• Tel: 858.663.9055
  • SeparatorEmail: info@nsjbio.com
  • Tel: 858.663.9055
  • Email: info@nsjbio.com
Home >> Antibodies >> OXSR1 Antibody / Oxidative stress-responsive kinase 1

OXSR1 Antibody / Oxidative stress-responsive kinase 1 (FY13321)

  Catalog No Formulation Size Price (USD)  
Image FY13321 Adding 0.2 ml of distilled water will yield a concentration of 500 ug/ml 100 ug 449
Bulk quote request
Immunoprecipitating OXSR1 in human U251 whole cell lysate. Western blot analysis of OXSR1 using anti-OXSR1 antibody. Lane 1: U251 whole cell lysates (30ug) Lane 2: Rabbit control IgG instead of anti-OXSR1 antibody in U251 whole cell lysate. Lane 3: anti-OXSR1 antibody (2ug) + U251 whole cell lysate (500ug) After electrophoresis, proteins were transferred to a membrane. Then the membrane was incubated with rabbit anti-OXSR1 antibody at a dilution of 0.5 ug/ml and probed with a goat anti-rabbit IgG-HRP secondary antibody. The signal is developed using ECL Plus Western Blotting Substrate. The expected molecular weight of OXSR1 is at 58 kDa.
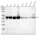
Western blot analysis of OXSR1 using anti-OXSR1 antibody. Lane 1: human 293T whole cell lysates, Lane 2: human Hela whole cell lysates, Lane 3: human Jurkat whole cell lysates, Lane 4: human U251 whole cell lysates, Lane 5: rat liver tissue lysates, Lane 6: rat testis tissue lysates, Lane 7: mouse liver tissue lysates, Lane 8: mouse testis tissue lysates. After electrophoresis, proteins were transferred to a nitrocellulose membrane at 150 mA for 50-90 minutes. Blocked the membrane with 5% non-fat milk/TBS for 1.5 hour at RT. The membrane was incubated with rabbit anti-OXSR1 antibody at 0.25 ug/ml overnight at 4oC, then washed with TBS-0.1%Tween 3 times with 5 minutes each and probed with a goat anti-rabbit IgG-HRP secondary antibody at a dilution of 1:5000 for 1.5 hour at RT. The signal was developed using enhanced chemiluminescent. The expected molecular weight of OXSR1 is ~58 kDa.
Flow Cytometry analysis of human MCF-7 cells using anti-OXSR1 antibody. Overlay histogram showing MCF-7 cells stained with (Blue line). To facilitate intracellular staining, cells were fixed with 4% paraformaldehyde and permeabilized with permeabilization buffer. The cells were blocked with 10% normal goat serum. And then incubated with rabbit anti-OXSR1 antibody (1 ug/million cells) for 30 min at 20oC. DyLight 488 conjugated goat anti-rabbit IgG (5-10 ug/million cells) was used as secondary antibody for 30 minutes at 20oC. Isotype control antibody (Green line) was rabbit IgG (1 ug/million cells) used under the same conditions. Unlabelled sample (Red line) was also used as a control.
Availability 1-2 days
Species Reactivity Human, Mouse, Rat
Format Lyophilized
Host Rabbit
Clonality Polyclonal (rabbit origin)
Isotype Rabbit IgG
Purity Immunogen affinity purified
Buffer Each vial contains 4 mg Trehalose, 0.9 mg NaCl, 0.2 mg Na2HPO4.
UniProt O95747
Applications ELISA : 0.1-0.5ug/ml
Flow Cytometry : 1-3ug/million cells
Immunoprecipitation : 2-4ug/500ug of lysate
Western Blot : 0.25-0.5ug/ml
Limitations This OXSR1 antibody is available for research use only.
Review this product on BioCompare and get a $20 Amazon gift card

Related Products

  • Applications : WB, IHC-P
    Reactivity : Human, Mouse

Description

OXSR1 antibody detects Oxidative stress-responsive kinase 1, a cytoplasmic and membrane-associated serine/threonine kinase encoded by the OXSR1 gene on chromosome 3p22.2. OXSR1 is a member of the STE20/GC kinase family and regulates ion transport, cytoskeletal organization, and osmotic stress responses. Acting as a stress-activated kinase, OXSR1 phosphorylates cation-chloride cotransporters and cytoskeletal proteins to maintain cell volume and ionic balance during oxidative stress and osmotic challenges.

Activation of OXSR1 occurs via upstream WNK1 and WNK4 kinases, which phosphorylate conserved threonine residues in its activation loop. Once active, OXSR1 phosphorylates ion transporters such as NKCC1, NKCC2, and KCC isoforms, adjusting intracellular chloride and potassium levels to sustain homeostasis. This function is vital for epithelial transport, neuronal excitability, and vascular smooth muscle contraction. OXSR1 also interacts with Rho GTPases and actin-regulating proteins to influence cytoskeletal remodeling and cell migration.

In addition to regulating ion gradients, OXSR1 participates in oxidative stress signaling, where it responds to reactive oxygen species by activating protective phosphorylation cascades. It has been shown to influence MAPK and NF-kappaB signaling pathways that mediate inflammatory responses. Through these mechanisms, OXSR1 coordinates cellular adaptation to stress conditions and maintains barrier function in epithelial and endothelial tissues. Its dual localization in the cytoplasm and at the cell membrane enables cross-talk between ion transport and signal transduction networks.

Dysregulation of OXSR1 contributes to disorders involving electrolyte imbalance, such as hypertension, epilepsy, and kidney disease. Mutations or abnormal activity within the WNK-OSR1-SPAK pathway can lead to altered sodium and chloride transport, impacting blood pressure regulation and renal function. Elevated OXSR1 signaling has also been linked to tumor progression and metastasis, where it promotes cell motility and invasion.

Structurally, OXSR1 comprises an N-terminal kinase domain, an autoinhibitory C-terminal region, and several docking motifs that enable interactions with transporters and adaptor proteins. It shares significant homology with SPAK (STK39), its paralog in the same kinase family, and together they form a key branch of the WNK signaling pathway. OXSR1's activity integrates into the MAPK and ion transport pathways, bridging metabolic and environmental stress responses.

Immunohistochemical staining using OXSR1 antibody reveals cytoplasmic and plasma membrane localization in kidney, brain, and vascular smooth muscle tissues. OXSR1 antibody from NSJ Bioreagents is a reliable tool for investigating WNK-SPAK-OSR1 pathway regulation, oxidative stress adaptation, and epithelial transport mechanisms.

Application Notes

Optimal dilution of the OXSR1 antibody should be determined by the researcher.

Immunogen

E.coli-derived human OXSR1 recombinant protein (Position: K351-S527) was used as the immunogen for the OXSR1 antibody.

Storage

After reconstitution, the OXSR1 antibody can be stored for up to one month at 4oC. For long-term, aliquot and store at -20oC. Avoid repeated freezing and thawing.

Cross
Bulk Quote Request Form
Name*:
Organization*:
Email*:
Phone Number*:
Catalog No.*:
Comments and Specifics(amount, formulation, etc.)*:
Validation code: Captchapackage Image


Can't read the image? click here to refresh.
    *required field

Your bulk quote request has been submitted successfully!

Please contact us if you have any questions.