• Tel: 858.663.9055
  • SeparatorEmail: info@nsjbio.com
  • Tel: 858.663.9055
  • Email: info@nsjbio.com
Home >> Antibodies >> Osteonectin Antibody / SPARC

Osteonectin Antibody / SPARC [clone rOSTN/8527] (V5107)

  Catalog No Formulation Size Price (USD)  
Image V5107-100UG 0.2 mg/ml in 1X PBS with 0.1 mg/ml BSA (US sourced), 0.05% sodium azide 100 ug 559
Image
V5107-20UG 0.2 mg/ml in 1X PBS with 0.1 mg/ml BSA (US sourced), 0.05% sodium azide 20 ug 259
Image
V5107SAF-100UG 1 mg/ml in 1X PBS; BSA free, sodium azide free 100 ug 559
Microvalidated Recmousemono
Bulk quote request
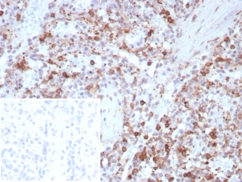
Immunohistochemistry analysis of Osteonectin antibody in human spleen tissue (clone rOSTN/8527). FFPE human spleen sections demonstrate HRP-DAB brown cytoplasmic and extracellular staining in stromal cells and matrix-rich areas within the splenic parenchyma. Numerous scattered positive cells are observed, consistent with Secreted protein acidic and rich in cysteine expression in the extracellular matrix and supporting stromal compartment. The inset shows PBS used in place of primary antibody, serving as a secondary antibody negative control with absence of specific brown staining. Heat induced epitope retrieval was performed by boiling tissue sections in pH 9 10 mM Tris with 1 mM EDTA for 20 minutes followed by cooling prior to antibody incubation.
SDS-PAGE analysis of purified, BSA-free Osteonectin antibody (clone rOSTN/8527) as confirmation of integrity and purity.
Availability 1-3 business days
Species Reactivity Human
Format Purified
Host Mouse
Clonality Recombinant Mouse Monoclonal
Isotype Mouse IgG1, kappa
Clone Name rOSTN/8527
Purity Protein A/G affinity
UniProt P09486
Localization Secreted
Applications Immunohistochemistry (FFPE) : 1-2ug/ml for 30 min at RT
Limitations This Osteonectin antibody is available for research use only.
Review this product on BioCompare and get a $20 Amazon gift card

Related Products

Description

Osteonectin antibody, also known as SPARC antibody, recognizes Secreted protein acidic and rich in cysteine, a matricellular glycoprotein that regulates extracellular matrix organization and cell-matrix interactions. The human SPARC gene is located on chromosome 5q33.1 and encodes a secreted protein that localizes to the extracellular space and basement membranes. Secreted protein acidic and rich in cysteine is a member of the SPARC family of matricellular proteins and is widely referred to in the literature as Osteonectin and BM-40.

Secreted protein acidic and rich in cysteine plays a central role in modulating cell adhesion, migration, and proliferation through its effects on the extracellular matrix. It is highly expressed in bone, connective tissue, endothelial cells, and remodeling stroma. In skeletal biology, Osteonectin is abundant in osteoblasts and bone matrix, where it contributes to collagen organization and mineralization. An Osteonectin antibody is frequently used in studies focused on tumor stroma, fibrosis, angiogenesis, and tissue repair because SPARC influences matrix composition and growth factor signaling.

The SPARC protein contains an acidic N-terminal region, a follistatin-like domain, and a C-terminal extracellular calcium-binding domain with EF-hand motifs. These structural features enable calcium binding and facilitate interactions with collagens, albumin, and other matrix-associated proteins. Through these interactions, Secreted protein acidic and rich in cysteine participates in pathways such as TGF-beta signaling and integrin-mediated adhesion cascades, contributing to extracellular matrix remodeling and vascular responses.

In oncology research, SPARC expression is commonly associated with activated fibroblasts and desmoplastic stroma in tumors including breast, pancreatic, colorectal, and ovarian carcinomas. Depending on tumor type and microenvironment, SPARC may influence tumor progression, invasion, or stromal remodeling. Outside of cancer, SPARC is upregulated during wound healing and in fibrotic diseases affecting liver, lung, and kidney, where it supports collagen deposition and matrix reorganization. Developmentally, expression is observed during embryogenesis in tissues undergoing active morphogenesis and vascular development.

Clone rOSTN/8527 is a recombinant monoclonal antibody developed to recognize SPARC in research applications. An Osteonectin antibody supports investigation of extracellular matrix biology, stromal activation, and connective tissue remodeling. This antibody targets SPARC in research settings and is suitable for studies of fibrosis, angiogenesis, skeletal biology, and tumor-associated stromal dynamics.

Application Notes

Optimal dilution of the Osteonectin antibody should be determined by the researcher.

Immunogen

A recombinant partial protein sequence (within amino acids 1-200) from the human protein was used as the immunogen for the Osteonectin antibody.

Storage

Aliquot the Osteonectin antibody and store frozen at -20oC or colder. Avoid repeated freeze-thaw cycles.

Cross
Bulk Quote Request Form
Name*:
Organization*:
Email*:
Phone Number*:
Catalog No.*:
Comments and Specifics(amount, formulation, etc.)*:
Validation code: Captchapackage Image


Can't read the image? click here to refresh.
    *required field

Your bulk quote request has been submitted successfully!

Please contact us if you have any questions.