit IgG-HRP secondary antibody at a dilution of 1:5000 for 1.5 hour at RT. The signal was developed using an ECL Plus Western Blotting Substrate. A specific band was detected for P4HA1 at approximately 61 kDa. The expected molecular weight of P4HA1 is ~61 kDa.
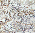
Immunohistochemical staining of P4HA1 using anti-P4HA1 antibody. P4HA1 was detected in a paraffin-embedded section of human invasive urothelial carcinoma of the bladder with squamous differentiation tissue. Heat mediated antigen retrieval was performed in EDTA buffer (pH 8.0, epitope retrieval solution). The tissue section was blocked with 10% goat serum. The tissue section was then incubated with 1:100 rabbit anti-P4HA1 antibody overnight at 4oC. Peroxidase Conjugated Goat Anti-rabbit IgG was used as secondary antibody and incubated for 30 minutes at 37oC. The tissue section was developed using an HRP secondary and DAB substrate.
Immunohistochemical staining of P4HA1 using anti-P4HA1 antibody. P4HA1 was detected in a paraffin-embedded section of human lung cancer tissue. Heat mediated antigen retrieval was performed in EDTA buffer (pH 8.0, epitope retrieval solution). The tissue section was blocked with 10% goat serum. The tissue section was then incubated with 1:100 rabbit anti-P4HA1 antibody overnight at 4oC. Peroxidase Conjugated Goat Anti-rabbit IgG was used as secondary antibody and incubated for 30 minutes at 37oC. The tissue section was developed using an HRP secondary and DAB substrate.
Western blot analysis of P4HA1 using anti-P4HA1 antibody. Electrophoresis was performed on a 10% SDS-PAGE gel at 80V (Stacking gel) / 120V (Resolving gel) for 2 hours. Lane 1: human K562 whole cell lysates, Lane 2: human PC-3 whole cell lysates, Lane 3: human HepG2 whole cell lysates, Lane 4: human U251 whole cell lysates. After electrophoresis, proteins were transferred to a nitrocellulose membrane at 150 mA for 50-90 minutes. Blocked the membrane with 5% non-fat milk/TBS for 1.5 hour at RT. The membrane was incubated with rabbit anti-P4HA1 antibody at 0.5 ug/ml overnight at 4oC, then washed with TBS-0.1%Tween 3 times with 5 minutes each and probed with a goat anti-rabbit IgG-HRP secondary antibody at a dilution of 1:5000 for 1.5 hour at RT. The signal was developed using an ECL Plus Western Blotting Substrate. A specific band was detected for P4HA1 at approximately 61 kDa. The expected molecular weight of P4HA1 is at 61 kDa.
Immunohistochemical staining of P4HA1 using anti-P4HA1 antibody. P4HA1 was detected in a paraffin-embedded section of human liver cancer tissue. Heat mediated antigen retrieval was performed in EDTA buffer (pH 8.0, epitope retrieval solution). The tissue section was blocked with 10% goat serum. The tissue section was then incubated with 2 ug/ml rabbit anti-P4HA1 antibody overnight at 4oC. Peroxidase Conjugated Goat Anti-rabbit IgG was used as secondary antibody and incubated for 30 minutes at 37oC. The tissue section was developed using an HRP secondary and DAB substrate.
Immunohistochemical staining of P4HA1 using anti-P4HA1 antibody. P4HA1 was detected in a paraffin-embedded section of human liver tissue. Heat mediated antigen retrieval was performed in EDTA buffer (pH 8.0, epitope retrieval solution). The tissue section was blocked with 10% goat serum. The tissue section was then incubated with 2 ug/ml rabbit anti-P4HA1 antibody overnight at 4oC. Peroxidase Conjugated Goat Anti-rabbit IgG was used as secondary antibody and incubated for 30 minutes at 37oC. The tissue section was developed using an HRP secondary and DAB substrate.
Immunohistochemical staining of P4HA1 using anti-P4HA1 antibody. P4HA1 was detected in a paraffin-embedded section of human ovarian cancer tissue. Heat mediated antigen retrieval was performed in EDTA buffer (pH 8.0, epitope retrieval solution). The tissue section was blocked with 10% goat serum. The tissue section was then incubated with 1:100 rabbit anti-P4HA1 antibody overnight at 4oC. Peroxidase Conjugated Goat Anti-rabbit IgG was used as secondary antibody and incubated for 30 minutes at 37oC. The tissue section was developed using an HRP secondary and DAB substrate.
Availability 1-2 days
Species Reactivity Human
Format Lyophilized
Host Rabbit
Clonality Polyclonal (rabbit origin)
Isotype Rabbit IgG
Purity Immunogen affinity purified
Buffer Each vial contains 4 mg Trehalose, 0.9 mg NaCl, 0.2 mg Na2HPO4.
UniProt P13674
Localization Cytoplasm
Applications Western Blot : 0.25-0.5ug/ml
Immunohistochemistry : 2-5ug/ml
Immunofluorescence : 5ug/ml
Limitations This P4HA1 antibody is available for research use only.
Review this product on BioCompare and get a $20 Amazon gift card

