• Tel: 858.663.9055
  • SeparatorEmail: info@nsjbio.com
  • Tel: 858.663.9055
  • Email: info@nsjbio.com
Home >> Antibodies >> OTULIN Antibody

OTULIN Antibody (RQ6146)

  Catalog No Formulation Size Price (USD)  
Image RQ6146 0.5mg/ml if reconstituted with 0.2ml sterile DI water 100 ug 449
Bulk quote request
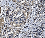
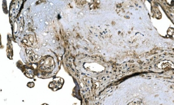
IHC staining of FFPE human placenta with OTULIN antibody. HIER: boil tissue sections in pH8 EDTA for 20 min and allow to cool before testing.
IHC staining of FFPE human bladder cancer with OTULIN antibody. HIER: boil tissue sections in pH8 EDTA for 20 min and allow to cool before testing.
IHC staining of FFPE human appendicitis tissue with OTULIN antibody. HIER: boil tissue sections in pH8 EDTA for 20 min and allow to cool before testing.
IHC staining of FFPE human tonsil tissue with OTULIN antibody. HIER: boil tissue sections in pH8 EDTA for 20 min and allow to cool before testing.
Immunofluorescent staining of FFPE human SiHa cells with OTULIN antibody (green) and DAPI nuclear stain (blue). HIER: steam section in pH6 citrate buffer for 20 min.
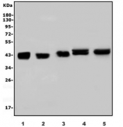
Western blot testing of 1) human HeLa, 2) human ThP-1, 3) human K562, 4) rat liver and 5) mouse liver lysate with OTULIN antibody. Predicted molecular weight ~43 kDa.
Flow cytometry testing of human 293T cells with OTULIN antibody at 1ug/million cells (blocked with goat sera); Red=cells alone, Green=isotype control, Blue= OTULIN antibody.
Availability 1-3 business days
Species Reactivity Human, Mouse, Rat
Format Antigen affinity purified
Host Rabbit
Clonality Polyclonal (rabbit origin)
Isotype Rabbit IgG
Purity Affinity purified
Buffer Lyophilized from 1X PBS with 2% Trehalose and 0.025% sodium azide
UniProt Q96BN8
Localization Cytoplasmic
Applications Western Blot : 1-2ug/ml
Immunohistochemistry (FFPE) : 2-5ug/ml
Flow Cytometry : 1-3ug/million cells
Immunofluorescence : 5ug/ml
Direct ELISA : 0.1-0.5ug/ml
Limitations This OTULIN antibody is available for research use only.
Review this product on BioCompare and get a $20 Amazon gift card

Description

This gene encodes a member of the peptidase C65 family of ubiquitin isopeptidases. Members of this family remove ubiquitin from proteins. The encoded enzyme specifically recognizes and removes M1 (Met1)-linked, or linear, ubiquitin chains from protein substrates. Linear ubiquitin chains are known to regulate the NF-kappa B signaling pathway in the context of immunity and inflammation. Mutations in this gene cause a potentially fatal autoinflammatory syndrome in human patients.

Application Notes

Optimal dilution of the OTULIN antibody should be determined by the researcher.

Immunogen

A human recombinant partial protein (amino acids A49-L352) was used as the immunogen for the OTULIN antibody.

Storage

After reconstitution, the OTULIN antibody can be stored for up to one month at 4oC. For long-term, aliquot and store at -20oC. Avoid repeated freezing and thawing.

Cross
Bulk Quote Request Form
Name*:
Organization*:
Email*:
Phone Number*:
Catalog No.*:
Comments and Specifics(amount, formulation, etc.)*:
Validation code: Captchapackage Image


Can't read the image? click here to refresh.
    *required field

Your bulk quote request has been submitted successfully!

Please contact us if you have any questions.