• Tel: 858.663.9055
  • SeparatorEmail: info@nsjbio.com
  • Tel: 858.663.9055
  • Email: info@nsjbio.com
Home >> Antibodies >> p14ARF Antibody / CDKN2A

p14ARF Antibody / CDKN2A [clone 4C6/4] (V3807)

  Catalog No Formulation Size Price (USD)  
Image V3807-100UG 0.2 mg/ml in 1X PBS with 0.1 mg/ml BSA (US sourced) and 0.05% sodium azide 100 ug 559
Image
V3807-20UG 0.2 mg/ml in 1X PBS with 0.1 mg/ml BSA (US sourced) and 0.05% sodium azide 20 ug 259
Image
V3807SAF-100UG 1 mg/ml in 1X PBS; BSA free, sodium azide free 100 ug 559
Bulk quote request
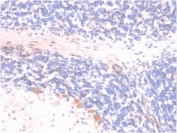
IHC testing of FFPE human brain with p14ARF antibody (clone 4C6/4). HIER: boil tissue sections in pH6, 10mM citrate buffer, for 10-20 min followed by cooling at RT for 20 min.
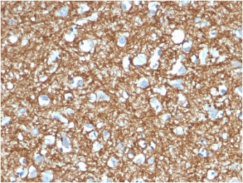
IHC testing of FFPE rat brain with p14ARF antibody (clone 4C6/4). HIER: boil tissue sections in pH6, 10mM citrate buffer, for 10-20 min followed by cooling at RT for 20 min.
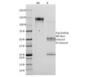
SDS-PAGE analysis of purified, BSA-free p14ARF antibody (clone 4C6/4) as confirmation of integrity and purity.
Availability 1-3 business days
Species Reactivity Human, Rat
Format Purified
Host Mouse
Clonality Monoclonal (mouse origin)
Isotype Mouse IgG2a, kappa
Clone Name 4C6/4
Purity Protein G affinity chromatography
UniProt P42771
Localization Nuclear, cytoplasmic
Applications Flow Cytometry : 1-2ug/10^6 cells
Immunofluorescence : 1-2ug/ml
Western Blot : 1-2ug/ml
Immunohistochemistry (FFPE) : 1-2ug/ml for 30 min at RT
Limitations This p14ARF antibody is available for research use only.
Review this product on BioCompare and get a $20 Amazon gift card

Related Products

Description

The progression of cells through the cell cycle is regulated by a family of proteins designated cyclin-dependent kinases (Cdks). Sequential activation of individual members of this family and their consequent phosphorylation of critical substrates promotes orderly progression through the cell cycle. Multiple proteins are encoded by the tumor suppressor gene CDKN2A (MTS1/ p16INK4a) via translation of alternate reading frames, resulting in the production of the p19ARF protein in mice and the p14ARF protein in humans. p14ARF induces an increase in MDM2 and p21 levels and leads to cell cycle arrest in both G1 and G2/M. p14ARF is negatively regulated by p53 and is known to bind directly to MDM2. CDKN2A also encodes the mitotic protein p16, which binds to and inhibits the Cdk4/cyclin D complex.

Application Notes

Optimal dilution of the p14ARF antibody should be determined by the researcher.

Immunogen

Full-length recombinant human protein used as the immunogen for the p14ARF antibody.

Storage

Store the p14ARF antibody at 2-8oC (with azide) or aliquot and store at -20oC or colder (without azide).

Cross
Bulk Quote Request Form
Name*:
Organization*:
Email*:
Phone Number*:
Catalog No.*:
Comments and Specifics(amount, formulation, etc.)*:
Validation code: Captchapackage Image


Can't read the image? click here to refresh.
    *required field

Your bulk quote request has been submitted successfully!

Please contact us if you have any questions.