• Tel: 858.663.9055
  • SeparatorEmail: info@nsjbio.com
  • Tel: 858.663.9055
  • Email: info@nsjbio.com
Home >> Antibodies >> P3H2 Antibody / Prolyl 3-hydroxylase 2

P3H2 Antibody / Prolyl 3-hydroxylase 2 (FY12801)

  Catalog No Formulation Size Price (USD)  
Image FY12801 Adding 0.2 ml of distilled water will yield a concentration of 500 ug/ml 100 ug 449
Bulk quote request
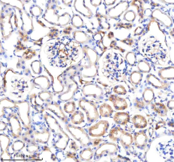
Immunohistochemical staining of P3H2 using anti-P3H2 antibody. P3H2 was detected in a paraffin-embedded section of mouse kidney tissue. Heat mediated antigen retrieval was performed in EDTA buffer (pH 8.0, epitope retrieval solution). The tissue section was blocked with 10% goat serum. The tissue section was then incubated with 2 ug/ml rabbit anti-P3H2 antibody overnight at 4oC. Peroxidase Conjugated Goat Anti-rabbit IgG was used as secondary antibody and incubated for 30 minutes at 37oC. The tissue section was developed using an HRP secondary and DAB substrate.
Western blot analysis of P3H2 using anti-P3H2 antibody. Lane 1: human Hela whole cell lysates, Lane 2: human RT4 whole cell lysates, Lane 3: human SIHA whole cell lysates, Lane 4: human whole cell lysates. After electrophoresis, proteins were transferred to a nitrocellulose membrane at 150 mA for 50-90 minutes. Blocked the membrane with 5% non-fat milk/TBS for 1.5 hour at RT. The membrane was incubated with rabbit anti-P3H2 antibody at 0.5 ug/ml overnight at 4oC, then washed with TBS-0.1%Tween 3 times with 5 minutes each and probed with a goat anti-rabbit IgG-HRP secondary antibody at a dilution of 1:5000 for 1.5 hour at RT. The signal was developed using enhanced chemiluminescent. A specific band was detected for P3H2 at approximately 81 kDa. The expected molecular weight of P3H2 is at 81,60 kDa.
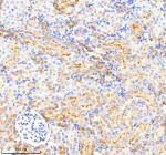
Immunohistochemical staining of P3H2 using anti-P3H2 antibody. P3H2 was detected in a paraffin-embedded section of rat kidney tissue. Heat mediated antigen retrieval was performed in EDTA buffer (pH 8.0, epitope retrieval solution). The tissue section was blocked with 10% goat serum. The tissue section was then incubated with 2 ug/ml rabbit anti-P3H2 antibody overnight at 4oC. Peroxidase Conjugated Goat Anti-rabbit IgG was used as secondary antibody and incubated for 30 minutes at 37oC. The tissue section was developed using an HRP secondary and DAB substrate.
Immunofluorescent staining of P3H2 using anti-P3H2 antibody (green) and anti-Beta Tubulin antibody (red). P3H2 was detected in immunocytochemical section of cell. Enzyme antigen retrieval was performed using IHC enzyme antigen retrieval reagent for 15 mins. The cells were blocked with 10% goat serum. And then incubated with 5 ug/ml rabbit anti-P3H2 antibody and mouse anti-Beta Tubulin antibody overnight at 4oC. DyLight 488 Conjugated Goat Anti-Rabbit IgG and DyLight 594 Conjugated Goat Anti-Mouse IgG were used as secondary antibody at 1:500 dilution and incubated for 30 minutes at 37oC. Visualize using a fluorescence microscope and filter sets appropriate for the label used.
Flow Cytometry analysis of RT4 cells using anti-P3H2 antibody. Overlay histogram showing RT4 cells stained with (Blue line). To facilitate intracellular staining, cells were fixed with 4% paraformaldehyde and permeabilized with permeabilization buffer. The cells were blocked with 10% normal goat serum. And then incubated with rabbit anti-P3H2 antibody (1 ug/million cells) for 30 min at 20oC. DyLight 488 conjugated goat anti-rabbit IgG (5-10 ug/million cells) was used as secondary antibody for 30 minutes at 20oC. Isotype control antibody (Green line) was rabbit IgG (1 ug/million cells) used under the same conditions. Unlabelled sample without incubation with primary antibody and secondary antibody (Red line) was used as a blank control.
Availability 1-2 days
Species Reactivity Human, Mouse, Rat
Format Lyophilized
Host Rabbit
Clonality Polyclonal (rabbit origin)
Isotype Rabbit IgG
Purity Immunogen affinity purified
Buffer Each vial contains 4 mg Trehalose, 0.9 mg NaCl, 0.2 mg Na2HPO4.
UniProt Q8IVL5
Localization Cytoplasm, Golgi, Nucleus
Applications Western Blot : 0.25-0.5ug/ml
Immunohistochemistry : 2-5ug/ml
Immunocytochemistry : 5ug/ml
Immunofluorescence : 5ug/ml
Flow Cytometry : 1-3ug/million cells
ELISA : 0.1-0.5ug/ml
Limitations This P3H2 antibody is available for research use only.
Review this product on BioCompare and get a $20 Amazon gift card

