• Tel: 858.663.9055
  • SeparatorEmail: info@nsjbio.com
  • Tel: 858.663.9055
  • Email: info@nsjbio.com
Home >> Antibodies >> Osteopontin Antibody / OPN / SPP1

Osteopontin Antibody / OPN / SPP1 [clone OSP/4589] (V9592)

  Catalog No Formulation Size Price (USD)  
Image V9592-100UG 0.2 mg/ml in 1X PBS with 0.1 mg/ml BSA (US sourced), 0.05% sodium azide 100 ug 559
Image
V9592-20UG 0.2 mg/ml in 1X PBS with 0.1 mg/ml BSA (US sourced), 0.05% sodium azide 20 ug 259
Image
V9592SAF-100UG 1 mg/ml in 1X PBS; BSA free, sodium azide free 100 ug 559
Bulk quote request
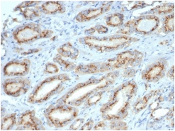
IHC staining of FFPE human prostate with Osteopontin antibody (clone OSP/4589) at 2ug/ml in PBS. HIER: boil tissue sections in pH 9 10mM Tris with 1mM EDTA for 20 min and allow to cool before testing.
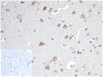
IHC staining of FFPE human brain tissue with Osteopontin antibody (clone OSP/4589). Negative control inset: PBS instead of primary antibody to control for secondary binding.
Availability 1-3 business days
Species Reactivity Human
Format Purified
Host Rat
Clonality Monoclonal (rat origin)
Isotype Rat IgG1
Clone Name OSP/4589
Purity Protein A/G affinity
UniProt P10451
Localization Secreted
Applications Immunohistochemistry (FFPE) : 1-2ug/ml
Limitations This Osteopontin antibody is available for research use only.
Review this product on BioCompare and get a $20 Amazon gift card

Related Products

Description

Osteopontin is a bone matrix protein and a cytokine secreted by activated T cells. Osteopontin (OPN, also designated bone sialoprotein 1, urinary stone protein, spp-1, -1, nephropontin, uropontin) is an extracellular matrix cell adhesion phosphoglycoprotein. OPN is deposited into unmineralized matrix prior to calcification leading to localization at various tissue interfaces including cement lines, lamina limitans, and between collagen fibrils of fully matured hard tissues. While OPN is a major product of osteoblasts, it is also synthesized by brain and kidney cells. OPNs isolated from or secreted by various tissues have molecular weights due to post-translational modifications. OPN functions as a substrate for transglutaminase and is involved in cell adhesion, chemoattraction and immunomodulation.

Application Notes

Optimal dilution of the Osteopontin antibody should be determined by the researcher.

Immunogen

Recombinant full-length rat Spp1/Osteopontin protein was used as the immunogen for the Osteopontin antibody.

Storage

Aliquot the Osteopontin antibody and store frozen at -20oC or colder. Avoid repeated freeze-thaw cycles.

Cross
Bulk Quote Request Form
Name*:
Organization*:
Email*:
Phone Number*:
Catalog No.*:
Comments and Specifics(amount, formulation, etc.)*:
Validation code: Captchapackage Image


Can't read the image? click here to refresh.
    *required field

Your bulk quote request has been submitted successfully!

Please contact us if you have any questions.