• Tel: 858.663.9055
  • SeparatorEmail: info@nsjbio.com
  • Tel: 858.663.9055
  • Email: info@nsjbio.com
Home >> Antibodies >> p300 Antibody (KAT3B)

p300 Antibody (KAT3B) (R31592)

  Catalog No Formulation Size Price (USD)  
Image R31592 0.5mg/ml if reconstituted with 0.2ml sterile DI water 100 ug 449
Bulk quote request
Western blot testing of 1) human COLO-320, 2) rat PC-12 and 3) mouse NIH 3T3 cell lysate with p300 antibody. Predicted molecular weight ~300 kDa.
Western blot testing of p300 antibody and recombinant human protein (0.5ng)
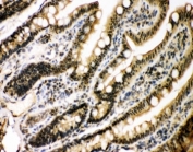
IHC-P: p300 antibody testing of rat intestine tissue
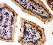
IHC-P: p300 antibody testing of mouse intestine tissue
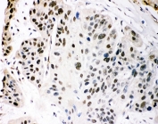
IHC-P staining of human oesophagus squama cancer tissue
Availability 1-3 business days
Species Reactivity Human, Mouse, Rat
Format Antigen affinity purified
Host Rabbit
Clonality Polyclonal (rabbit origin)
Isotype Rabbit IgG
Purity Antigen affinity
Buffer Lyophilized from 1X PBS with 2.5% BSA and 0.025% sodium azide
Gene ID 2033
Localization Intracellular
Applications Western Blot : 0.5-1ug/ml
Immunohistochemistry (FFPE) : 0.5-1ug/ml
Limitations This p300 antibody is available for research use only.
Review this product on BioCompare and get a $20 Amazon gift card

Description

E1A binding protein p300 is a protein that in humans is encoded by the EP300 gene. The gene is located on the long (q) arm of the human chromosome 22 at position 13.2. This protein regulates the activity of many genes in tissues throughout the body. It plays an essential role in regulating cell growth and division, prompting cells to mature and assume specialized functions (differentiate), and preventing the growth of cancerous tumors. p300 appears to be critical for normal development before and after birth. It carries out its function by activating transcription. In addition, the protein functions as histone acetyltransferase that regulates transcription via chromatin remodeling, and is important in the processes of cell proliferation and differentiation. p300 also mediates cAMP-gene regulation by binding specifically to phosphorylated CREB protein.

Application Notes

The stated application concentrations are suggested starting amounts. Titration of the p300 antibody may be required due to differences in protocols and secondary/substrate sensitivity.

Immunogen

Human partial recombinant protein (AA 2065-2414) was used as the immunogen for this KAT3B / p300 antibody.

Storage

After reconstitution, the p300 antibody can be stored for up to one month at 4oC. For long-term, aliquot and store at -20oC. Avoid repeated freezing and thawing.

Cross
Bulk Quote Request Form
Name*:
Organization*:
Email*:
Phone Number*:
Catalog No.*:
Comments and Specifics(amount, formulation, etc.)*:
Validation code: Captchapackage Image


Can't read the image? click here to refresh.
    *required field

Your bulk quote request has been submitted successfully!

Please contact us if you have any questions.