• Tel: 858.663.9055
  • SeparatorEmail: info@nsjbio.com
  • Tel: 858.663.9055
  • Email: info@nsjbio.com
Home >> Antibodies >> P130Cas Antibody

P130Cas Antibody (R34605)

  Catalog No Formulation Size Price (USD)  
Image R34605-100UG 0.5 mg/ml in 1X TBS, pH7.3, with 0.5% BSA (US sourced) and 0.02% sodium azide 100 ug 475
Bulk quote request
Western blot testing of MCF7 [A] and human breast cancer [B] lysates with P130Cas antibody at 1ug/ml. Predicted molecular weight: ~98kDa.
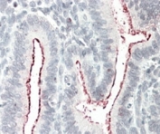
IHC staining of FFPE human uterus with P130Cas antibody at 5ug/ml. HIER: steamed with pH6 citrate buffer, AP-staining.
Availability 1-3 business days
Species Reactivity Human
Predicted Reactivity Dog, Mouse, Rat
Format Antigen affinity purified
Host Goat
Clonality Polyclonal (goat origin)
Isotype Goat Ig
Purity Antigen affinity
Gene ID 9564
Applications Western Blot : 1-3ug/ml
Immunohistochemistry (FFPE) : 5-10ug/ml
ELISA (peptide) LOD : 1:128000
Limitations This P130Cas antibody is available for research use only.
Review this product on BioCompare and get a $20 Amazon gift card

Description

Additional name(s) for this target protein: Breast cancer estrogen resistance 1; BCAR1

Application Notes

Optimal dilution of the P130Cas antibody should be determined by the researcher.

1. This P130Cas antibody will detect isoforms 1/2/3/5/6/7.

Immunogen

Amino acids KQTSTFSKQTPHH were used as the immunogen for this P130Cas antibody.

Storage

Aliquot and store the P130Cas antibody at -20oC.

Cross
Bulk Quote Request Form
Name*:
Organization*:
Email*:
Phone Number*:
Catalog No.*:
Comments and Specifics(amount, formulation, etc.)*:
Validation code: Captchapackage Image


Can't read the image? click here to refresh.
    *required field

Your bulk quote request has been submitted successfully!

Please contact us if you have any questions.