- Tel: 858.663.9055
- 
									 Email: info@nsjbio.com Email: info@nsjbio.com
- Tel: 858.663.9055
- Email: info@nsjbio.com
Related Products
| 
 | 
OTUD5 antibody detects OTU deubiquitinase 5, encoded by the OTUD5 gene on chromosome Xp11.23. OTUD5 antibody is widely used to study this deubiquitinating enzyme of the ovarian tumor (OTU) domain-containing protease family. OTUD5 removes ubiquitin moieties from substrate proteins, regulating protein turnover, DNA damage response, and immune signaling. It is expressed broadly, with high levels in immune cells, reproductive tissues, and neuronal tissues. OTUD5's ability to cleave specific ubiquitin linkages, particularly K63- and K48-linked chains, allows it to regulate protein stability and signaling cascades.
Structurally, OTUD5 contains a conserved OTU catalytic domain with cysteine protease activity. Additional N-terminal and C-terminal regions mediate substrate recognition and interactions with cofactors. OTUD5 associates with chromatin and DNA repair proteins, linking its enzymatic activity to genome stability. It also interacts with immune signaling molecules, where it modulates receptor-mediated pathways by editing ubiquitin chains on adaptors and kinases. These modular features allow OTUD5 to function in diverse signaling contexts.
Functionally, OTUD5 regulates DNA damage repair by deubiquitinating proteins at double-strand breaks, facilitating recruitment of repair factors. It also influences transcription by modifying ubiquitin marks on chromatin-associated proteins. In the immune system, OTUD5 shapes responses by removing activating ubiquitin chains from molecules such as TRAF proteins and STING, modulating interferon production and antiviral responses. Knockdown studies show that OTUD5 deficiency impairs DNA repair and increases susceptibility to immune dysregulation. Researchers use OTUD5 antibody to probe these critical regulatory pathways.
Clinically, mutations in OTUD5 are associated with a developmental disorder known as LINKED syndrome (linkage-specific deubiquitinase deficiency-induced embryonic defects). This X-linked condition is characterized by intellectual disability, craniofacial anomalies, and heart defects, highlighting the essential developmental roles of OTUD5. In cancer, altered OTUD5 expression influences tumor progression and response to DNA damage-targeted therapies. Its roles in immunity also make it relevant in autoimmunity and infectious diseases. NSJ Bioreagents provides OTUD5 antibody to support research into genome stability, immune regulation, and developmental disorders.
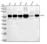
Experimentally, OTUD5 antibody is used in western blotting to detect the ~60-75 kDa protein, in immunohistochemistry to study tissue expression, and in immunofluorescence microscopy to visualize nuclear and cytoplasmic pools. Immunoprecipitation with OTUD5 antibody identifies binding partners and ubiquitinated substrates. These experimental approaches highlight its utility in studying ubiquitin biology and cellular stress responses.
Optimal dilution of the OTUD5 antibody should be determined by the researcher.
E.coli-derived human OTUD5 recombinant protein (Position: R168-D555) was used as the immunogen for the OTUD5 antibody.
After reconstitution, the OTUD5 antibody can be stored for up to one month at 4oC. For long-term, aliquot and store at -20oC. Avoid repeated freezing and thawing.
 
Your bulk quote request has been submitted successfully!
Please contact us if you have any questions.