• Tel: 858.663.9055
  • SeparatorEmail: info@nsjbio.com
  • Tel: 858.663.9055
  • Email: info@nsjbio.com
Home >> Antibodies >> p107 Antibody

p107 Antibody (R30994)

  Catalog No Formulation Size Price (USD)  
Image R30994 0.5mg/ml if reconstituted with 0.2ml sterile DI water 100 ug 439
Bulk quote request
Western blot testing of p107 antibody and Lane 1: 239T; 2: Jurkat cell lysate
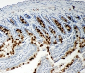
IHC-P: p107 antibody testing of human intestinal cancer tissue
IHC-P: p107 antibody testing of rat intestine tissue
Availability 1-3 business days
Species Reactivity Human, Mouse, Rat
Format Antigen affinity purified
Clonality Polyclonal (rabbit origin)
Isotype Rabbit IgG
Purity Antigen affinity
Buffer Lyophilized from 1X PBS with 2.5% BSA and 0.025% sodium azide/thimerosal
UniProt P28749
Applications Western Blot : 0.5-1ug/ml
IHC (FFPE) : 0.5-1ug/ml
Limitations This p107 antibody is available for research use only.
Review this product on BioCompare and get a $20 Amazon gift card

Related Products

  • Applications : WB, ELISA (peptide)
    Reactivity : Human, Mouse
    Pred. Reactivity : Cow, Dog, Rat
  • Applications : WB, IF, FACS, IP, Direct ELISA
    Reactivity : Human, Mouse, Rat

Description

RBL1 (Retinoblastoma-like 1), also known as Cullular Proteins p107, and CP107, is a protein that in humans is encoded by the RBL1 gene. Ewen et al.(1991) used a partial cDNA for human p107 to map the gene to 20q11. by fluorescence in situ hybridization. Huppi et al.(1996)found that the mouse Rbl1 gene maps to the distal end of chromosome 2, as does also the E2f1 gene. The protein encoded by this gene is similar in sequence and possibly function to the product of the retinoblastoma 1 (RB1) gene. The RB1 gene product is a tumor suppressor protein that appears to be involved in cell cycle regulation, as it is phosphorylated in the S to M phase transition and is dephosphorylated in the G1 phase of the cell cycle. Both the RB1 protein and the product of this gene can form a complex with adenovirus E1A protein and SV40 Large T-antigen, with the SV40 large T-antigen binding only to the unphosphorylated form of each protein. In addition, both proteins can inhibit the transcription of cell cycle genes containing E2F binding sites in their promoters. Due to the sequence and biochemical similarities with the RB1 protein, it is though that the protein encoded by this gene may also be a tumor suppressor. Two transcript variants encoding different isoforms have been found for this gene.

Application Notes

The stated application concentrations are suggested starting amounts. Titration of the p107 antibody may be required due to differences in protocols and secondary/substrate sensitivity.

Immunogen

An amino acid sequence from the C-terminus of human p107 (QENDDVLLKRLQDVVSERANH) was used as the immunogen for this p107 antibody (100% homologous in human, mouse and rat).

Storage

After reconstitution, the p107 antibody can be stored for up to one month at 4oC. For long-term, aliquot and store at -20oC. Avoid repeated freezing and thawing.

Cross
Bulk Quote Request Form
Name*:
Organization*:
Email*:
Phone Number*:
Catalog No.*:
Comments and Specifics(amount, formulation, etc.)*:
Validation code: Captchapackage Image


Can't read the image? click here to refresh.
    *required field

Your bulk quote request has been submitted successfully!

Please contact us if you have any questions.