• Tel: 858.663.9055
  • SeparatorEmail: info@nsjbio.com
  • Tel: 858.663.9055
  • Email: info@nsjbio.com
Home >> Antibodies >> Ovo-like 2 Antibody / OVOL2

Ovo-like 2 Antibody / OVOL2 [clone OVOL2/6776] (V4816)

  Catalog No Formulation Size Price (USD)  
Image V4816-100UG 0.2 mg/ml in 1X PBS with 0.1 mg/ml BSA (US sourced), 0.05% sodium azide 100 ug 559
Image
V4816-20UG 0.2 mg/ml in 1X PBS with 0.1 mg/ml BSA (US sourced), 0.05% sodium azide 20 ug 259
Image
V4816SAF-100UG 1 mg/ml in 1X PBS; BSA free, sodium azide free 100 ug 559
Bulk quote request
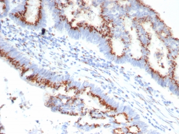
IHC staining of FFPE human colon carcinoma tissue with OVOL2 antibody (clone OVOL2/6776). HIER: boil tissue sections in pH 9 10mM Tris with 1mM EDTA for 20 min and allow to cool before testing.
Availability 1-3 business days
Species Reactivity Human
Format Purified
Clonality Monoclonal (mouse origin)
Isotype Mouse IgG2, kappa
Clone Name OVOL2/6776
Purity Protein A/G affinity
UniProt Q9BRP0
Localization Nucleus
Applications Immunohistochemistry (FFPE) : 1-2ug/ml for 30 min at RT
Limitations This Ovo-like 2 antibody is available for research use only.
Review this product on BioCompare and get a $20 Amazon gift card

Related Products

Description

Ovo-like 2 is a zinc-finger transcription repressor factor.

Application Notes

Optimal dilution of the Ovo-like 2 antibody should be determined by the researcher.

Immunogen

A recombinant partial protein sequence (within amino acids 175-275) from the human protein was used as the immunogen for the Ovo-like 2 antibody.

Storage

Aliquot the Ovo-like 2 antibody and store frozen at -20oC or colder. Avoid repeated freeze-thaw cycles.

Cross
Bulk Quote Request Form
Name*:
Organization*:
Email*:
Phone Number*:
Catalog No.*:
Comments and Specifics(amount, formulation, etc.)*:
Validation code: Captchapackage Image


Can't read the image? click here to refresh.
    *required field

Your bulk quote request has been submitted successfully!

Please contact us if you have any questions.