Related Products

  • Applications : WB, IHC-P, ELISA (peptide)
    Reactivity : Human
    Pred. Reactivity : Mouse, Rat, Dog

Description

P4HA1 antibody detects Prolyl 4-hydroxylase subunit alpha 1, an enzyme that catalyzes hydroxylation of proline residues in collagen. The UniProt recommended name is Prolyl 4-hydroxylase subunit alpha 1 (P4HA1). This enzyme is essential for collagen triple-helix stabilization, extracellular matrix formation, and connective tissue integrity.

Functionally, P4HA1 antibody identifies a 534-amino-acid enzyme localized to the endoplasmic reticulum lumen, where it associates with prolyl 4-hydroxylase beta subunits to form the active tetrameric enzyme. P4HA1 catalyzes the post-translational modification of proline to 4-hydroxyproline, a critical step in collagen maturation that stabilizes the helical structure.

The P4HA1 gene is located on chromosome 10q22.1 and is expressed in fibroblasts, chondrocytes, and osteoblasts. Its expression increases during wound healing, tissue remodeling, and hypoxia. P4HA1 activity is co-regulated with other collagen synthesis enzymes and is sensitive to oxygen and ascorbate availability.

Pathologically, overexpression of P4HA1 has been linked to fibrosis, tumor progression, and hypoxia-induced extracellular matrix remodeling. Elevated P4HA1 enhances collagen deposition and stiffening of the tumor microenvironment, promoting invasion and metastasis. Conversely, inhibition of P4HA1 suppresses collagen accumulation and fibrotic scarring. Research using P4HA1 antibody aids studies in extracellular matrix biology, collagen synthesis, and disease-associated fibrosis.

P4HA1 antibody is validated for use in western blotting, immunohistochemistry, and immunofluorescence to detect collagen-modifying enzymes. NSJ Bioreagents offers P4HA1 antibody reagents optimized for studies in connective tissue biology, tumor microenvironment, and molecular pathology.

Structurally, Prolyl 4-hydroxylase subunit alpha 1 contains a catalytic dioxygenase domain that requires Fe2+ and ascorbate as cofactors for hydroxylation. This antibody enables characterization of P4HA1's role in collagen maturation, ECM formation, and disease progression.

Application Notes

Optimal dilution of the P4HA1 antibody should be determined by the researcher.

Immunogen

A synthetic peptide corresponding to a sequence in the middle region of human P4HA1 was used as the immunogen for the P4HA1 antibody.

Storage

After reconstitution, the P4HA1 antibody can be stored for up to one month at 4oC. For long-term, aliquot and store at -20oC. Avoid repeated freezing and thawing.

Cross
Bulk Quote Request Form
Name*:
Organization*:
Email*:
Phone Number*:
Catalog No.*:
Comments and Specifics(amount, formulation, etc.)*:
Validation code: Captchapackage Image


Can't read the image? click here to refresh.
    *required field

Your bulk quote request has been submitted successfully!

Please contact us if you have any questions.