• Tel: 858.663.9055
  • SeparatorEmail: info@nsjbio.com
  • Tel: 858.663.9055
  • Email: info@nsjbio.com
Home >> Antibodies >> P-Selectin Antibody / CD62P

P-Selectin Antibody / CD62P (R31776)

  Catalog No Formulation Size Price (USD)  
Image R31776 0.5mg/ml if reconstituted with 0.2ml sterile DI water 100 ug 449
Bulk quote request
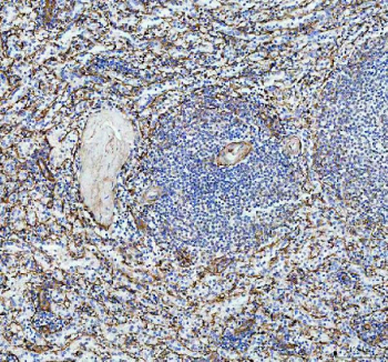
IHC staining of FFPE human spleen tissue with P-Selectin antibody, HRP-labeled secondary and DAB substrate. HIER: boil tissue sections in pH8 EDTA for 20 min and allow to cool before testing.
IHC staining of FFPE human tonsil tissue with P-Selectin antibody, HRP-labeled secondary and DAB substrate. HIER: boil tissue sections in pH8 EDTA for 20 min and allow to cool before testing.
IHC staining of FFPE human tonsil tissue with P-Selectin antibody, HRP-labeled secondary and DAB substrate. HIER: boil tissue sections in pH8 EDTA for 20 min and allow to cool before testing.
Western blot testing of human HEL cell lysate with P-Selectin antibody. Predicted molecular weight ~91 kDa but may be observed at higher molecular weights due to glycosylation.
Availability 1-3 business days
Species Reactivity Human
Format Antigen affinity purified
Host Rabbit
Clonality Polyclonal (rabbit origin)
Isotype Rabbit IgG
Purity Antigen affinity
Buffer Lyophilized from 1X PBS with 2% Trehalose
UniProt P16109
Localization Cell membrane
Applications Immunohistochemistry (FFPE) : 2-5ug/ml
Western Blot : 0.5-1ug/ml
ELISA : 0.1-0.5ug/ml (human protein tested); request BSA free format for coating
Limitations This P-Selectin antibody is available for research use only.
Review this product on BioCompare and get a $20 Amazon gift card

Related Products

Description

P-Selectin is a cell adhesion molecule primarily expressed on the surface of activated endothelial cells and platelets. It plays a key role in the early stages of inflammation by mediating the interaction between leukocytes and the vascular endothelium. P-Selectin facilitates leukocyte rolling on the endothelial surface, an essential step before firm adhesion and transmigration into inflamed tissues.

The human P-Selectin protein is encoded by the SELP gene and belongs to the selectin family of adhesion molecules. It contains multiple structural domains including a lectin domain, an epidermal growth factor-like domain, and several consensus repeat units. Alternative splicing of the SELP gene results in at least 2 known isoforms of the P-Selectin protein, which may vary in cellular localization or function. These isoforms are of particular interest in studies focused on differential expression in various pathological conditions, including thrombosis, atherosclerosis, and cancer metastasis.

A high-quality P-Selectin antibody is critical for researchers investigating vascular biology, immune cell trafficking, and inflammatory responses. The P-Selectin antibody is commonly used in applications such as western blotting, immunohistochemistry, and flow cytometry to detect the presence and distribution of P-Selectin in tissue or cell samples. NSJ Bioreagents offers a validated P-Selectin antibody that provides reliable and specific results, making it a valuable tool for both basic research and translational studies.

Application Notes

The stated application concentrations are suggested starting amounts. Titration of the P-Selectin antibody may be required due to differences in protocols and secondary/substrate sensitivity.

Immunogen

Human partial recombinant protein (AA 42-271) was used as the immunogen for this P-Selectin antibody.

Storage

After reconstitution, the P-Selectin antibody can be stored for up to one month at 4oC. For long-term, aliquot and store at -20oC. Avoid repeated freezing and thawing.

Cross
Bulk Quote Request Form
Name*:
Organization*:
Email*:
Phone Number*:
Catalog No.*:
Comments and Specifics(amount, formulation, etc.)*:
Validation code: Captchapackage Image


Can't read the image? click here to refresh.
    *required field

Your bulk quote request has been submitted successfully!

Please contact us if you have any questions.