• Tel: 858.663.9055
  • SeparatorEmail: info@nsjbio.com
  • Tel: 858.663.9055
  • Email: info@nsjbio.com
Home >> Antibodies >> OSM Antibody / Oncostatin M

OSM Antibody / Oncostatin M (R31961)

  Catalog No Formulation Size Price (USD)  
Image R31961 0.5mg/ml if reconstituted with 0.2ml sterile DI water 100 ug 449
Bulk quote request
Western blot testing of human 1) A549, 2) HUT, 3) Jurkat, 4) SW620 and 5) MCF7 cell lysate with OSM antibody. Expected molecular weight ~28 kDa (precursor), ~24 kDa (pro form), ~28 kDa (glycosylated pro form); observed here at ~40 kDa.
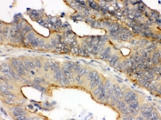
IHC testing of FFPE human intestinal cancer tissue with OSM antibody. HIER: Boil the paraffin sections in pH 6, 10mM citrate buffer for 20 minutes and allow to cool prior to staining.
Availability 1-3 business days
Species Reactivity Human
Format Antigen affinity purified
Host Rabbit
Clonality Polyclonal (rabbit origin)
Isotype Rabbit IgG
Purity Antigen affinity
Buffer Lyophilized from 1X PBS with 2% Trehalose and 0.025% sodium azide
UniProt P13725
Localization Nuclear, cytoplasmic
Applications Western Blot : 0.1-0.5ug/ml
Immunohistochemistry (FFPE) : 0.5-1ug/ml
ELISA : 0.1-0.5ug/ml (human protein tested)
Limitations This OSM antibody is available for research use only.
Review this product on BioCompare and get a $20 Amazon gift card

Related Products

Description

Oncostatin M is a member of a cytokine family that includes leukemia-inhibitory factor, granulocyte colony-stimulating factor, and interleukin 6. The OSM gene encodes a growth regulator which inhibits the proliferation of a number of tumor cell lines. It regulates cytokine production, including IL-6, G-CSF and GM-CSF from endothelial cells. It has the ability to inhibit the growth of human A375 melanoma cells but not normal human fibroblasts. Treatment with recombinant Oncostatin M leads to the inhibition of proliferation and changes in cellular morphology of a number of tumor cell lines derived from a wide variety of tissue types. Oncostatin M also has the ability to inhibit the proliferation of murine M1 myeloid leukemic cells and can induce their differentiation into macrophage-like cells, a function shared by LIF, CSF3, and IL6. The direction of gene transcription was telomeric to centromeric, with the OSM gene located upstream of the LIF gene.

Application Notes

Optimal dilution of the OSM antibody should be determined by the researcher.

Immunogen

Amino acids 26-220 of human Oncostatin M were used as the immunogen for the OSM antibody.

Storage

After reconstitution, the OSM antibody can be stored for up to one month at 4oC. For long-term, aliquot and store at -20oC. Avoid repeated freezing and thawing.

Cross
Bulk Quote Request Form
Name*:
Organization*:
Email*:
Phone Number*:
Catalog No.*:
Comments and Specifics(amount, formulation, etc.)*:
Validation code: Captchapackage Image


Can't read the image? click here to refresh.
    *required field

Your bulk quote request has been submitted successfully!

Please contact us if you have any questions.