• Tel: 858.663.9055
  • SeparatorEmail: info@nsjbio.com
  • Tel: 858.663.9055
  • Email: info@nsjbio.com
Home >> Antibodies >> p16INK4a Antibody / CDKN2A

p16INK4a Antibody / CDKN2A [clone CDKN2A/4499] (V8604)

  Catalog No Formulation Size Price (USD)  
Image V8604-100UG 0.2 mg/ml in 1X PBS with 0.1 mg/ml BSA (US sourced) and 0.05% sodium azide 100 ug 559
Image
V8604-20UG 0.2 mg/ml in 1X PBS with 0.1 mg/ml BSA (US sourced) and 0.05% sodium azide 20 ug 259
Image
V8604SAF-100UG 1 mg/ml in 1X PBS; BSA free, sodium azide free 100 ug 559
Bulk quote request
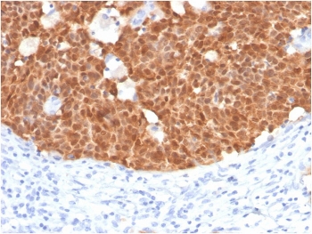
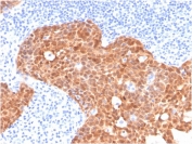
IHC staining of FFPE human cervix with p16INK4a antibody (clone CDKN2A/4499). HIER: boil tissue sections in pH 9 10mM Tris with 1mM EDTA for 20 min and allow to cool before testing.
IHC staining of FFPE human cervix with p16INK4a antibody (clone CDKN2A/4499). HIER: boil tissue sections in pH 9 10mM Tris with 1mM EDTA for 20 min and allow to cool before testing.
SDS-PAGE analysis of purified, BSA-free p16INK4a antibody (clone CDKN2A/4499) as confirmation of integrity and purity.
Availability 1-3 business days
Species Reactivity Human
Format Purified
Host Mouse
Clonality Monoclonal (mouse origin)
Isotype Mouse IgG2a, kappa
Clone Name CDKN2A/4499
Purity Protein G affinity chromatography
UniProt P42771
Localization Nuclear and cytoplasmic
Applications Immunohistochemistry (FFPE) : 1-2ug/ml for 30 minutes at RT
Limitations This p16INK4a antibody is available for research use only.
Review this product on BioCompare and get a $20 Amazon gift card

Related Products

Description

p16INK4a is a tumor suppressor protein. It is a specificinhibitor of cdk4/cdk6, and a tumorsuppressor involved inthe pathogenesis of a variety of malignancies. Recentanalyses of the p16INK4a gene revealed homozygousdeletions, nonsense, missense, or frameshift mutations inseveral human cancers. Although the frequency of p16INK4aabnormalities is higher in tumor derived cell lines than inunselected primary tumors, significant subsets of clinicalcases with aberrant p16INK4a gene have been reportedamong melanomas, gliomas, esophageal, pancreatic, lung,and urinary bladdercarcinomas, and some types of leukemia.Expression of p16INK4a (p16 positive) is highly correlatedwith human papilloma virus (HPV) infection in head and necksquamous cell carcinomas (HNSCC). p16 status is animportant prognostic indicator in HNSCC and the p16positive/HPV16 negative group is likely a distinct subgrouplacking any HPV genotype.

Application Notes

Optimal dilution of the p16INK4a antibody should be determined by the researcher.

Immunogen

Recombinant full-length human protein was used as the immunogen for the p16INK4a antibody.

Storage

Store the p16INK4a antibody at 2-8oC (with azide) or aliquot and store at -20oC or colder (without azide).

Cross
Bulk Quote Request Form
Name*:
Organization*:
Email*:
Phone Number*:
Catalog No.*:
Comments and Specifics(amount, formulation, etc.)*:
Validation code: Captchapackage Image


Can't read the image? click here to refresh.
    *required field

Your bulk quote request has been submitted successfully!

Please contact us if you have any questions.