Description

P3H2 antibody detects Prolyl 3-hydroxylase 2, an endoplasmic reticulum enzyme responsible for hydroxylating proline residues in collagen and collagen-like proteins. Encoded by the P3H2 gene on chromosome 3q28, this enzyme belongs to the 2-oxoglutarate-dependent dioxygenase family and functions in post-translational modification of extracellular matrix proteins. P3H2 catalyzes the formation of 3-hydroxyproline at specific sites in fibrillar collagens, contributing to the stability, folding, and assembly of collagen triple helices.

P3H2 localizes to the lumen of the endoplasmic reticulum, where it operates as part of a multi-enzyme complex with cartilage-associated protein (CRTAP) and cyclophilin B (PPIB). This complex ensures proper hydroxylation and folding of procollagen molecules prior to secretion. The enzymatic reaction requires Fe2+, 2-oxoglutarate, and ascorbate as cofactors. Loss of P3H2 activity leads to underhydroxylated collagen and defects in connective tissue organization.

The P3H2 antibody is used in extracellular matrix, connective tissue, and skeletal biology research to study collagen modification and protein maturation. Western blot analysis detects a 90 kilodalton band corresponding to P3H2, while immunofluorescence reveals reticular ER localization consistent with its role in collagen biosynthesis. This antibody allows characterization of collagen-modifying enzymes and post-translational hydroxylation mechanisms.

Altered expression or mutation of P3H2 has been implicated in connective tissue disorders, osteogenesis imperfecta, and fibrosis, where abnormal collagen hydroxylation compromises structural integrity. The P3H2 antibody is an essential reagent for exploring collagen maturation, matrix assembly, and disease-associated remodeling. NSJ Bioreagents offers this antibody validated for western blotting, immunofluorescence, and immunohistochemistry, ensuring accuracy in studies of extracellular matrix biology and protein modification.

Application Notes

Optimal dilution of the P3H2 antibody should be determined by the researcher.

Immunogen

E.coli-derived human P3H2 recombinant protein (Position: E106-R494) was used as the immunogen for the P3H2 antibody.

Storage

After reconstitution, the P3H2 antibody can be stored for up to one month at 4oC. For long-term, aliquot and store at -20oC. Avoid repeated freezing and thawing.

Cross
Bulk Quote Request Form
Name*:
Organization*:
Email*:
Phone Number*:
Catalog No.*:
Comments and Specifics(amount, formulation, etc.)*:
Validation code: Captchapackage Image


Can't read the image? click here to refresh.
    *required field

Your bulk quote request has been submitted successfully!

Please contact us if you have any questions.