• Tel: 858.663.9055
  • SeparatorEmail: info@nsjbio.com
  • Tel: 858.663.9055
  • Email: info@nsjbio.com
Home >> Antibodies >> P16INK4a Antibody Recombinant Rabbit MAb / Cyclin-dependent kinase inhibitor 2A Antibody / CDKN2A

P16INK4a Antibody Recombinant Rabbit MAb / Cyclin-dependent kinase inhibitor 2A Antibody / CDKN2A [clone CDKN2A/8196R] (V5281)

  Catalog No Formulation Size Price (USD)  
Image V5281-100UG 0.2 mg/ml in 1X PBS with 0.1 mg/ml BSA (US sourced), 0.05% sodium azide 100 ug 559
Image
V5281-20UG 0.2 mg/ml in 1X PBS with 0.1 mg/ml BSA (US sourced), 0.05% sodium azide 20 ug 259
Image
V5281SAF-100UG 1 mg/ml in 1X PBS; BSA free, sodium azide free 100 ug 559
Microvalidated Recrabbitmono
Bulk quote request
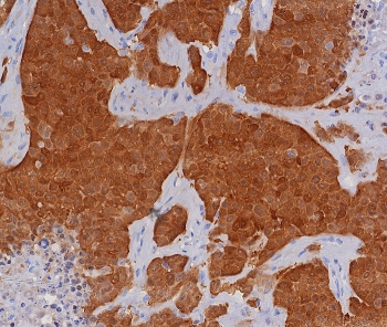
Immunohistochemistry of P16INK4a antibody in human bladder carcinoma tissue. The recombinant rabbit mAb clone CDKN2A/8196R demonstrates strong nuclear and cytoplasmic HRP-DAB brown staining within malignant urothelial cells, consistent with overexpression of Cyclin-dependent kinase inhibitor 2A in dysregulated cell cycle states. Tumor cell nests show diffuse positivity, while surrounding stromal elements display minimal background staining. Heat-induced epitope retrieval was performed by boiling tissue sections in pH 9 10mM Tris with 1mM EDTA for 20 minutes followed by cooling prior to antibody incubation.
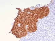
Immunohistochemistry of P16INK4a antibody in human cervical carcinoma tissue. The recombinant rabbit mAb clone CDKN2A/8196R shows strong, diffuse nuclear and cytoplasmic HRP-DAB brown staining in malignant epithelial cells, a pattern commonly associated with dysregulated RB pathway signaling in cervical neoplasia. Tumor cells display uniform positivity with sharp contrast against adjacent non-neoplastic stromal and inflammatory cells, which remain largely unstained. Heat-induced epitope retrieval was performed by boiling tissue sections in pH 9 10mM Tris with 1mM EDTA for 20 minutes followed by cooling prior to antibody incubation.
Availability 1-3 business days
Species Reactivity Human
Format Purified
Host Rabbit
Clonality Recombinant Rabbit Monoclonal
Isotype Rabbit IgG, kappa
Clone Name CDKN2A/8196R
Purity Protein A/G affinity
UniProt P42771
Localization Nucleus, Cytoplasm
Applications Immunohistochemistry (FFPE) : 1-2ug/ml for 30 min at RT
Limitations This P16INK4a antibody is available for research use only.
Review this product on BioCompare and get a $20 Amazon gift card

Related Products

Description

P16INK4a antibody recognizes Cyclin-dependent kinase inhibitor 2A, the tumor suppressor protein encoded by the CDKN2A gene on chromosome 9p21.3. P16INK4a Antibody Recombinant Rabbit MAb is designed to detect this key cell cycle regulatory protein in research applications involving normal and neoplastic tissues. P16INK4a is a member of the INK4 family of cyclin-dependent kinase inhibitors and functions primarily in the nucleus and cytoplasm, where it binds CDK4 and CDK6 to inhibit phosphorylation of the retinoblastoma protein and block G1 to S phase progression.

CDKN2A antibody, also referred to as P16 antibody and INK4a antibody in the literature, targets a critical regulator of cell cycle control and senescence. The CDKN2A locus is notable for encoding multiple distinct proteins through alternative reading frames, including P14ARF, but P16INK4a specifically acts through CDK4 and CDK6 inhibition. Loss of CDKN2A function through deletion, mutation, or promoter methylation is one of the most common events in human cancer and contributes to unchecked cellular proliferation.

P16INK4a expression is low or absent in many normal proliferating tissues but can be upregulated in response to oncogenic stress, cellular aging, or viral oncogene activity. Overexpression of P16INK4a is frequently observed in high-risk human papillomavirus-associated lesions, where functional inactivation of RB by viral proteins leads to compensatory upregulation of P16. As a result, P16INK4a antibody is widely used in studies of tumor suppressor pathways, cell cycle dysregulation, and virus-associated carcinogenesis.

Structurally, P16INK4a contains multiple ankyrin repeat motifs that mediate interaction with CDK4 and CDK6. Through this interaction, it prevents formation of the cyclin D-CDK4 or cyclin D-CDK6 complex, thereby maintaining RB in a hypophosphorylated, growth-suppressive state. Disruption of this pathway through CDKN2A inactivation contributes to tumor development in melanoma, pancreatic cancer, glioma, bladder cancer, and many other malignancies.

The recombinant rabbit monoclonal clone CDKN2A/8196R provides high specificity for detection of P16INK4a in formalin-fixed tissues and cell-based assays. By enabling visualization of nuclear and cytoplasmic P16INK4a expression patterns, this P16INK4a antibody supports research into cell cycle regulation, tumor suppressor biology, and mechanisms of oncogenic transformation at NSJ Bioreagents.

Application Notes

Optimal dilution of the P16INK4a antibody recombinant rabbit mAb should be determined by the researcher.

Immunogen

Purified recombinant prokaryotic full-length human protein was used as the immunogen for the P16INK4a antibody recombinant rabbit mAb.

Storage

Aliquot the P16INK4a antibody and store frozen at -20oC or colder. Avoid repeated freeze-thaw cycles.

Cross
Bulk Quote Request Form
Name*:
Organization*:
Email*:
Phone Number*:
Catalog No.*:
Comments and Specifics(amount, formulation, etc.)*:
Validation code: Captchapackage Image


Can't read the image? click here to refresh.
    *required field

Your bulk quote request has been submitted successfully!

Please contact us if you have any questions.